因为结婚几年没有生育,时至今日这对夫妇才恍然意识到问题的严重性,分别到医院寻求“妇科”“男科”医生进行诊疗。

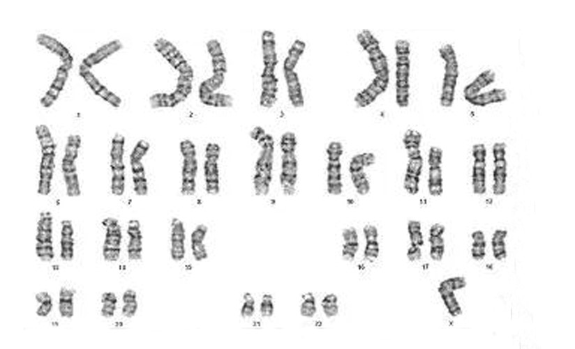
当男科医生在给男方体检时,发现其外生殖器发育正常、但*丸睾**偏小,除此之外,其精液在检查化验单中显示“无精子”,更为奇怪的竟然是在其血液的染色体检查中提示该名男患者的性染色体“只有一条X染色体”!即是染色体核型分析为45,X(正常男性为46,XY)。

众所周知,男性的性染色体是由“一条X染色体和一条Y染色体”组合而成,女性则由“两条X染色体”组成。
该名患者既然没有Y染色体,那为何拥有男性外生殖器?且听闻其夫妻*生活性**也正常?在生物学上,他没有Y染色体,还属于男人吗?决定性别到底是看其外生殖器还是看染色体?或是看有没有*丸睾**呢?这到底是属于什么疾病呢?拜康君带着疑惑请教了专家。
通常情况下,我们判断刚出生孩子的性别是观察其外生殖器,男孩有小丁丁,女孩没有,男女有别。随着年龄增大,在性激素的催化下,男孩的小丁丁将逐渐变成了大丁丁,第二性征也开始体现出来了。

如果男孩成长过程中,其小丁丁不长大、甚至看上去还有点像是女孩的外阴,此时就必须到达医院检查外生殖器发育异常的原因了。在医学上,判断性别除了观察孩子的外生殖器之外,同时还得了解其性腺情况,男性性腺是*丸睾**,女性性腺是卵巢。正常情况下,性腺的发育决定于原始生殖细胞所含有的性染色体,若含有XY染色体,则发育为*丸睾**;反之,若含XX染色体,则发育出卵巢。
那么本文的男主人翁染色体中缺乏Y染色体,而外生殖器发育为何又呈现男性特征?人类的性别,是由细胞核内性染色体组成不同而决定。在人类体细胞所含的23对染色体中,22对染色体称为“常染色体”;另外一对与性别决定有着明显、直接关系的染色体,称为“性染色体”(主要包括“X染色体”和“Y染色体”)。X、Y染色体的形态、结构及大小存在明显的差别。

男性的细胞核中,性染色体组成为“XY”,女性为“XX”,这种性别决定方式称之为“XY型性别决定”。目前医学认为,Y染色体的短臂上有一个*丸睾**决定因子(TDF)基因,它具有强烈的男性化作用。不仅如此,于1990年Sinclair等发现了一个新基因SRY,其被认为是TDF的最佳候选基因,而且有越来越多的证据表明SRY和人类性别决定有着明确关系。

没有Y染色体,为何又有男性外生殖器呢? 广州达因生命科学有限公司实验室李勇华主任向拜康君解释道:“正常情况下,男性生理特征和外生殖器官是由细胞内的Y染色体决定的。

但是,我们偶尔会遇到没有Y染色体,却有男性外生殖器官的患者(核型常为46,XX;也可见于45,X或45,X/46,XX嵌合),其发病原因是由位于Y染色体短臂的SRY基因(雄性决定基因)易位到常染色体或X染色体所导致。由于该基因片段很小,无法通过常规染色体核型分析观察到,需要通过分子诊断的方法进行SRY基因片段分析来确定该基因是否存在。反之,如果核型为46,XY,却具有女性外生殖器(或外生殖器分化模糊)者,也应通过SRY基因片段分析来确定该基因片段是否缺失。”
那么这位患者到底是什么病呢?中山大学附属第六医院泌尿外科性医学门诊 张滨 教授告诉拜康君,该例是罕见的“男性Turner综合征”患者。

Turner(特纳)又名“先天性卵巢发育不全”或“性腺发育不全综合征”。1938年由美国的Turner医生首先报道,是由于X染色体数目异常或结构畸变所导致的性染色体疾病,女性发病率约为新生女婴的1/5000,是较常见的性染色体异常疾病,而男性的Turner综合征患者罕见,全球报道也就是几十例。
张滨教授还表示,男性不育症或者男性无精子症患者在社会上并不少见,发现男性Turner综合征患者不单是要帮助解决患者家庭生育问题,更重要的一点是要注意患者是否合并有其他器官的功能性障碍,及早诊断、定期体检以防止性腺胚细胞瘤的发生。由于*丸睾**发育不良导致性激素分泌水平异常,如血清睾酮不足,男性的第二性征弱化,其外貌和声音与正常男性略有差异,因此早发现、早治疗,减轻患者的身心负担。

张滨教授擅长:性欲异常、勃起功能异常、*泄早**、少精/弱精/血精、急/慢性前列腺炎、性腺功能发育障碍、射精障碍、性传播性疾病、性心理障碍、夫妻*生活性**困难等等。
欢迎各位朋友关注我的头条号,然后私信“我要入群”与我交流。