病例资料来源于原就职的金华市人民医院

金华的某A,女性,64岁,是我真正的老乡,同一个自然村的,离我家不足100米,前段时间说乏力,在当地镇上医院查了血常规、肝功能、肾功能以及心电图等都没有异常,医生告诉她没什么大问题,叫好好休息。但因为症状明显,又打电话问我,我说来医院检查下再说。就在门诊给查了胸部CT,居然发现了大大的问题,纵隔巨大占位!所以收住入院进一步检查。我们来看下她的病史:

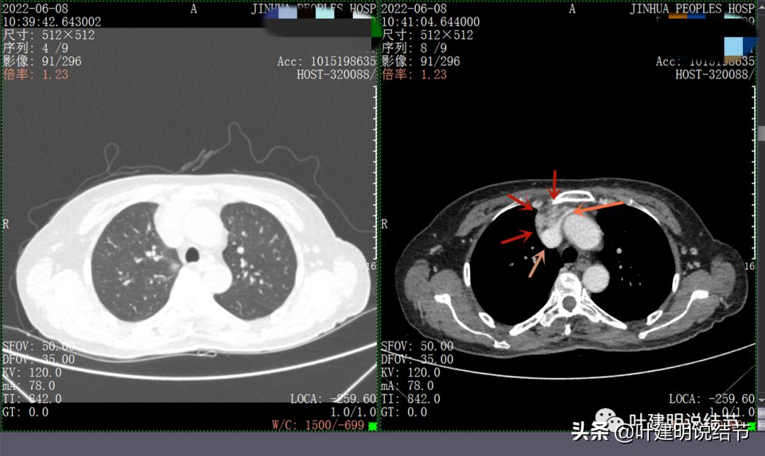
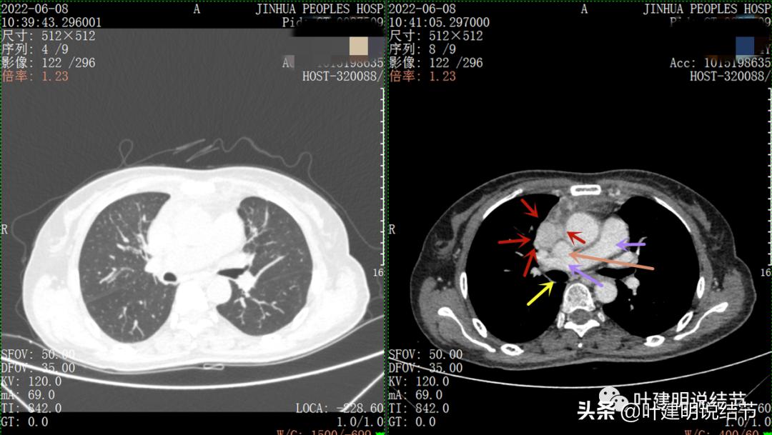
再来看看她的CT增强图像:
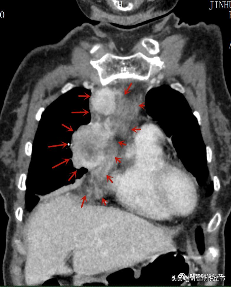
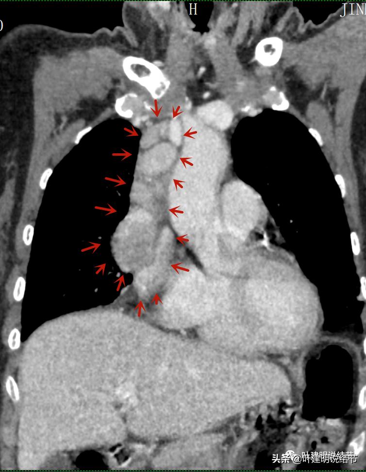
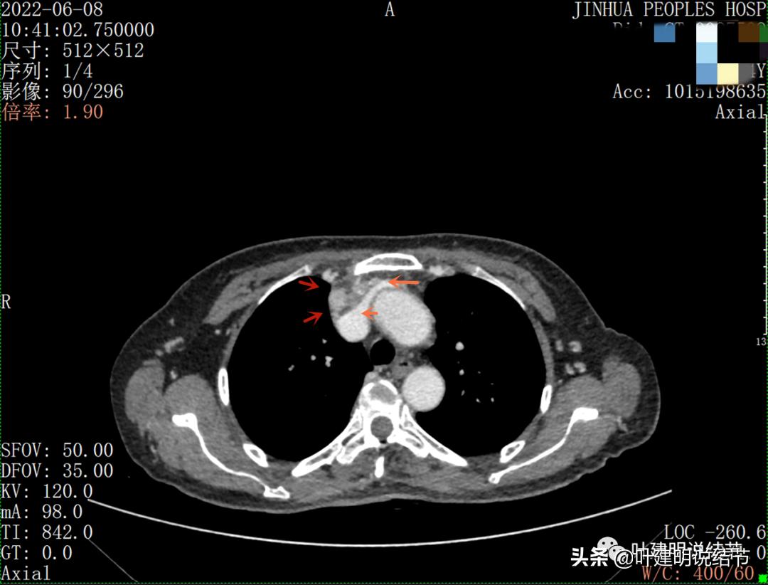
以下图片左侧是肺窗,右侧是纵隔窗。红色箭头示病灶,桔色箭头示无名静脉,黄色箭头示支气管,砖色箭头示上腔静脉,蓝色箭头示主动脉,紫色箭头示肺动脉。

