最近科里接连收治了好几例肠套叠的患者,有儿童的,也有成年人的。今天就来说一说什么是肠套叠。
肠套叠,顾名思义,就是一段肠子套入着到另外一段相连的肠子内,它可以是小肠套入到小肠内,也可以是小肠套入到大肠内,还可以是大肠套入到的大肠内,但最多见的还是小肠套入到大肠里。原发性肠套叠多发生于婴幼儿,多发生于两岁以内的孩子,随着生长发育,两岁以后,很多孩子便不会再反复发作肠套叠了,其发生的主要原因是肠道蠕动节律的紊乱。继发性肠套叠多发生于成年人,原因是肠腔内或肠壁上有一病变,使肠蠕动的节律失调,近段肠管强有力的蠕动将病变连同肠管同时送入远段肠管中。因此,成年人肠套叠多继发于肠息肉、肠肿瘤、肠憩室、肠粘连以及肠腔内的异物。肠肿瘤可以是良性的,也可以是恶性的,据文献报道,良、恶性大约各占一半。肠套叠有时候可以自行复位,因此发作之后检查可能是阴性的。
肠套叠有三大临床表现,分别是腹痛、便血、和腹部肿块。表现为突然发作的剧烈的阵发性腹痛,患儿阵发性哭闹不安,有安静如常的间歇期。可伴有呕吐和果酱血便。触诊可扪及腊肠型、表面光滑、稍可活动、具有压痛的肿块儿,常位于脐的右上方,而右下腹部触诊则有空虚感。成年人的症状则比较轻微。可表现为阵发性的腹痛,很少有便血的表现。
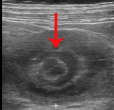
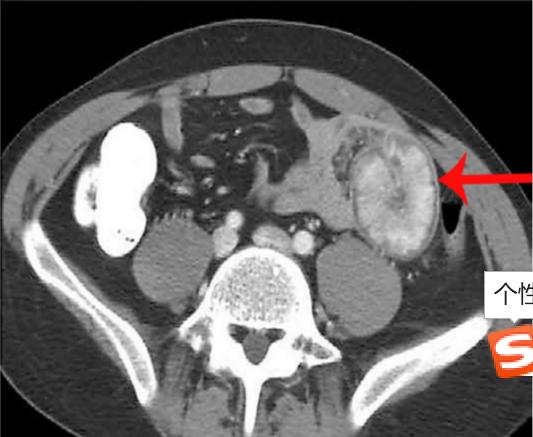
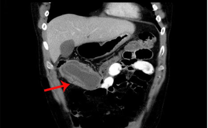
彩超和腹部CT对诊断肠套叠有较高的诊断率。肠套叠的腹部CT表现一般为软组织肿块影,常呈现"同心圆征"或"靶环征",有时称假肾征。有时肠管套入部较深,可表现为"双肠管征"。
对于儿童的肠套叠,可采用空气或氧气灌肠促进套叠复位。,可在彩超或者x线引导下进行。如果长肠套叠不能缓解或者病变已超过了48小时,怀疑有肠坏死、出现腹膜刺激症或全身情况恶化的情况,应及时手术治疗。成年人的肠套叠多属于继发,一般都应积极的手术治疗。即使肠套叠已经缓解,也应继续进行检查,以明确有无原发的肿瘤或者其他病变,行择期手术,不论是否有肠坏死,都可能要行肠切除、肠吻合术。

彩超下的同心圆征

假肾征

双肠管征

同心圆征

示意图

构成图