牙痛不是病,痛起来要人命!
最近,家医君的一个同事就因为智齿发炎,经常在办公室里喊牙痛。
据她讲,这种痛堪比生孩子的痛,把她折磨得天天吃不下饭、睡不着觉、喝不下水,干不了活儿。天天保持这个姿势不带换的↓↓↓

以前看牙医时,医生曾建议她拔掉。
奈何那时她青春年少,认为这智齿不痛不痒,没必要拔,如今却痛得哭爹喊妈。
而更让她崩溃的是,牙医说她这智齿正处于发炎阶段,得先痛个几天,等到炎症好了才能拔。

听罢,家医君下意识地摸了摸自己的腮帮子,心里窃喜:幸亏我早拔了~
这位同事的痛苦遭遇,让家医君觉得有必要科普一波关于智齿的相关问题了。

我们为什么会长智齿?
从进化的角度看
智齿实为退化的器官。
现代人类由于进食的越来越精细化,导致颌骨慢慢退化,牙床变小,因而无法提供足够的供智齿萌出的空间。
多出的智齿由于萌出空间不足就会出现歪着长,斜着长,横着长甚至倒着长,顶着邻近的臼齿长等情况。

各种长歪的智齿
现代医学上
智齿又被称为“第三磨牙”,从正中的门牙(也叫切牙)往里数刚好是第八颗。
由于它一般在18到25岁之间萌出,而这个年龄期的人正是长智慧、学本领、比较聪明的时期,所以被称之为智齿。

有智齿,拔还是不拔?
智齿该不该拔,还得视情况而定。
不过一般来说,80%的人智齿都需要拔掉。
通常情况下,满足这3个条件的智齿可以考虑保留。
○ 位置比较正,能正常萌出。
○ 智齿周围组织没有发炎和疼痛史,也没有被虫蛀。
○ 有相对应的咬牙。

若是这6种情况的智齿,那就必须拔
○ 被虫蛀
被虫蛀过的智齿很难补,若不及时拔除,则可能导致蛀洞越来越深,伤害口腔健康。
○ 挤压邻牙
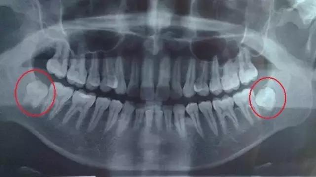
和相邻的恒牙挤着生长的智齿,易致恒牙不易清洁或出现牙齿部分被吸收的现象,造成患者出现牙痛或其它不适感。

这种情况下的智齿,患者不容易感受到,通过X光照射就能很清晰地看见。
○ 有肿胀、疼痛感
若在智齿萌发的时候能感觉到肿胀、疼痛感,拔掉是最好的选择。
○ 阻生智齿
阻生智齿通常都埋在牙槽骨里面,病人长了这种智齿不一定有感觉。
因而非常容易被忽略,但可通过拍X光片诊断出。

如果感觉到痛,或是通过口腔检查和X光片诊断有病灶发生,那就需要拔除。
○ 难以清洁
智齿形态七歪八扭,又长在最里边,刷牙的时候,残留在智齿上的食物残渣就不易被清理掉。
○ 无对牙咬合
不是所有的智齿都是成双成对长的,如果智齿对面没有对牙咬合,就容易出现智齿萌发过度的情况,从而影响咬合,出现不适感。

如果坚持不拔,会有什么危害吗?
有!而且还不小。
尤其是如果你的智齿属于上面所说的这6种情况,不拔简直后患无穷~
引发智齿冠周炎:阻生智齿易与牙冠周围的牙龈形成盲袋,极易积存食物、滋养细菌,当身体抵抗力较弱时,就会引发急性冠周炎,进一步还会造成口腔颌面间隙的感染。

易形成蛀牙:长歪的智齿不易被清洁,容易堆积食物残渣,时间久了易致本身和邻牙形成虫牙,直接破坏牙体组织。
其它变病:阻生智齿还可能形成牙源性颌骨囊肿、骨髓炎、颞颌关节病等。
注意,拔智齿也有禁忌人群
处于月经期、妊娠期前后三个月都是不适合拔牙的。
因为经期拔牙痛感会更强,而且容易引起大出血和感染;妊娠期女性容易因为体内雌性激素分泌增加,身体免疫力和抗感染能力下降而引发智齿冠周炎、骨髓炎、败血症,进而引发流产或早产。
建议备孕的女性在怀孕之前, 最好先到正规医院进行口腔检查,如果存在智齿隐患或其它口腔问题,及早处理才是上策,否则↓↓

此外,患有某些身体疾病的人,如心脏病、高血压、糖尿病等患者要听从医生的指导来决定能否拔牙。
所以要记住,拔智齿前,一定要先跟医生说明你的身体状况,是否处于生理期、妊娠期,是否患有某些疾病等情况。