近日,市中心医院东院胃肠外科病区手术团队为一名腹腔肿瘤患者实施腹腔镜腹腔肿瘤切除术,成功切除一例罕见巨大梭形细胞瘤。

1
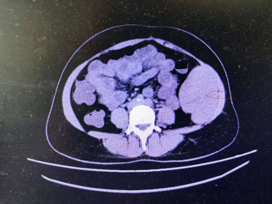
平行CT
2
强化CT,可见肿瘤呈中度强化

成功切除巨大梭形细胞瘤
患者女性,37岁,因“发现左侧腹部包块2月”入院,既往有“剖宫产史”。入院查体可见腹部平坦,下腹部陈旧性手术疤痕,腹软,左侧腹部可触及质硬包块,有压痛、无反跳痛,直径约10*6cm,边界欠清,活动度差。腹部超声示左侧腹腔低回声包块,114*90*54mm,边界尚清,形态欠规则,回声不均匀;腹部CT示左侧中腹部腹腔巨块状软组织密度影,分叶改变,6.4*8.6*9.5cm,腹膜后结构清晰,无肿大淋巴结。入院后行肿瘤标记物及结肠镜等检查结果无明显异常,术前分别请泌尿外科及妇科会诊,基本排除泌尿肿瘤及妇科肿瘤的可能性。
经过充分的术前评估及积极的术前准备,手术团队在全麻下对该患者实施了腹腔镜腹腔肿瘤切除术。术中探查见肿瘤位于腹膜后,延至左侧腹壁,12*6*5cm大小,质硬,包膜完整,肿瘤压迫左侧输尿管及局部肠管,腹壁无转移灶,肝胆胰脾及左侧附件等脏器表面无明显异常。因瘤体体积较大且富含滋养血管,并且与左侧腹壁下血管、左侧腹壁肌肉、左侧输尿管及部分肠管等重要组织解剖关系紧密,所以手术难度及手术风险大大增加。团队在手术过程中配合熟练、胆大仔细,最终成功将巨大瘤体完整切除,术后病理结果示:梭形细胞瘤(肿瘤12×9×6cm),细胞轻度异型,未见核分裂相,结合免疫组化考虑非典型血管纤维瘤,切缘未见癌细胞,CD117阴性。术后1周患者痊愈出院。


梭形细胞瘤主要是以梭形细胞为主,可发生在任何器官或组织,形态学表现可以是癌也可以是瘤,包括上皮性梭形细胞肿瘤、间叶性梭形细胞肿瘤、梭形细胞肉瘤、胃肠道或胃肠道外间质肿瘤等。
供稿:东院胃肠外科病区 田峰
编辑:陈圆
审核:宣传科