在前两篇文章中介绍了脊柱及腰椎的解剖及正常的影像学表现。现为大家介绍腰椎间盘突出的影像学诊断以及腰椎间盘突出治疗方法。
(想了解脊柱、特别是腰椎的正常解剖的,可以参考我发过的文章)
椎间盘的解剖和生理
椎间盘主要由外部纤维环和中心髓核构成,髓核主要由胶质基质组成,纤维环主要由纤维软骨束构成内环部分,10岁以前含水量分别达到85%和75%,10岁以后髓核自其腹背侧缘开始纤维化并逐渐向中心发展,30岁以后含水量进一步下降。





椎间盘的营养
成人的椎间盘是人体最大的无血管组织,其本身的营养和代谢产物的处理是通过椎间盘以外的血管进行。纤维化中外层的营养供应依靠椎体周围起自脊椎动脉的小血管,软骨盘的营养供应依靠与椎体松质骨骨髓的直接接触而得到营养,髓核的营养供应通过软骨终板的渗透取得。
影响椎间盘营养的因素
任何对椎间盘周围毛细血管网产生的干扰都会对椎间盘营养供应的潜在危险因素:
(一)运动 运动可以改善椎间盘的营养,也可以损害椎间盘的营养,目前很难预言运动的影响效果,一般认为中等量的运动可能是有益的。
(二)椎间盘节段的融合 融合制动相邻的椎间盘后,椎间盘的代谢活性下降,可能有部分细胞的死亡。
(三)震动 对脊柱和椎间盘系统的过度承载和特殊运动,将对椎间盘的结构、细胞和大分子产生不利的影响,可以出现硫酸盐摄取下降、水含量下降,椎间盘高度降低。
(四)吸烟 吸烟使毛细血管收缩和血流量下降,从而影响椎间盘的营养。
椎间盘的主要功能
(1)保持脊柱的高度,维持身高,随椎体的发育,椎间盘增长,以此增加了脊柱的长度。
(2)联结椎间盘上下两椎体,并使椎体间有一定活动度。
(3)使椎体表面承受相同的力,即使椎体间仍然有一定的倾斜度,但通过髓核半液状的成分使整个椎间盘承受相同的应力。
(4)缓冲作用。
①由于弹性结构特别是髓核具有可塑性,在压力下可变扁平,使加于其上的力可以平均向纤维环及软骨板各方向传递;
②是脊柱吸收震荡的主要结构,起着弹性垫的作用,使由高处坠落或肩、背、腰部突然负荷时,起着力传导的缓冲作用,起到保护脊髓及脑部重要神经作用。
(5)维持侧方关节突一定的距离和高度。
(6)保持椎间孔的大小,正常情况下椎间孔的大小是神经根直径的3~10倍。
(7)维持脊柱的曲度,不同部位的椎间盘厚度不一,在同一腰椎间盘其前方厚,后方薄,使腰椎出现生理性前凸曲线。
腰椎间盘突出症的发病机制
椎间盘突出症,是椎间盘发生退行性变化之后,在外力的作用下,纤维环破裂髓核突出刺激或压迫临近的神经根、脊髓或血管等组织而出现的一系列腰痛并常伴有坐骨神经痛等临床症状的一种病变。
腰椎间盘退变是腰椎间盘突出的基本发病机制。腰椎间盘是人体中退变最早的器官之一,其退变大约开始于20岁,是随年龄增长而发生的不可逆的自然过程。退变的椎间盘由于髓核蛋白多糖降解,聚合水减少,其抵抗压力的能力降低;纤维环胶原成分改变使其抵抗张力的能力减弱。二者共同作用使椎间盘降低或丧失吸收负荷、分散应力的力学功能。在生化组成退变的基础上,生物力学功能降低或丧失导致纤维环发生诸如出现裂隙、断裂甚至破裂等一系列变化,最终导致髓核突出,压迫刺激脊髓、神经根,产生腰腿痛症状和体征。 由于这一病理变化导致椎间盘弹性和抗压力的能力下降。轻度、反复的挤压损伤使纤维环出现不同程度的撕裂,形成薄弱处,最终髓核从薄弱处突出。
男性较女性好发,发病年龄多为中老年人,可能与男性多从事体力劳动和椎间盘退行性变有关;好发于L 4/5 和L 5 /S 1 椎间盘,这可能与L 4/5 和L 5 /S 1 负重有关。
腰椎间盘突出症的病理类型
椎间盘突出分为退变型、膨出型、突出型(后纵韧带下)、脱出型(后纵韧带后)及游离型。
退变型(degeneration): 多无临床症状和体征。核磁扫描可见盘内含水量减少,CT可见变形或钙化。退变型是早期改变,一般不会与突出型相混。
膨出型(bulging): 膨出为生理退变,纤维环松弛但完整,髓核皱缩,表现为纤维环均匀超出椎体终板边缘。外周纤维环匀称超出椎体终板边缘的正常生理限度,在MRI矢状面上椎间盘向后膨隆高起。
突出型(protrusion): 髓核经纤维环裂隙向椎管内突出,后纵韧带未破裂,影像学表现为椎间盘局限性向椎管内突出,可无症状,部分患者出现典型神经根性症状、体征。此型通过牵引、卧床等保守方法可缓解,但由于纤维环裂隙愈合能力较差,复发率较高。必要时需微创介入治疗。
脱出型(extrusion): 纤维环、后纵韧带完全破裂,髓核突入椎管内,多有明显症状体征,脱出多难自愈,保守治疗效果相对较差,大多需要微创介入或手术治疗。
游离型(seqestration): 脱出髓核与相应椎间盘不连接,可游离到椎管内病变的上或下节段、椎间孔等,其临床表现为持续性神经根症状或椎管狭窄症状,少数可出现马尾神经综合征,此型常需手术治疗。







