患者沈**,女,60岁,
【 主诉 】
反复咳嗽1月余,加重伴发热10天。
入院时间: 2015-03-09
【 现病史 】
患者1月前受凉下出现咳嗽咳痰,痰不易咳出,无畏寒发热,无胸闷气急,无胸痛心悸等不适。自服相关药物后咳嗽略有好转10天前患者咳嗽咳痰加重,痰色白量多,伴发热,最高体温达39℃,无畏寒寒战,伴胸闷气急,遂至当地医院就诊。查血常规+CRP:WBC 1.8*10^9/L,N 25.5%,CRP 3.1mg/L。胸部CT:两下肺感染性病变,左侧明显,左下空洞样改变。药物治疗后,体温降至正常后又上升,常晚间发热,体温在37.5℃-38.5℃之间,建议其转上级医院就诊。遂来我院门诊,复查血常规:WBC3.0*10^9/L,N55.5%,L33.7%,Hb137g/L,PLT123*10^9/L。予可乐必妥片抗感染,百服宁降温,苏黄止咳胶囊镇咳。患者仍有咳嗽咳痰,无畏寒发热,无胸闷气急。
【 既往史 】
1989年在当地医院行乳腺纤维瘤切除术。2004年在当地医院行卵巢囊肿剥除术。无高血压史、糖尿病史、心脏病史、肾病史;无肺结核史、病毒性肝炎史、其他传染病史;否认食物药物过敏史;无外伤史;无输血史;无中毒史;
【 体格检查 】
T:37.1℃P: 83次/分R: 20次/分BP:143/93mmHg。
神志清,皮肤巩膜无黄染,浅表淋巴结未及肿大,气管居中,胸廓无畸形,双肺呼吸音粗,未闻及明显干湿性罗音,心律齐,各瓣膜区未及病理性杂音,腹平软,下腹部有一长约175px的手术疤痕,无压痛及反跳痛,肝脾肋下未及,双下肢无水肿,神经系统查体阴性。
【 辅助检查 】
( 2015-03-10 ):
血气分析、风湿全套、凝血功能、甲状腺功能、输血四项、尿常规、血生化、血沉、肿瘤标记物无异常。血常规:白细胞计数 4.0×10E9/L,中性粒细胞(%) 51.3%,血红蛋白 134g/L,血小板计数 204×10E9/L。门诊痰培养提示黄曲霉菌。
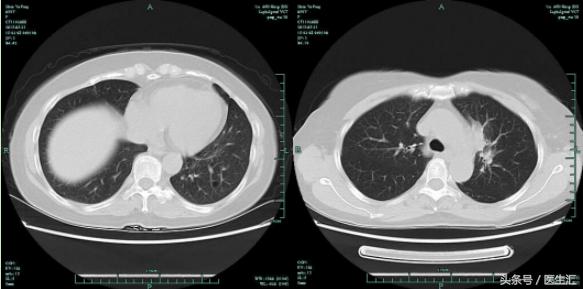
3月5日CT

抗核抗体:阴性。MPO、PR3:正常。P-ANCA 弱阳性。
结核感染T细胞检测(TSPOT):MTB抗原ESAT-6 0,MTB抗原CFP-10 0,结论:阴性。
查结核菌涂片检查(灌洗液):未找到抗酸杆菌。
查结核菌涂片检查(毛刷涂片):未找到抗酸杆菌。辅助检查(03-13)
血G试验(<50)、GM试验(0.27)均阴性,肺泡灌洗液GM试验:8.05。
查流感病毒B型RNA检测(痰)+甲型流感病毒筛查及分型:流感病毒A型RNA测定:阴性,新H1N1流感病毒RNA测定:阴性,流感病毒B型RNA测定:阳性,季节性H3N2流感病毒RNA测定:阴性,H7N9流感病毒RNA测定:阴性,季节性H1N1流感病毒RNA测定:阴性。
一般细菌涂片检查(痰):细菌培养阴性结果。
入院后的体温变化及治疗

当时首先考虑病毒感染合并曲霉菌感染,并不复杂 ·
【 接下去的进一步检查 】
辅助检查(03-14):培养及鉴定(灌洗液):烟曲霉菌 。培养及鉴定(毛刷):烟曲霉菌 。一般细菌培养及鉴定(痰):正常菌群生长 。辅助检查(03-16):查流感病毒B型RNA检测(痰): 阳性 。T细胞亚群(CD3/4/8/56)检测(传研所):NK4.2。 血常规:白细胞计数 4.3×10E9/L,中性粒细胞(%) 40.7%,红细胞计数 4.10×10E12/L,血红蛋白 126g/L,血小板计数 231×10E9/L。辅助检查(3-21):生化:正常 。血常规:白细胞计数 4.6×10E9/L,中性粒细胞(%) 53.3%,嗜酸性粒细胞(%) 6.6%,血红蛋白 124g/L,血小板计数 179×10E9/L。 超敏C反应蛋白 1.40mg/L。流感病毒B型RNA检测(痰):流感病毒B型RNA测定 阴性 。体温正常,症状好转后出院。
第一次的住院到此为止。
2015-4-24再次入院:
这次的住院目的其实是为了配药,住院配伏立康唑。住院后发现出现低热

2015-05-02查血常规:白细胞计数 4.3×10E9/L,中性粒细胞(%) 63.6%。 超敏C反应蛋白 25.10mg/L。拜复乐治疗后体温正常出院。
2015-5-21因发热再次入院(第3次住院)

05-21CT:

CT出现左上肺病灶
辅助检查( 5-22 ):
血常规:白细胞计数 7.0×10E9/L,中性粒细胞(%) 60.0%,嗜酸性粒细胞(%) 5.8%。血沉 49mm/1小时。超敏C反应蛋白 48.20mg/L。一般细菌培养及鉴定(痰):正常菌群生长
凝血功能常规检查+D-二聚体、肝肾脂糖电解质测定。尿常规、粪便常规、肿瘤标记物均正常。T细胞亚群(CD3/4/8/56):CD3 89.4,CD4 61.6,NK 5.1。 P-ANCA 阴性,C-ANCA 阴性。结核菌涂片检查:未找到抗酸杆菌 。 结核感染T细胞检测(TSPOT):MTB抗原ESAT-6 >20,MTB抗原CFP-10 >20,TSPOT结论 阳性。(非常关键,TSPOT从原来的阴性转为阳性)
5-26 超声支气管管镜检查。(左上前段纤支镜活检)粘膜慢性炎(左上前支EBUS)粘膜慢性炎伴脓性坏死。 左上前段纤支镜活检粘膜慢性炎(左上前支EBUS)粘膜慢性炎伴脓性坏死 。补充报告: 2015-06-01(左上前支EBUS)粘膜慢性炎伴脓性坏死,结合特殊染色抗酸染色(+)结果可符合结核 。
【 最终诊断 】
继发性肺结核
给予加用抗结核治疗HRZE异烟肼+利福平+吡嗪酰胺+乙胺丁醇(2个月)+HR(4个月)
注:本病例的特殊之处是基础有病毒感染和曲霉感染,但在治疗过程中又出现了结核感染,感染病原体相对比较复杂