妊娠期急性脂肪肝(AFLP)是仅发生在妊娠期的严重并发症,发病率低(约1/7000 -1/1 5000),但起病急骤、病情凶险。该病的主要特点是肝细胞在短时间内大量快速脂肪变性,以黄疸、凝血功能障碍和肝功能急剧衰竭为主要临床特征,同时伴有大脑、肾脏、胰腺等多种脏器功能不全。
由于AFLP临床症状与体征都缺乏特异性,确诊十分困难,但如不及时确诊、尽早治疗,患者可因并发多脏器功能衰竭、DIC,危及孕妇和/或胎儿生命。
AFLP的危险因素
AFLP不存在明显的地理或种族倾向,可能危险因素包括:多胎妊娠、男性胎儿、同时患有其他妊娠期肝病(如HELLP综合征、子痫前期)、既往有AFLP病史。
研究表明,胎儿若有下列基因突变,则AFLP的发生率较高:(1)影响脂肪酸氧化的基因发生突变;(2)长链羟基脂酰辅酶A脱氢酶(LCHAD)缺陷。
AFLP的发病机制
中链和长链脂酰辅酶A脱氢酶(MCAD/LCAD)、长链羟基脂酰辅酶A脱氢酶(LCHAD)分别是脂肪酸β氧化循环的第一个和第三个限速酶,如果缺乏这些酶就会导致脂肪酸聚集。
研究表明,若胎儿有脂肪酸氧化缺陷和LCHAD缺乏,则母亲发生肝脏疾病(AFLP或HELLP综合征)的风险增加了18倍。然而,并非所有孕有LCHAD突变婴儿的母亲都会罹患肝病,一些研究人员推测,若母亲为杂合子,其罹患AFLP的风险才会增加,因为她们不能氧化胎儿体内不断增加的长链脂肪酸。这些脂肪酸最终在母亲的肝脏内积聚,使功能受损,最终导致肝功能衰竭。
诊断与鉴别要点
1. AFLP的一般临床特征和Swansea标准
最早23周,年龄、产次、种族对发生风险无关,多胎和男胎更多,发病前数天、数周几乎所有患者出现乏力,75%出现恶心呕吐及类流感症状,43%出现上腹痛,40%出现头痛,37%出现黄疸,30%出现发热,10%出现瘙痒,很快出现黄疸病迅速升高。
AFLP的临床症状为非特异性的,妊娠各阶段都可发病,尤其妊娠晚期。发病前数天、数周几乎所有患者出现乏力,75%出现恶心呕吐及类流感症状,43%出现上腹痛,40%出现头痛,37%出现黄疸,30%出现发热,10%出现瘙痒,很快出现黄疸病迅速升高。
Swansea标准已成为AFLP的诊断工具。具体指标如下表:
表1 Swansea标准的具体指标

氨基转移酶显著升高,以及高胆红素血症是AFLP的典型生化异常表现。肝衰竭的表现有肝功能异常、肝性脑病、凝血异常和低血糖症等。肾功能不全和胰腺炎比较常见。
2. AFLP的影像学特点
肝脏超声可见回声增强。CT检查可见肝密度低于正常(正常时肝密度等于或低于脾)。影像学检查也可无明显异常。有研究显示,即使是使用敏感度优于超声的CT扫描技术,半数AFLP患者仍检测不出异常。Eugene Schiff在其著作《希夫肝脏病学》中提示:临床实践中,不应因这些辅助检查而推迟分娩,尤其重症病例,根据临床资料和常规生化检测资料也可做出诊断。
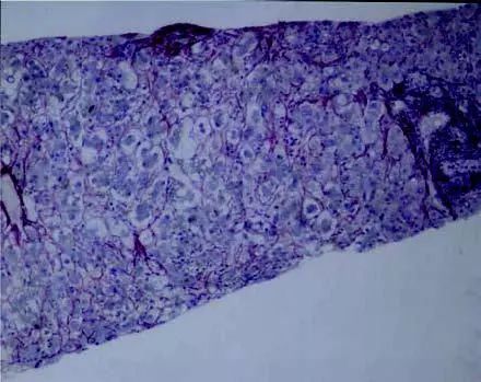
3. AFLP的病理学特征
AFLP的经典病例特征为:肝总体结构未改变,肝细胞内微泡型脂肪浸润、肿胀;细小的脂肪滴围绕细胞核分布,因而胞质呈泡沫状。

图1 一例AFLP患者的病理切片1(来源:见参考文献[3])

图2 一例AFLP患者的病理切片2(来源:见参考文献[3])
虽然肝脏活检是金标准,但由于需要及时治疗,且活检为有创检查,故很少进行活检。
AFLP的治疗原则
2016年美国胃肠病学院(ACG)临床指南建议:
➤ AFLP妇女应及时分娩;观望性处理是不合适的。
➤ 所有发生AFLP的母亲及其孩子均应接受LCHAD分子检测。
➤ 应密切监测AFLP母亲的后代是否有LCHAD缺乏的表现,包括低酮性低血糖症和脂肪肝。
AFLP的治疗原则是迅速分娩和最大限度的支持治疗,保证血容量和正常血糖及电解质平衡,纠正DIC。
自然分娩对于合并凝血功能障碍孕妇,可最大限度的减少创面出血的风险,但分娩过程可能需要较长时间,加重病情。剖宫产能使分娩更快结束,但有可能引起大出血,可根据孕妇和胎儿状况严重程度,做个体化选择。AFLP患者如果不能经阴道迅速分娩,则首选剖宫产,但要在血制品准备充分的条件下进行;其优点是时间段,可减少待产过程中的体力消耗,减轻肝脏、肾脏负担。
其他综合性的抢救措施包括纠正凝血功能障碍、纠正低蛋白血症、纠正电解质、纠正低血糖、维持正常血容量,并预防感染及肝昏迷等并发症。
参考文献:
[1] Joy Liu, at al. Acute Fatty Liver Disease of Pregnancy: Updates in Pathogenesis, Diagnosis, and Management[J]. Am J Gastroenterol 2017; 112:838–846;
[2] Kirsten J Sasaki, at al. Liver Disease and Pregnancy. Medscape. Mar 19, 2018.
[3] Eugene R. Schiff, Willis C. Maddrey. Michael F. Scorell. Schiff’s Diseases of the Liver [M]. 11th ed.2012.
[4] Tran TT, Ahn J, Reau NS. ACG clinical guideline: liver disease and pregnancy. Am J Gastroenterol. 2016 Feb. 111 (2):176-94.
[5] 于乐成, 等. 2016年美国胃肠病学院临床指南:肝脏疾病与妊娠[J]. 临床肝胆病杂. Apr 2016.