癌症每年要夺去很多人的生命,如果能在癌前病变或者癌症早期发现并积极接受治疗,晚期生存率则大大提升!

恶性肿瘤已被世界卫生组织定义在慢性疾病的范畴,大多数病人不会彻底治愈。 本病也是我国继心脑血管疾病之后的第二大死亡原因。 恶性肿瘤的治疗手段也是非常多,如手术、放疗、化疗、生物治疗、靶向治疗、中医药辅助治疗等等。相信这几年来大家也体会得到,国家在肿瘤的防治方面可是下足了功夫。 人到中年后,人的身体机能开始下降,也从此进入了肿瘤的高发阶段。
虽说我国大体已进入小康社会,吃穿不论是在哪个地方基本是不愁的 ,但多数普通家庭抗风险能力很差, 经不住大的病痛,往往是一“病”毁所有。 现在不管是在农村还是城市,国家都在积极开始癌症的早期筛查,如男性的肺癌、前列腺癌,女性的乳腺癌、宫颈癌。只要是符合条件,都可以免费检查, 这对于平时舍不得体检的人来说更是一个福音,下面我将通过一个病例的解读来谈谈我的看法。

这个病例,值得每个人深思!
第一个病例,是我们医院的一个保安他老婆。从农村来到这个城市十多年了,老婆没有固定的工作,收收垃圾,料理一下家务事,所以是没有买医保的。有一段时间她开始出现干咳,自己在药店买了药吃不管用,也没跟家里人讲,直到半年后在我们医院收纸壳的时候扛不住,给做了个CT,已经是晚期,还脑转移了。这种情况基本没法救了,刀也没必要开,医生的建议是回家吧,也就这几个月了。
可是不甘心啊,儿子还没结婚,夫妻之间很有感情,还是拿出毕生的积蓄给她治,上了靶向治疗,药费非常贵 ,花了十多万 ,也就半年时间,最后包了个车回老家料理后事。后面聊天时我问起这个保安师傅,他说夫妻感情几十年,你不给治于心不忍啊!唯一后悔的是没重视体检,因为他自己每年保安公司都是有体检的,觉得老婆身体底子好,不会有什么事。像女性肺癌一般腺癌比较多见,如果能在早期比如结节阶段切除,预后可就大不相同了。

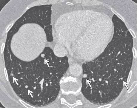
肺结节
人到中年,2种症状别“硬扛”!
①贫血:癌症贫血患者常常表现为正细胞正色素贫血或小细胞低色素贫血,其网织红细胞(Rc)计数正常或减低,血清铁降低,铁蛋白增高或正常,骨髓铁染色示细胞内铁减少而细胞外铁增多。关于原因一是红细胞寿命轻度缩短,二是红系增生减低,机体不能完全代偿。像轻度贫血临床上往往没有显著的症状,严重者则可表现为头晕、心悸、心慌不适,甲床、睑结膜苍白等征象。所以当你步入中年,吃得好,睡得香,但出现贫血,超过一段时间不愈,那么肿瘤是需要先排除的。

②消瘦/体重减轻:营养不良和体重降低是恶性肿瘤患者常见的并发症。部分患者甚至会出现明显的恶液质表现,具体如食欲减退、体重降低、胰岛素抵抗、疲劳、 水肿并伴随肌肉或脂肪组织的消耗。有研究显示,约40%的恶性肿瘤患者在疾病诊断的早期就出现了恶液质表现,肿瘤晚期恶液质的发生率甚至可上升至70%-80%,其中以胰腺癌和胃癌患者最为突出,发生率高达83%-85%。考虑的原因一方面是正常细胞能源物质摄入减少,另一方面是机体营养代谢障碍和消耗增加所致。

综合总结
我上面说的是癌症时较为突出的全身表现,像有些具体部位的肿瘤也会有相关的局部症状,如食管癌出现吞咽不畅,肠癌出现排便习惯改变或者便血等,宫颈癌出现无痛性阴道流血,肺癌出现刺激性干咳等。那么有些肿瘤在早期可能没有任何症状,该如何做好预防工作呢?其实最好的办法就是定期“体检”筛查,尤其是中年以后如肿瘤标志物全套、胃肠镜检查、低剂量肺部CT我觉得都是有必要的,如果查出来没问题,那么就再隔几年复查,如果有小问题或者发现癌前病变,那么就听医生的建议,在动态复查中发现有恶变倾向,及时干预,就是最好的防治之道。

作者寄语:本文是笔者综合数小时时间综合总结而成,不加入专栏收费,无偿、免费地让大家阅读。愿对那些受到谣言误导、没有医学知识、没有健康保健观念的群体有所帮助。头条是一个开放的平台,每个人都可以互相学习,互相探讨,如有不同观点可在评论区谈谈自己的看法。如果觉得学到了有帮助,不要吝啬,献个爱心,点个赞,转发一下帮助更多的人,感谢大家的支持。#健康过大年#