脱髓鞘病变
原发:多发性硬化 MS、急性播散性脑脊髓炎 ADEM、中央桥脑髓鞘溶解 CPM、渗透性髓鞘溶解 DM、脱髓鞘性假瘤 DP
继发:外伤:弥漫性轴索损伤;肿瘤;感染;血管病;中毒;药物
No.1
多发性硬化
自身免疫病,常见女性、小儿,20-40 岁多见
反复发作环节,激素治疗有效但长期预后较差
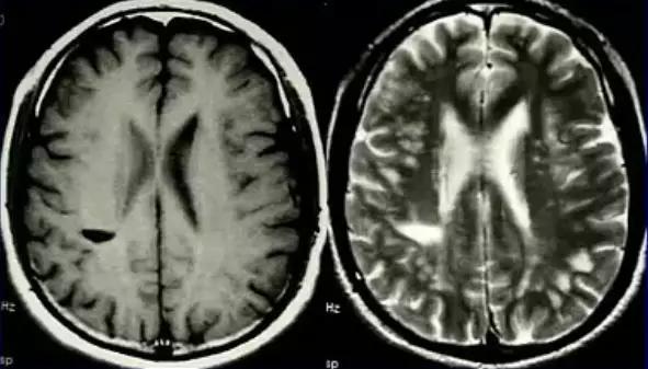
多位于侧脑室旁白质、半卵圆中心、也可位于脑干、颅神经等处,灰质核团受累少见,国人好发于脊髓、视神经
病灶呈卵圆形,沿侧脑室放射状分布,呈「垂直征」,长 T1、长 T2 信号,中心可囊变,活动期增强明显,静止期无增强,活动期 DWI 呈高信号



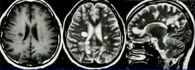
同心圆硬化:可能为 MS 的一种特殊类型,好发于 20-50 岁,平均 30 岁,男性略多,无家族史/感染史,急性/亚急性起病,半数有低热、乏力、头痛等先驱症状,1-3 周症状达顶峰
首发多为性格或行为改变:交往困难、情感淡漠、沉默寡言少语、头痛头晕乏力,CSF 压力可增高,蛋白或细胞略升高,可出现少量红细胞
CT:脑白质去有洋葱头或年轮样黑白相间的类圆形环带,增强后洋葱头样结构更加明显。MRI 上脑白质可见急性期双重构造病变及亚急性期的同心圆层状改变
病理:脱髓鞘病灶分布不连续,呈板层样同心圆改变(脱髓鞘与髓鞘保留区相间,即脱髓鞘病变区与正常脑组织呈年轮样交替排列),小静脉周围有淋巴细胞为主的炎细胞浸润,同时在髓鞘破坏后有神经胶质增生,所以称为同心圆硬化。

No.2
急性播散性脑脊髓炎
较少见的中枢神经系统脱髓鞘疾病,可以累及脑和脊髓
发病前数天至数周常有病毒感染史,如麻疹、水痘、上消化道感染等,或近期有疫苗接种史,少部分无明显原因
本病可发生在任何年龄,儿童、青年多见,无性别差异。

No.3
桥脑中央髓溶解
不常见的桥脑中毒性脱髓鞘疾病
主要见于嗜酒者,也可见于肝病患者、肝移植、烧伤、慢性肾衰、恶性肿瘤、脓毒败血症、脱水、糖尿病酮症、抗利尿激素分泌不调综合征、急性出血性胰腺炎、电解质紊乱和厌食症。
与严重的电解质紊乱有感,最常见的是在迅速纠正低钠、高渗透压血症的过程中发生。
各年龄均可发病,但是 35-60 岁较多。
临床表现为迅速发生下肢瘫、四肢瘫,伴有明显的假性球麻痹症状。
病理上桥脑中央髓鞘溶解症表现为桥脑基底部中央对称性脱髓鞘,从中缝向两侧发展,髓鞘脱失严重,神经细胞与轴突相对完整无炎性反应。桥脑周围部分不受累是本病特征。
少数病例桥脑外可有脱髓鞘改变,包括丘脑、基底节、皮层下白质、胼胝体和小脑
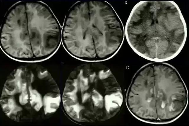
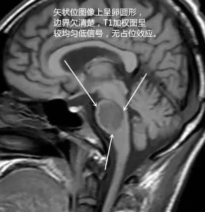
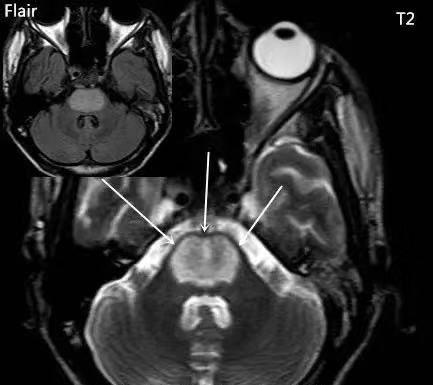
T1 呈低信号,T2 呈高信号,病灶仅累及桥脑中央区,而边缘部分不受累,病灶前方和侧方仅存一薄层脑组织未受累,病灶后缘可延伸到被盖的腹侧。增强后一般无强化,但也可出现强化。
MRI 病变横切位上形态为原形或蝴蝶形,矢状位呈卵圆形,冠状位上呈蝙蝠翼状。



