#健康解密##健康##健康养生##疾病##脑梗塞#
患者咨询:“医生,脑梗塞来临时,头部到底会有什么不舒服的症状呢?”
我回答:“脑梗塞来临,其实有很多症状的,不只是头部的症状,还有其他部位的不舒服的症状。先来说说头部的症状,头部比较多的症状是头晕,头痛一般不是脑梗塞刚来临的症状,突发的头痛常见于脑出血或蛛网膜下腔出血,这些都是出血性疾病。当然了,当脑梗塞面积特别大,造成脑水肿时,也会出现头痛,但这时候往往不是脑梗刚来临的时候,已经病了几天了。所以说,脑梗塞,刚来临的时候,头部症状最常见的就是头晕”。

突发的头晕
另外,还有哪些症状出现,需要防治脑梗塞,需要立即送去医院就诊呢?科普一下哦。
当急性起病,出现口齿不清、讲不出话(失语)、口角歪斜、口角流涎、偏侧肢体乏力或者偏侧肢体瘫痪、偏侧肢体突发的麻木、突发的头晕、急性起病的舞蹈症、肢体抽搐、急性起病的记忆力减退等症状时均有可能是急性脑血管病,需立即就医,建议直接去医院急诊科就诊,速度最快,千万不要再观察观察了,请记住哦!(为什么当考虑是脑血管病时,需要紧急就医呢?耽误半天,又会怎样呢?更多关于脑梗塞的科普,可以看我的科普文章当身边人出现这些症状时,请一定要赶紧就医哦!(上) 当身边人出现这些症状时,请一定要赶紧就医哦!(下) ,里面有详细的介绍)

口角歪斜

爷爷突发晕倒
说了这么久,你知道脑梗塞吗?脑梗塞与脑出血是一个疾病吗?
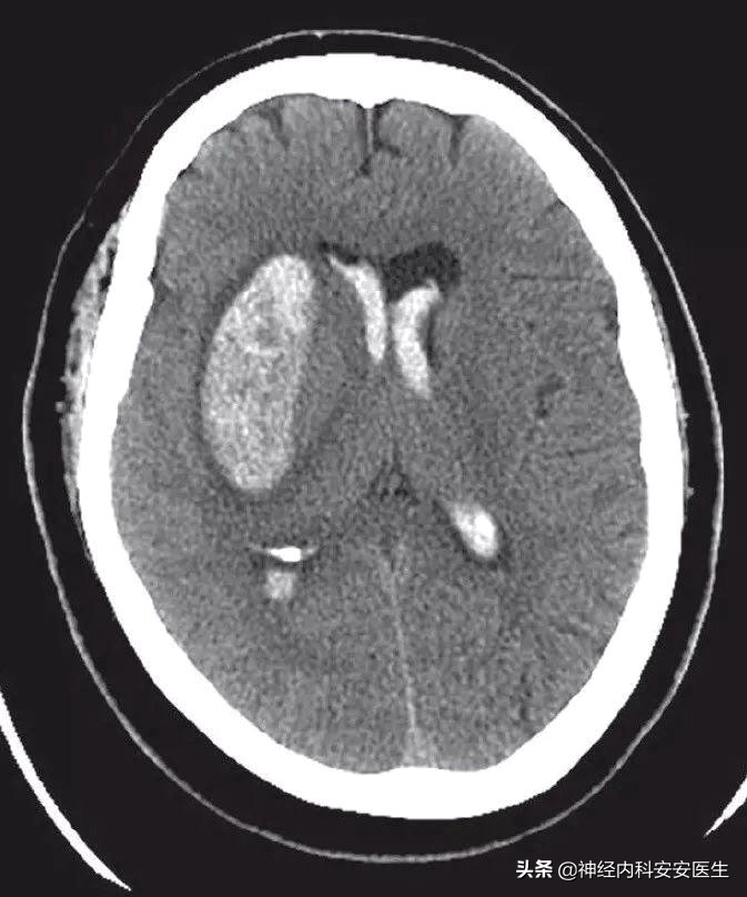
不是哦,脑出血与脑梗塞是两种疾病哦,但是它们都属于急性脑血管病,老百姓也经常会称呼它们“脑卒中”。脑梗塞是指由各种原因引起的脑部血液供应障碍,引起脑缺血、缺氧,从而导致局限性脑组织缺血性坏死或软化,通俗易懂地解释为:脑血管中部分血管被堵住了,血液不流通,导致了症状。脑梗塞多发生于中老年人,其主要的病因包括动脉粥样硬化、高血压、高血脂、高血糖和高同型半胱氨酸血症,各种原因引起的休克和严重低血压,以及某些心脏内的附壁血栓和动脉粥样硬化的斑块脱落也是主要的原因。而脑出血则恰恰相反,脑出血是指脑实质出血,约占全部脑卒中的20%,病死率却达30%-40%(数据仅供参考,因为每年患病情况都会有变动,数值不是固定的)。高血压病是脑出血最常见的病因,其它的病因有动脉瘤、动静脉畸形、脑淀粉样血管病变、血液病、脑肿瘤等等。

脑梗塞与脑出血

此为脑出血的CT片子,脑实质中白色区域为脑出血的地方
脑梗塞危害大吗?为什么有的患者得过脑梗塞,恢复得好好的?有的患者却瘫痪在床?甚至命都没保住呢?
众所周知,脑梗塞是一种高发病率、高致残率、高致死率的疾病,有报道称,我国每12秒有1人发生脑卒中,每21秒有1人死于脑卒中(其中,脑梗塞约占70%-80%,而出血性的脑卒中,即脑出血所占比例不足30%)。到2018年12月,我国现有脑卒中患者1494万人,存活者中80%左右有不同程度功能障碍(数据来源:人民日报,之后最新的数据没有查到)。因此, 脑卒中被称为“人类健康的杀手”。所以,脑卒中危害很大,脑梗塞也是也是危害很大的疾病。

此患者肌力恢复得不错哦
为什么有的患者得过脑梗塞,恢复得好好的?有的患者却瘫痪在床?甚至命都没保住呢?这是因为与他们脑梗塞的具体颅内的部位、脑梗塞面积大小、用药情况、诊治时间、个体身体素质及是否有进一步康复治疗等密切相关的,每位患者的恢复情况都是会有所差异的。所以,当社会上有更多的人了解此病,可以帮助更多的患者,尽早送医、尽早医治、尽可能地减少后遗症,这些都将对患者家庭、对社会带了积极的意义。
以上医学知识分享你都懂了吗?有任何疑问或者感想都欢迎提问哦,我看到后会回复的哈。了解健康知识,以备不时之需。祝你越来越健康,万事如意!

神经内科安安医生
本文由神经内科安安医生原创,欢迎关注,带你一起长知识,同时也期待做你的家庭医生哈。 如果你喜欢的话,麻烦帮忙点赞或转发哦,这是对我的肯定,也可以让更多的朋友受用,谢谢啦哈哈。