
【据《Gastrointetest Endosc》2017年7月报道】题:十二指肠和直肠内镜下肌活检:一项肌间神经猪模型生存研究(作者Rajan E等)
来源 | 医学界消化频道
作者 | 刘小六
我们对胃肠动力疾病如功能性胃肠病、假性小肠梗阻和慢传输型便秘等的认识仍有巨大空白,很大程度上是因为很难获得胃肠道肌组织病理。现有的病理分析样本多来自外科手术切除标本,而很少有动力性疾病患者需要手术治疗,这大大限制了我们对动力疾病的研究。
美国梅奥医学中心内镜科医师Rajan E等,去年9月在《Gastrointetest Endosc》杂志上发表的一篇文章,报道了3例先天性胃轻瘫患者在梅奥医学中心通过一种新型内镜下肌肉活检技术,成功获得胃肌层样本。但小肠和结肠肌肉组织样本仍需要外科手术获得。为了探索小肠与结肠肌组织内镜下取材的可行性,Rajan E等近期在猪模型中进行了一系列新研究,尝试通过非侵入性检查获得固有肌层(muscularis propria,MP)标本,分析组织细胞类型及肌间神经状态。
该研究选取5只40 kg猪行内镜肌活检。每头猪都行内镜下十二指肠肌活检(duodenal endoscopic muscle,dEMB)和内镜直肠肌活检(rectal endoscopic muscle biopsy,rEMB)。十二指肠壁非常薄,dEMB选用单侧Padlock Clip(图1)辅助切除技术。Padlock Clip内径11 mm(图2),帽深10 mm。选取十二指肠横部侧壁,将十二指肠组织吸进帽夹内,十二指肠壁形成假息肉样,随后用电凝圈套器将其切除。切除创面约5 mm,以确保创面无穿孔。因此该技术也称为“无洞”dEMB(图3-A、B)。根据前期胃MP的研究,Rajan E等认为rEMB需要用Padlock Clip双切辅助技术。选取直肠中段,即距肛缘5-10 cm间。先行EMR绷带结扎切除黏膜层,暴露下部肌层(图4-A、B)。随后用Padlock Clip将组织吸进帽夹,展开帽夹用电凝切除MP形成的假息肉。用一种蛋白基因产物(PGP)抗体9.5检测样本是否有肌间神经。实验动物保证存活2周,之后再行胃镜及尸检。

图1 星形广面环夹(over-the-scope)。

图2 内镜下可见星形环夹直径11 mm。

图3-A 内镜可见十二指肠壁假息肉形成。

图3-B dEMB术后即刻图像。

图4-A EMR用绷带结扎方法暴露直肠肌层(箭头处)。

图4-B 内镜切除直肠肌层形成的假息肉。

图5 切除的十二指肠壁。
所有动物dEMB和rEMB 操作过程都顺利,使用这种“无洞”(夹闭随后切除)方法未出现并发症。dEMB和rEMB 平均操作时间23.7±2.5分钟和13.25±2.8分钟。十二指肠壁全层切除长度13.25±4.3 mm(图5),直肠12.5±1.7 mm(图6)。样本HE染色(图7-A、B),用PGP 9.5确认样本有无MP,测量样本外部长度,观察肌层及肌间神经(8-A、B)。所有动物临床观察期均无并发症出现。2周后重复胃镜可见dEMB 创面完全愈合,未见溃疡面。尸检也未见穿孔,也未见dEMB和rEMB创面局部形成包块或脓肿。
从这项猪模型研究我们看到dEMB和rEMB在技术上是可行的,可重复且安全。不仅能获得足够的MP样,还能观察肌间神经。这是一项巨大的进步,使胃肠道动力疾病的研究从临床诊断进入分子病理诊断时代。

图6 切除的直肠壁。

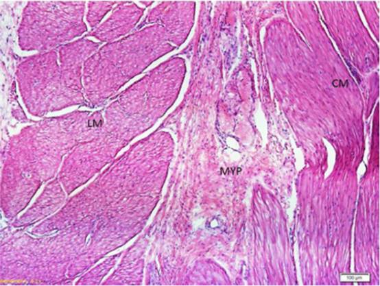
图7-A 十二指肠HE染色(10X):可见十二指肠内层环肌(CM),外层纵肌(LM)和肌间神经束(MYP)。

图7-B 直肠HE染色(10X):可见直肠内层环肌(CM),外层纵肌(LM)和肌间神经束(MYP)。

图8-A 蛋白基因抗体(PGP)9.5(10X)免疫组化:十二指肠内侧环形肌(CM),外侧纵行肌(LM)和肌间神经束(MYP)。

图8-B 蛋白基因抗体(PGP)9.5(10X)免疫组化:直肠内侧环形肌(CM),外侧纵行肌(LM)和肌间神经束(MYP)。