先做个小测试:请观察身边的小朋友,看看他们的蛀牙情况。
如果不出意外,你几乎找不出一个没有蛀牙的孩子。
在我国,儿童患龋率高达 90%,是近视人数的两倍之多,并且还在逐年升高。
可见, 蛀牙 已经势不可挡地成为 儿童口腔健康 的 最大威胁 。

有家长问:不吃点糖可以吗?
说实话,不吃糖可以减少蛀牙的可能,但糖真的减得了吗?
且不说零食、饮料满大街都是,更何况牛奶、米饭里也是含有糖分的。
所以光从“不吃糖”这点出发,根本行不通。

督促孩子认真刷牙呢?
可以是可以,但 大部分孩子刷牙是为了应付家长 ,根本达不到“标准”的要求。
况且蛀牙是不可逆的。
一旦出现,只能说明这已经是一颗不健康的牙。
说到底,预防蛀牙才是解决蛀牙的最佳方法。

有没有 对孩子无伤害 、 科学 、 便宜 的防蛀方法呢?
当然有!
那就是“ 窝沟封闭 ”和“ 涂氟保护 ”~

去过儿童口腔科的爸妈,应该都听过这两个保护方法,但大多数只是听医生一提,没有太多印象。
其实窝沟封闭和涂氟治疗是目前公认的 最有效、最安全 的防龋方法。
在部分发达国家,是列入儿童医疗保险的必需项目;
在我国的部分幼儿园及小学,会组织孩子定期涂氟和窝沟封闭。
可见它们的重要性。

由于篇幅原因,本期我们只讲“窝沟封闭”的相关问题——操作过程疼吗?孩子会抗拒吗?注意事项什么?多少钱?等等,解除家长们的疑虑。
窝沟封闭疼吗?
爸妈们心疼孩子,最关心的还是孩子疼不疼。
疼吧?
答案是——不疼。

为什么?
因为窝沟封闭相当于在外面 给牙齿穿上一层铠甲 ,所有操作都是 在牙齿表面进行的 ,不会伤到牙齿,家长不必担心。
当然不排除一些孩子本身就怕医院,看见蒙着口罩的医生就嗷嗷大哭找妈妈,出现这种情况,建议家长事先沟通好哦 ~

解决这个问题,宝爸宝妈就可以安心往下看啦 ~
什么是窝沟封闭?
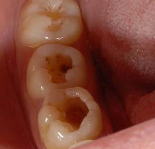
张开嘴巴,我们会看见后牙表面有像沟壑一样的窝沟。

由于窝沟凹凸不平,细菌和食物容易藏在这里,并且刷牙也很难深入窝沟。
所以大部分蛀牙,是从窝沟开始的。
比如这样的:

这样的:

为了预防窝沟龋,医生会用窝沟封闭材料将窝沟覆盖,

做完呈现出这个效果:

窝沟封闭材料会将细菌拦在“门外”,达到预防蛀牙的目的。
窝沟封闭麻烦吗?
只要孩子不排斥,整个过程会很轻松。
直接用图就能看明白:

按照这个标准,每颗牙大约 20分钟的保护时间,完全在孩子的承受范围内。
值得注意的是,窝沟封闭在牙齿表面,所以做完 两个小时内,孩子不要喝水、喝饮料、吃东西或漱口哦~
窝沟封闭很贵吧?
窝沟封闭这么好,价格不便宜吧?
说实话,价格出乎意料地亲民 ~
由于窝沟封闭对 单颗牙 进行保护,因此收费也是按颗收的。
就拿我们医院来说, 80元一颗。
80元,家长两杯星巴克的钱,却能保护孩子一颗稚嫩的牙齿,我认为是值得的。

不过有一点需要注意,由于窝沟封闭材料是“填”在窝沟里的,可能在孩子咀嚼硬物时脱落,甚至随食物吞进肚子里。
家长不要担心,材料是安全可食用的,会正常代谢掉。

说到这里,全都是在介绍窝沟封闭的优点,难道它就没有弊端吗?
当然有。
它的不足就是——成人不能做。

哈哈哈哈哈不好意思,搞错了 ~
应该是—— 定期补加!
上面我们讲过,随着牙齿的日常使用,窝沟材料会被消耗掉,所以要定期补加,不要指望它一劳永逸哦 ~