No.5
脱髓鞘性假瘤
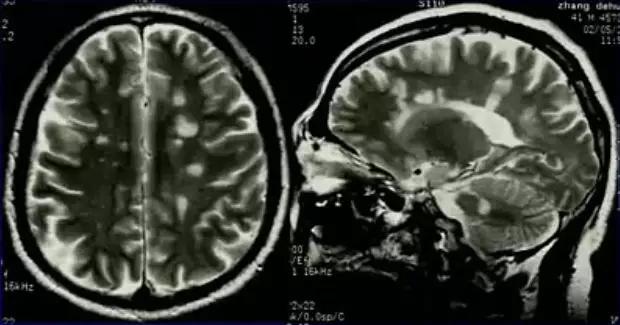
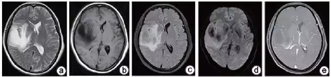
中枢神经脱髓鞘假瘤 DPT 又称为肿瘤样脱髓鞘病变,是一种中枢神经系统脱髓鞘病变。
脑内DPT在影像学上表现不典型,多为单发肿块,水肿较明显,与脑胶质瘤或转移瘤难以鉴别。DPT 治疗与脑内原发肿瘤不同,主要是采用糖皮质激素治疗,而非手术。
DPT 多为单发,偶为多发。发病部位为中枢神经系统任何部位,主要累及皮层下白质。表现为局灶性肿块,形态欠规则,边界不清,周围水肿明显,占位效应明显。病灶信号多较均匀,在 T1WI 上呈不均匀稍低信号,T2WI 上呈高信号,在 DWI 上可呈略低、等或略高信号,少数可合并囊变或出血,上述平扫 MRI 表现与脑内原发性及转移性肿瘤特别是脑胶质细胞肿瘤难以鉴别,容易误诊。在 MRI 增强扫描上,由于 DPT 病灶常破坏血-脑脊液屏障,病灶可出现不同程度强化,其强化表现具有特征性,病灶可呈环形、斑片形、团块形等多种强化方式。其中,最重要的影像学特征为「开环征」与「垂直征」。
病理上,DPT 可见髓鞘大量脱失,轴索保留,大量炎性细胞围绕血管呈「袖套」状浸润。特异的髓鞘染色可显示髓鞘的脱失,轴索染色则可显示轴索相对保留,联合应用可以明确病灶是否为脱髓鞘病变,与弥漫型胶质瘤病相鉴别。
由于 DPT 的 MRI 表现与胶质瘤及转移瘤有很多相似之处,因此,常常发生误诊。增强扫描对于 DPT 与脑肿瘤鉴别有一定价值,DPT 的特征性表现为「开环征」和「垂直征」,尤其是垂直征,对于 DPT 具有很高的提示价值。DPT 主要应与胶质瘤鉴别。低级别胶质瘤强化不明显,高级别胶质瘤强化明显,有明显的坏死、水肿及占位效应,而脱髓鞘性假瘤为开环样强化、轻到中度水肿,且 DPT 水肿有随病程进展而消退的特点。
综上所述,DPT 为一种少见的中枢神经系统脱髓鞘疾病,病变开环状强化或垂直于侧脑室线条状强化为其影像学特征。术前对于 DPT 的准确诊断有助于制定合理的治疗方案,改善预后。

No.5
渗透性脱髓鞘
少见的急性非炎性中枢脱髓鞘性疾病,主要是由于慢性低钠血症时脑细胞已经适应了一种低渗状态,此时一旦给予迅速补钠、血浆渗透压迅速升高造成脑组织脱水而继发脱髓鞘。慢性酒精中毒、营养不良是比较肯定的病因。
来源:影像时间
【版权声明】本平台属公益学习平台,转载系出于传递更多学习信息之目的,且已标明作者和出处,如不希望被传播的老师可与我们联系删除