脾脏是我们人体比较大的免疫器官,占全身淋巴组织总量的25%,含有大量的淋巴细胞和巨噬细胞,是机体细胞免疫和体液免疫的中心。位于左季肋区后外方肋弓深处,前方有胃,后方与左肾、左肾上腺毗邻,下端与结肠脾沟相邻,成年人的脾长约10cm~12cm,宽6cm~8cm,厚3cm~4cm,大致有巴掌那么大,重200克左右,由几条韧带将其"悬挂"在上腹部。在正常状态下一般摸不到脾脏,如果仰卧或右侧卧位能触摸到脾脏边缘,说明脾肿大。
脾脏是一个血供丰富而质脆的实质性器官,尽管有下胸壁、腹壁和膈肌的保护,但外伤*力暴**很容易使其破裂引起内出血。在腹部闭合性损伤中,脾破裂(splenic rupture)居于首位。
脾破裂部位比较多见于脾外侧膈面,也可发生于脾上极、下极或近脾门处。临床表现与破裂的部位、损伤类型及失血的轻重缓急程度有关。以内出血及血液对腹膜引起的刺激为其特征,并常与出血量和血速度密切相关,出血量大而速度快的很快就出现低血容量性休克,伤情十分危急;出血量少而慢者症状轻微,除左上腹轻度疼痛外无其他明显体征,不易诊断,随时间的推移,出血量越来越多,才出现休克前期的表现,继而发生休克,由于血液对腹膜的刺激而有腹痛,衩起在左上腹,慢慢涉及全腹,但仍以左上腹较为明显,同时有腹部压痛,反跳痛和腹肌紧张,有时因血液刺激左侧膈肌而有左肩牵涉痛,深呼吸时这种牵涉痛会加重。
创伤性脾破裂的诊断主要依赖:
①外伤病史
②临床有内出血的表现;
③腹腔诊断性穿刺抽得不凝固血液等。
脾破裂需要及时诊断和抢救,危重患者短时间内可因失血过多而死亡。
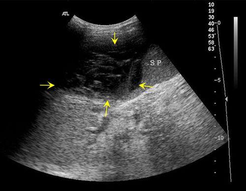
通常情况下,可以用彩色多普勒超声诊断仪来诊断是否发生脾破裂或鉴定脾脏受损程度。这是一种非侵入性检查,较常用,能显示破碎的脾脏,较大的脾包膜下血肿及腹腔内积血。


脾破裂可分为以下三种类型:
①真性脾破裂,破损累及包膜,引起不同程度的出血,即脾周围血肿或游离性腹腔内出血,后者易于导致失血性休克;
②中央型破裂,即破裂发生在脾实质内,引起实质挫伤、实质内多发性小血肿或较大血肿;
③包膜下破裂,引起包膜下血肿。
当前脾破裂的处理原则虽仍以手术为主,但应根据损伤的程度和当时的条件,尽可能采用不同的手术方式,全部或部分地保留脾脏。下列手术方式可根据损伤的具体情况选用:
(一)脾修补术
适用于脾包膜裂伤或线形脾实质裂伤。
(二)部分脾切除术
适用于单纯修补难以止血或受损的脾组织已失去活力,部分脾切除后有半数以上的脾实质能保留者。
(三)全脾切除术
适用于脾脏严重破碎或脾蒂断裂而不适于修补或部分脾切除者。
预防护理
有病理性肿大的脾脏者应尽量避免剧烈的运动,腹部外伤是警惕脾破裂,早期发现预防休克,治疗时坚持尽量保留脾的原则。