X 线 表 现
椎间隙均匀或不对称性狭窄(后宽前窄)
椎体边缘,尤其后缘出现骨赘
脊椎序列变直或侧弯
许莫氏结节:椎体上或下缘圆形或半圆形凹陷区,周围有硬化
间接征象:退行性变

CT及MRI表现:
①正常腰椎间盘后缘不超过椎体骨性终板的后缘,且中部略有凹陷呈肾形。椎间盘脱出表现为局部突出于椎体后缘的弧形软组织影,通常与椎间盘相连,且密度多一致,并可见硬脊膜外游离髓核。髓核在椎间盘平面上方或下方,其密度低于椎骨但高于硬脊膜及椎旁软组织,突出的椎间盘可钙化。
②硬脊膜外脂肪受压、移位,甚至消失,硬脊膜下腔前缘或侧方受压变形。
③向侧后方突出的椎间盘,可使侧隐窝前、后径缩短,压迫相应的脊神经根使其向后移位;脊神经根亦可因水肿而增粗。
④椎体后部骨质硬化及有时可见椎间相邻椎体上、下缘可见许莫氏(Schmorl)结节。
椎间盘膨出CT及MRI表现:
①轻度膨出时表现为椎间盘后缘正常肾形凹陷消失,圆隆饱满。
②重度时弥漫膨出的间盘边缘明显向四周均匀一致增宽,超出上下椎体边缘,但椎间盘仍然对称,没有局部突出,外形保持椭圆形,可伴真空变性。严重时可造成硬膜囊受压狭窄,马尾神经受压。
CT椎间盘突出分型
以椎间盘疝出物突出的方向分为四型,即中央型、外侧型、远外侧型和侧前型。
前两种为椎管内型,后两种为椎管外型。
中央型椎间盘疝出物位于椎管中部主要对硬膜外脂肪间隙和硬膜囊形成压迫;
外侧型椎间盘疝出物位于椎管内一侧,未超过椎间孔内口,主要对硬膜外脂肪间隙、硬膜囊和神经根形成压迫;
远外侧型椎间盘疝出物位于椎管以外,主要引起椎间孔狭窄和一侧根神经受压;
侧前型椎间盘疝出物本身不引起压迫症状,但由于椎间盘的外1/3有神经分布,亦是腰痛的原因之一,所以应引起足够的重视。
椎间盘突出程度与椎管狭窄程度并不呈正比,椎管狭窄程度受疝出物大小、硬膜囊大小、韧带厚度、关节肥大和椎间盘膨出等因素的影响。

腰椎键盘突出示意图


正侧位示腰4、5间隙变窄,CT扫描示腰4、5间盘突出

CT:椎间盘突出(中央型)

MRI:椎间盘突出(外侧型)

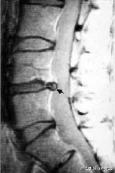
MRI:腰椎间盘右后突出

MRI:腰4、5间盘变性、突出,硬膜囊受压

MRI:腰椎间盘突出

MRI:腰 5-骶1间盘脱出

MRI:腰椎间盘脱出

MRI:髓核游离
Schmorl结节(许莫氏结节)
Schmorl结节(许莫氏结节),是椎间盘退变时,软骨板变薄及玻璃样变,甚至消失。髓核经软骨板的薄弱或者缺损部疝入椎体内,在椎体内形成软骨结节。
是髓核于椎体上面或者下面形成的圆形或者半圆形的骨质凹陷区,其边缘有硬化。可对称见于相邻两个椎体的上下面,并且可以累及多个椎体。
可以说算是一种特殊类型的椎间盘突出。只不过不像普通椎间盘突出是突出于椎体后缘,而是突出到上下椎体里!
在影像上看,椎体上下缘弧形的凹陷或者骨性透亮区,伴有不同程度的边缘硬化,广泛硬化时椎体呈象牙质样。

