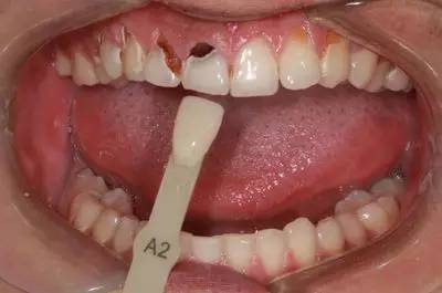
暑假到来,父母们带着孩子来到医院检查牙齿。我们发现孩子们的饮食越来越多元化,牙齿的”大敌“——碳酸饮料,越来越频繁的出现在孩子的餐桌上,导致孩子们的牙齿过快腐蚀。那么,这种该如何治疗呢?
令人痛心的”可乐牙“

选出最适合患者牙齿的颜色:

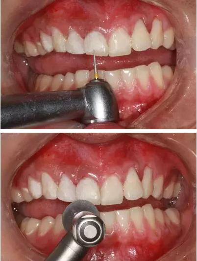
充分去除腐败组织



吹干患牙,均匀涂布粘接剂,固化


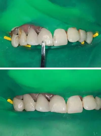
分层填充树脂


抛光唇面、邻面


完成

看了那么多的高能照片,你还敢喝那么多的碳酸饮料吗?想要牙齿健康,吃啥都嘛嘛香,就好好爱护牙齿吧!
本文内容整理自网络,版权归原作者所有,感谢原作者分享!如果侵权请及时联系我们,我们会尽快处理~
请用微信公众号搜索“牙齐齐”(微信号:uyaren2015),还有牙医小秘书(微信个人号:uyaren),随时随地和资深牙医聊聊牙齿的那些事儿!
牙齐齐,只为爱牙齿的您!为了您们的口腔健康,我们义不容辞的每天推送各类护牙的小Tips和小趣事!