案例回顾:郑女士,50岁,2年前因“宫颈低分化鳞状细胞癌”。行当地医院行外科手术,术后行放疗和化疗,不久前因为腹部不适就诊当地医院,发现盆腔肿瘤复发这让郑女士一下慌了神,感觉被判了“死刑”一般。
化疗的痛苦,身体无法承受,而且肿瘤也在继续增大
主治她的当地放疗科医师告知她因为她之前已进行过根治性放疗无法再次实施放疗,她只能接受保守的放化疗来控制病情。虽然不想接受化疗,但也没有更好的办法,只好接受。
原定的6个周期化疗,2个周期后化疗的副作用让郑女士全身酸痛乏力,呕吐、吃饭没有食欲,掉发,整个人都感觉非常难受,人也渐渐的消瘦。更不能让人接受的是,复查结果显示肿瘤还在继续增大,郑女士看到这样的结果强烈要求出院,不再接受化疗了。

肿瘤综合治疗,不痛苦,消瘤出院
尽管结果不尽人意,郑女士的家属不愿意就这样放弃,到处打听治疗方案,经病友介绍运城第一医院卫毅楠医生擅长肿瘤微创介入治疗,治疗案例非常多,慕名找过来。

制定放射粒子植入方案,近距离“狙杀”肿瘤细胞
卫毅楠教授在仔细了解病情后,将患者收入了病房。
针对郑女士的情况,卫毅楠教授跟他的肿瘤微创团队(黄江河教授,赵婷主治医师、杨文泽主治医师、淮一峰住院医师)等进行了讨论,并与为郑女士前期治疗的医师进行商讨,最后为郑女士确定了碘125粒子植入治疗的方案,得到郑女士欣然的接受。

2023年7月郑女士在我院接受了 一次粒子植入治疗 ,整个治疗过 程微创,没有开刀,仅有几个针眼,没有全身化疗的明显毒副作用,而且术后即刻可下床,3天后出院。
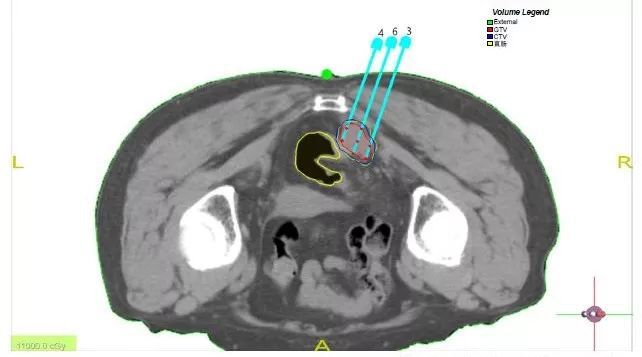
术前TPS计划与手术中进针路径完全相同




卫毅楠科主任医生还特意联系了医院中医科,为郑女士会诊,开中药调理。郑女士虚弱的身体渐渐恢复,精神状态一天比一天好。
2个月后复查,郑女士复发的宫颈肿瘤基本消除。郑女士非常高兴地说“这个微创治疗太好了,没有痛苦,肿瘤控制效果好,也不掉头发,这段时间体重还上升了4-5斤”。
什么是碘125粒子植入
放射性粒子是将放射性同位素125碘吸附在银棒上外裹钛金属壳制成直径为0.8mm长度为4.5mm的钛金属微粒(称粒子)。利用影像学技术(如CT、彩超等导引下)将放射性粒子直接插植到肿瘤内部或肿瘤周围,通过125碘粒子持续释放射线对肿瘤细胞进行*伤杀**,直接近距离攻击肿瘤细胞,而不损伤周围的正常细胞,本质上是一种内照射放疗。125碘粒子有效射程1.7cm,半衰期59天,也就是说59天以后其放射性衰变为原来的一半(有效时间可达6-8个月)。

粒子植入治疗的适应症:
适用于多种类型的实体肿瘤,尤其适用于不能手术的或不愿意手术的肿瘤患者,手术后肿瘤残留或术后复发的患者,放化疗不能耐受或治疗后疗效不佳的患者。
适用于粒子植入治疗的实体肿瘤主要包括:
1.头颈部:鼻咽癌、口腔癌、扁桃体癌、舌癌、腮腺癌、眼部肿瘤及头颈部转移癌等。
2.胸部:肺癌、纵隔肿瘤、乳腺癌、胸壁转移瘤等。
3.腹部:肝癌、胰腺癌、食道癌、直肠癌及腹腔转移癌、腹膜后淋巴结转移、腹壁转移瘤等。
4.盆部:前列腺癌、膀胱癌、宫颈癌、子宫内膜癌、阴道癌及盆壁转移癌等。
5.全身各部位孤立转移瘤、软组织肉瘤、淋巴结转移等。