常用的上消化道钡剂检查摄片体位
- 食管双对比相(站立左右前斜位)
- 食管充盈相或粘膜相(站立左右前斜位)
- 胃双对比相(仰卧左前斜位)
- 胃双对比相(仰卧右前斜位)
- 胃体、胃窦充盈相(俯卧位)
- 胃底、贲门双对比相(左前斜位)
- 胃底、贲门双对比相(右前斜位)
- 十二指肠球和圈充盈相
- 十二指肠球和圈双对比相
- 十二指肠球和胃窦部加压相
- 全胃充盈相(半卧位、立位)
标准体位图像

食管双对比相(站立右前斜位)

食管充盈相或粘膜相(站立右前斜位)

胃双对比相(仰卧右前斜位)

胃双对比相(仰卧左前斜位)

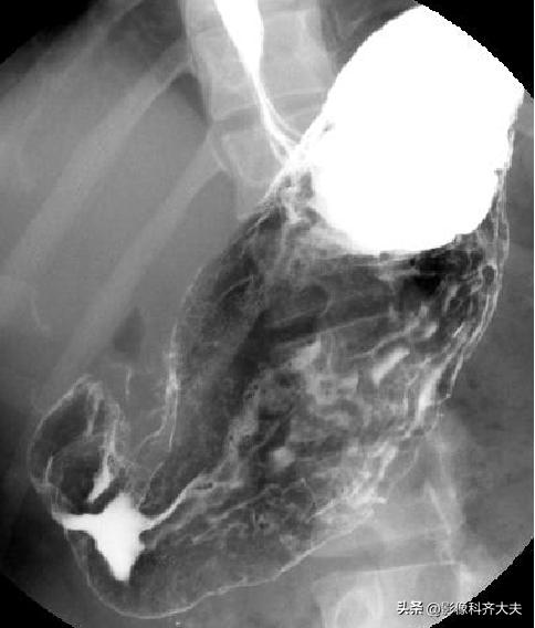
胃体、胃窦充盈相(俯卧位)

胃底、贲门双对比相(右前斜位)

胃底、贲门双对比相(左前斜位)

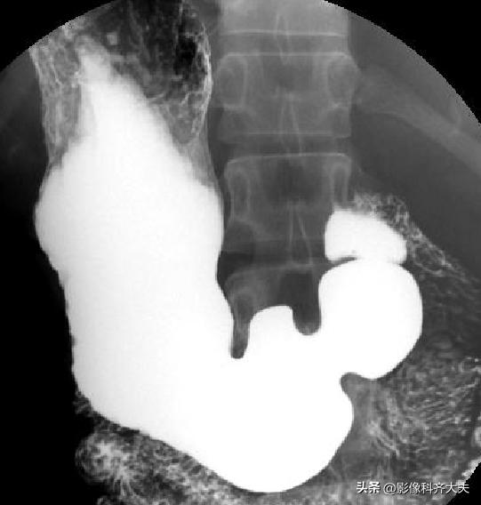
十二指肠球和圈充盈相

十二指肠球和圈双对比相

十二指肠球部及胃窦部加压相

全胃充盈相(站立位)