扎心了,看到奇点糕在假期发的前两篇文章,小伙伴们会不会有这种感觉?一边是金秋十月的月饼,烧肉,巧克力蛋糕,团圆大餐(不能忍),一边是蹭蹭蹭鼓起来的小肚腩(不能吃),再次看到“减肥”两个字,可能会“胃中一紧”。不过眼下这篇文章终于可以绕过肥胖的百万人研究,给大家带来有关科研前线的“减肥”“捷报”。
首先,还是要两句话回顾一下肥胖的日渐流行和它带来的危害。肥胖,现在已经成为世界性的话题,据世界卫生组织报道,自十九世纪八十年代以来,世界肥胖人数已经翻了一倍以上。同时肥胖是一系列慢性疾病发生的危险因素,比如高血压,2型糖尿病,心血管疾病,甚至癌症[1]。
近日 ,顶级期刊《ACS NANO》报道,美国北卡罗来纳大学和宾夕法尼亚大学的华人科学家与中国科学院长春应用化学研究所的科学家联合,发明了一种神奇的减肥贴片,将这种贴片贴于小鼠的下腹部,成功减掉30%的小鼠脂肪,去除“肥肉”显露了“肌肉”,达到了“想瘦哪里瘦哪里”的减肥的目的,并且小鼠的空腹血糖也有降低[2]。

顾臻教授
这种减肥贴片原理是将*肥药减**物装入纳米颗粒中,再将纳米颗粒放入微针,指甲盖大小的贴片上含有几十个微针,使用时微针插入人的皮下,直接作用于皮下脂肪,纳米颗粒降解,将药物缓缓释放至脂肪组织中,通过药物使皮下白色脂肪转变为棕色脂肪并分解产热,达到减肥的目的。
传统的*肥药减**物多通过减少进食或者促进排泄发挥作用,副作用较大。脂肪转化是近十年来新出现的减肥研究靶点,它是通过将人体内储存甘油三酯的白色脂肪转化为产热的棕色脂肪或“类棕色脂肪”-米色脂肪发挥作用[3]。但是,就像这次发明的合作者李强说的那样,“现有的脂肪转化的药物多通过口服或静脉注射应用,可能会引起腹部不适,反弹(减重后体重又回升),骨折等副作用”。这种新式的减肥贴可能会通过直接作用于皮下脂肪,避免这些副作用的产生。

微针贴片的作用原理
事实上,这次发明的领导者顾臻教授在2015年就曾发明了胰岛素智能贴片,曾被认为“有望终结胰岛素注射治疗”[4,5]。
减肥贴发明过程中用到的纳米技术可能听起来还是有点遥远,纳米本是长度单位,一纳米相当于人的头发丝直径的十万分之一。研究者在实验中所用的纳米颗粒,是通过双乳化法制备的对酸性环境敏感的葡聚糖衍生物,颗粒包裹*肥药减**物罗格列酮,并在其中加入两种酶,以在生理环境的葡萄糖浓度条件下产生酸性环境使颗粒降解,以使药物缓慢释放。
罗格列酮现为常见的糖尿病治疗药物,实验中还用了另一种药物CL316243,CL316243是一种β-3肾上腺素受体激动剂,既往研究发现,这两种药物均有使白色脂肪转化为棕色脂肪的作用[6,7,8,9]。
纳米颗粒制成后直径为250nm,下一步为将它装入微针。微针需要有一定的硬度,才能穿透皮肤,所以通过离心将纳米颗粒装入微针模具的顶部后,需加入基质甲基丙烯酸酯化的透明质酸(m-HA)和交联剂丙烯酰胺等物质。
实验中最终制作完成的微针贴片大小为7*7mm2,微针间距为600um,单个微针为锥形,基底部宽度为300um,高度为800um。

图为微针贴片的微针
减肥贴制作完成后,研究人员先分别将含有两种药物的微针贴片和空白微针贴片贴于健康小鼠下腹部进行实验,每3天更换一次贴片。结果,实验第6天,小鼠下腹部脂肪组织切片检查发现白色脂肪细胞减小并呈现多室性改变,基因检查发现棕色脂肪基因上调,即出现了白色脂肪组织向棕色脂肪组织转变的特征。同时,使用药物贴片的小鼠,氧耗量上升,呼吸交换率(呼出的二氧化碳量/消耗的氧气量)下降,因为氧化脂肪酸比氧化碳水化合物需要更多的氧气(4:3),可见,减肥贴使健康小鼠的脂肪消耗增加,代谢率提高。
这一振奋人心的结果,促使研究人员进一步验证药物微针贴片在肥胖小鼠中的减肥作用。研究人员将高脂饮食诱导的肥胖小鼠分为实验组和对照组。实验组一侧下腹部贴含有药物的微针贴片,另一侧贴不含药物的微针贴片,对照组小鼠两侧下腹部均贴不含药物的微针贴片。每3天更换一次新的贴片,共观察4周。结果发现,贴含有药物微针贴片的实验小鼠体重减少了大约15%。