病灶胸顶较高位置就出现了,在无名静脉水平

无名静脉略受压





病灶纵隔胸膜侧非常光滑,说明来源于纵隔






粉色箭头示淋巴结可能





















绿色箭头示近膈面处,心脏边病灶

此灶与主病灶不是完全相连的






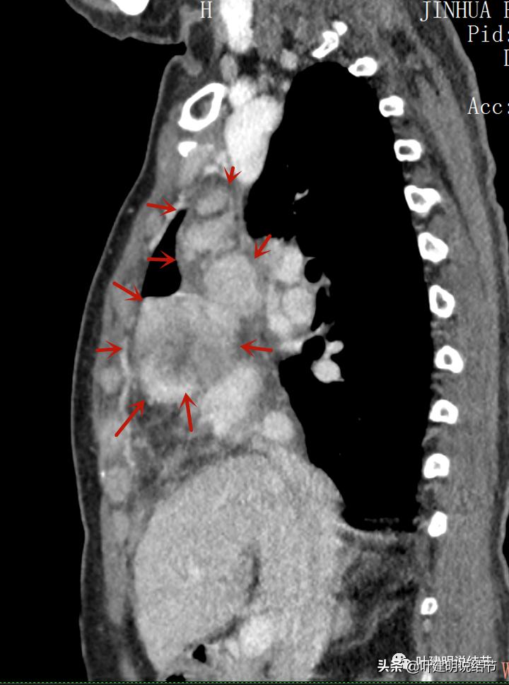
病灶最大横断面水平,在冠状位上显示病灶多个中心似的,从上到下纵隔都有

病灶之间似不相连的,矢状位上见从上到下延续的

近膈面病灶的轴位、冠状位与矢状位所见

病灶占据前纵隔从上到下全程,多中心,密度不均,对心脏与大血管有压迫,没有明显侵犯



病灶表面不平,中间有坏死


特别显示与无名静脉的关系

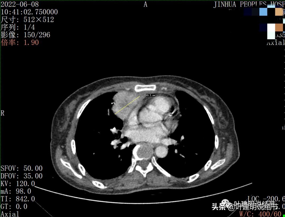
上图示最大横断位达5厘米
影像印象:
纵隔如此巨大的占位,恶性是基本上能肯定的了,到底要考虑淋巴瘤、胸腺瘤、胸腺癌、畸胎瘤或其他恶性肿瘤呢?一般来说,应该是胸腺癌或淋巴瘤可能性为大。再来看看化验检查。





各位同道们,这个肿瘤应该要考虑什么?如果能留言进行分析,给出依据,则十分感谢,让大家学习学习。
(此处已添加医疗卡片,请到*今条头日**客户端查看)