Schmorl结节(许莫氏结节)示意图





许莫氏结节并骶管内囊肿
腰椎间盘突出症的保守治疗
保守治疗是腰椎间盘突出的基本治疗方法,约80%的腰椎间盘突出可经保守治疗缓解或治愈。保守治疗旨在使腰椎间盘突出病灶和受刺激的神经根的炎性水肿加速消退,从而减轻或缓解其对神经根的刺激和压迫。
保守治疗主要适用于:
(1)年轻、初次发作或病程较短者;
(2)休息后症状可自行缓解者;
(3)X线检查无椎管狭窄者。
椎间盘突出的保守治疗 :
具体方法包括绝对卧床休息、持续牵引、理疗、推拿、按摩、口服消炎止痛药物、病灶注射治疗等,其中病灶注射治疗的作用是减轻神经根炎症反应,对突出型有效率达76%,对膨出型有效率只有26%。一般正规保守治疗6~8周无效应考虑采取其他方法。
1、绝对卧床,最重要。
2、可牵引,但牵引初期可加重临床不适症状,要正确认识它。
3、局部理疗热敷。
4、非甾体止痛药物,急性期可适当加用激素类药物,效果较好,一般3天即可,但现在很多人不提倡应用激素。
5、以上方法效果如不佳可做硬膜外封闭或骶管治疗。
6、恢复期内避免体力劳动
中医保守治疗
首先,纠正病人引起发病的病因(如:不良的坐姿),
然后,正骨推拿>针灸(可用神经根电针)>平时患者练功(腰背肌训练)
严重者可硬膜外麻醉+激素后大推拿
利水中药内服外敷
腰椎间盘突出症的手术治疗
手术适应证:经症状、体征、影像学和神经定位检查诊断为腰椎间盘突出,经正规保守治疗6~8周无缓解,出现感觉运动功能障碍、马尾综合征、难以耐受的疼痛或反复发作影响工作和生活者。
手术禁忌证:严重心、肺、肝、肾疾病,有感染病灶,严重神经衰弱,精神病患者,保守治疗有效的患者。
手术方法的选择:
(1)开窗减压术:腰痛伴单侧下肢痛,累计一个间隙者。
(2)半椎板切除:腰痛伴单侧肢体疼痛,累计两个间隙者或原诊断为某一间隙突出,术中发现该间隙的病理变化不足以解释术前症状而需要探察临近间隙者。
(3)全椎板切除:巨大的中央型腰椎间盘突出伴急性马尾神经损伤症状者。髓核摘除术后复发经保守治疗无效,需二次手术者。
(4) 关节突部分切除或关节突切除:极外侧型或合并椎管狭窄者。
腰椎间盘突出症的微创介入治疗
1、椎间盘化学溶解术(chemonucleolysis): 椎间盘化学溶解术是应用胶原酶的水解作用,溶解髓核或突出物,从而缓解神经根的刺激和压迫达到治疗的目的。该技术主要用于突出型、脱出型腰椎间盘突出症。
2、 经皮椎间盘切吸术(percutaneous lumbar discectomy, PLD): PLD的机制是通过去除椎间盘组织降低椎间盘压力,从而减弱或消除神经根损害的张力机制。随机对照研究报告优良率不足70%,且手术操作盲目性大,术后复发率高,疗效和可靠性不如化学溶解术和内窥镜下椎间盘摘除术,目前多不单独应用此技术。
3、 经皮激光椎间盘减压术(percutaneous laser disc decompression, PLDD): 操作与PLD相似,利用激光产生热能,使椎间盘组织气化,干燥脱水,减轻髓核组织对神经根产生的张力和压力,缓解根性症状。Choy等报告优良率78%,但随后大多数作者研究表明疗效明显低于化学溶解术。该手术同样为非直视微创手术,且设备昂贵,其安全性、有效性和价效比有待进一步观察。
4、 内窥镜下椎间盘切除术(microendoscopic discectomy, MED):内窥镜按入路分三种类型:
(1)后外侧经椎间孔入路椎间盘镜;
(2)前路腹腔镜;
(3)后路椎间盘镜,即标准椎板间椎间盘入路,适用于单节段旁中央突出、脱出及椎管内游离椎间盘,并可同时进行侧隐窝扩大等椎管减压术。由于成像系统的良好监控,避免了盲目性,可精确定位、适量切除和有效减压,创伤小,恢复快,近期优良率高。但因显露局限,技术要求高,难度大,手术难彻底,远期疗效有待进一步观察。
目前,除常规的开放手术外,微创介入治疗技术已是治疗腰椎间盘突出的重要手段,对症状较重者,效果优于保守治疗。