左图示小鼠两侧下腹部贴不同微针贴的改变,右图横坐标为时间,纵坐标为正常体重百分比,EV:空白微针贴;Rosi:罗格列酮药物微针贴;CL:CL316243药物微针贴
对比实验小鼠微针贴片处皮下脂肪含量,发现实验小鼠中贴有药物微针贴片一侧的白色脂肪组织减少了约30%,而棕色脂肪组织无明显减少。并且在取出小鼠贴有微针贴片处的皮下脂肪后,可以观察到药物微针贴片处局部皮下脂肪垫明显减小(如下右图所示)。可见,药物微针贴片起到了局部减肥的作用。

EV:对照组小鼠空白微针贴;Rosi:罗格列酮药物微针贴;CL:CL316243药物微针贴;EV-R:实验小鼠Rosi对侧空白微针贴;EV-C:实验小鼠CL对侧空白微针贴
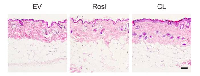
那么这种局部减肥的效果是如何实现的呢?为了验证,研究人员进行了组织切片染色检查,发现药物微针贴片处的小鼠白色脂肪组织细胞明显变小,呈现向棕色脂肪转变的特征,而空白微针贴片处白色脂肪组织则无这种表现。同时基因检查发现微针贴片一侧棕色脂肪基因表达明显上调。这就说明微针贴片中的药物释放至小鼠皮下脂肪层后,使白色脂肪组织发生了向棕色脂肪组织转化的改变,后者进一步代解产热,引起贴片局部脂肪减少和整体体重减轻。
因为微针贴片在使用中需要穿透皮肤的表皮和真皮,达皮下脂肪组织,而皮肤真皮损伤后不易恢复,所以研究者观察了应用微针贴1个月后的皮肤组织切片,发现小鼠微针贴片处周围皮肤无明显损伤。

此外,在研究过程中研究人员向实验小鼠腹腔内注射葡萄糖,结果观察到实验小鼠的葡萄糖清除率增高,空腹血糖下降(对照组小鼠为140mg/dL,实验组小鼠为110mg/dL)。可见,含有药物微针贴片在降低血糖方面也有一定的作用。
目前这项微针贴片技术还没有应用于人体实验,研究者正致力于寻找新的可在贴片中应用的*肥药减**物。但是考虑到顾臻教授的胰岛素智能贴片目前已获融资投入生产,或许,在不远的将来,真的会有一款往肚皮上一贴,就能把我们的“游泳圈”变为“八块腹肌”的神器出现。
科学研究的结果可谓是“喜大普奔”,但是奇点糕在此还是要提醒在假期越吃越嗨的大家,减肥的最佳方法依然是“管住嘴,迈开腿”。
显而易见的是,小伙伴们如果不想肥肉越来越多,最终不得不靠药物减轻体重,就放下手里的汉堡包,开始锻炼吧。

参考资料:
1.http://www.who.int/topics/obesity/en/
2.Yuqi Zhang et al,Locally Induced Adipose Tissue Browning by Microneedle Patch for Obesity Treatment. ACS Nano, 2017.
3.Harms, M et al,Brown and Beige Fat: Development, unction and Therapeutic Potential. Nat. Med. 2013, 19, 1252-1263
4.Yu J, Zhang Y, Ye Y, DiSanto R, Sun W, et al. 2015. Microneedle-array patches loaded with hypoxia-sensitive vesicles provide fast glucose-responsive insulin delivery. Proceedings of the National Academy of Sciences 112:8260-5
5.Ye Y, Yu J, Wang C, Nguyen N-Y, Walker GM, et al. 2016. Microneedles Integrated with Pancreatic Cells and Synthetic Glucose-Signal Amplifiers for Smart Insulin Delivery. Advanced Materials:n/a-n/a
6.Bakopanos E et al, Inhibit the Expression of Beta3-Adrenergic Receptors at a Transcriptional Level. Diabetes 2000, 49, 2108-2115.
7.Cipolletta, D et al, D. PPARγ is a Major Driver of the Accumulation and Phenotype of Adipose Tissue Treg Cells. Nature 2012, 486, 549-553
8.Klein, J et al, β3-Adrenergic Stimulation Differentially Inhibits Insulin Signaling and Decreases Insulin-Induced Glucose Uptake in Brown Adipocytes. J. Biol. Chem. 1999, 274, 34795-34802. 9.Yu, S et al, Paternal versus Maternal Transmission of a Stimulatory G-Protein α Subunit Knockout Produces Opposite Effects on Energy Metabolism. J. Clin. Invest. 2000, 105, 615-623.
