大家应该都知道,近些年医院多了一种“拍片子”的方式,叫做核磁共振,价格比以前的X光贵了好几倍。这个核磁共振到底是什么原理呢?今天咱们就来深入的了解一下这只世界上最敏锐的“眼睛”——核磁共振仪。

核磁共振室
核磁共振,全称核磁共振成像技术(英文缩写为MRI),是继X射线、CT之后医学影像学的又一重大进步。
早在1930年,美国物理学家伊西多·艾萨克·拉比就发现在磁场中的原子核会沿磁场方向呈正向或反向有序平行排列,而施加无线电波之后,原子核的自旋方向会发生翻转。

伊西多·艾萨克·拉比
这是人类首次发现原子核、磁场、电磁波射频场之间的相互作用,拉比也因此于1944年获得诺贝尔物理学奖。

1944年诺贝尔物理学奖得主
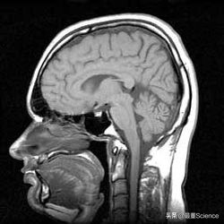
1973年,美国科学家保罗·劳特布尔引进梯度磁场技术,并逐点诱发无线电波,最终获得了世界上第一幅二维的人类大脑核磁共振图像。

人类大脑核磁共振图像
随后英国科学家彼得·曼斯菲尔德进一步验证和改进了这种技术,并发现不均匀磁场的快速变化可以更快地绘制物体内部结构图像。他还证明可以用数学方法分析获得的数据,为利用计算机快速绘制图像奠定了基础。

彼得·曼斯菲尔德
在以上二人成果的基础上,世界上第一台医用核磁共振成像仪于1980年问世。因在人类健康领域的突出贡献,二人共同获得了2003年度的诺贝尔生理学或医学奖。

彼得·曼斯菲尔德和保罗·劳特布尔
那么核磁共振是如何发生的呢?
大家都知道物质是由分子组成的,分子又由原子组成,原子又包括原子核、电子。

原子结构图
近代量子学发现,原子核、电子和地球一样,也存在自转现象。

电子围绕原子核高速运动
根据圆周运动规律,围绕一个定点或轴线旋转的物体都具有角动量,并遵循角动量守恒定律。自转而做圆周运动的原子核也同样拥有角动量。

角动量
原子核的自旋角动量具体数值由其自旋量子数决定。在量子力学中,任何体系的角动量都是量子化的,质子是自旋为1/2的粒子。具体原因我实在表达不好,量子力学太难了···总之原子核在自转,像其他自转的物体,比如陀螺,一样拥有角动量,但这个角动量太小了,要用微观世界的量子力学计算。

原子核自旋方向
上期文章中我们了解了电生磁原理,由于原子核携带正电荷,当原子核自旋时,会产生一个磁矩(可以理解为磁场),这一磁矩的方向与原子核的自旋方向相同,大小与原子核的自旋角动量成正比。

磁矩的计算
将原子核置于外加磁场中,若原子核磁矩与外加磁场方向不同,则原子核磁矩会绕外磁场方向旋转,就好像旋转的陀螺被外力给推歪了。

原子核在外磁场中的运动
这时,我们再向在磁场中运动的原子核发射电磁波,在射频脉冲作用下原子核就会发生能级跃迁。

能级跃迁
射频脉冲突然消失后,原子核的能级会恢复到之前的状态。这时,原子核就会以光(电磁波)的形式释放出一道逐渐衰减的能量。我们常说的核辐射就是这个原理。

原子核辐射
整个过程用一个形象的例子比喻一下就是:原子核好比静止的琴弦,电磁波就好像我们的手指,我们用手指拨动一下琴弦,就像电磁波照射了一下在磁场中运动的原子核后很快消失,这个时候琴弦会振动发出一阵逐渐减弱的响声,就类似原子核释放出的逐渐衰减的能量。

琴弦震动慢动作视频
这股被释放出的能量即可作为信号被探测到,但信号是衰减的,导致探测到的信号也是衰减的,这种信号被称为自由感应衰减(FID)信号。

由感应衰减(FID)信号
这种信号并没有实际意义,但过傅利叶变换,FID信号可以被转变为有意义的光谱,经过计算机再进行复杂的数学计算处理,最终结果打印出来就成为了肉眼可见的核磁共振光片。

傅利叶变换

核磁共振光片
临床医学检查中使用的核磁振仪的原理便是如此。将人体置于磁场中,用无线电射频脉冲激发人体内含量最多的物质——水的氢原子核,引起氢原子核共振,并吸收能量。在停止射频脉冲后,氢原子核按特定频率发出射电信号,并将吸收的能量释放出来。探测器接收信号,经计算机处理获得图像。

病人做核磁检查
通过整篇文章的叙述,相信大家也消除了另外一个疑惑:拍核磁有辐射吗?
很显然,没有。因为该方法只是测量人体自身身体中的氢原子核共振产生的电磁波,而不是像X光一样通过核物质辐射射线来穿透身体组织。核磁共振成像技术的最大优点就是能够在对身体没有损害的前提下,快速地获得患者身体内部结构的高精确度立体图像。

X光机
其实,为了避免人们把这种技术误解为核技术,科学家早已把核磁共振成像技术的“核”字去掉,称为其为“磁共振成像技术”,英文缩写即MRI。 但大家已经叫习惯了,生活中仍然将其称为拍核磁。

拍核磁
今天的内容就到这里,敬请期待下期,带你领略核磁共振仪内部的精密与复杂,详细讲述其制造难度,并解答拍核磁为什么价格那么高的问题。