X线检查前,真的需要脱衣服吗?
没错,许多情况下是要脱的!我有两句顺口溜是这样写的:“要拍'写真'请轻装,别帮病魔影下藏!”
看过前面的章节,我们已经很清楚,X线检查(透视、摄片等)是利用穿过人体后的剩余射线来成像的。人体内的器官组织或病变就是因为阻挡了部分X线,从而可被观察到它们的阴影。
同样的道理,体外的其他物体(包括衣服及其上面的装饰品),也会阻挡部分X线,也是会形成阴影的。这些阴影并不是体内的器官或病变造成的,只是一些假象,所以我们将其称为“伪影”。为了避免这些伪影对病变观察的干扰,就有必要去除他们,落实到医疗行为中就是常常让病人“脱衣服”了!

本人最近主编的科普著作,包含着更多的相关内容
为什么是许多情况下要脱,而不是所有情况?
难道说,可以根据病人的要求,可脱可不脱?
哈哈,别急!作为专业人员,我尽量要说得严谨些,可不敢信口开河啊!听我解释:
其实,“照X光”并不像我们拍风景纪念照时动不动就“照个全身”,而是照“局部特写”。如果拍片时,衣服并不在检查视野内,那当然就不必脱了。
打个比方,如果只是手指被切了一刀,或者是踝部扭了一下,要照片看看指骨或踝关节有无骨折、脱位,那是没有必要脱衣服的。
相反,如果衣服对要拍照的部位有阻挡,而且更可能影响病变的观察时,就应该脱了它。所以说,要“照X光”了,是不是要脱衣服,可不能根据病人的要求来定,而是应该根据拍照的需要来定的!
那拍胸片就一定要脱衣服吗?
其实也不尽然。
我们已经知道,医学上应用的X线并不是“无坚不摧”的,是可以被阻挡的。在人体内,阻挡X线能力最强的是骨头,我们称其为高密度物质;肝、脾、肾、肌肉等软组织以及血液和水等的阻挡能力中等,我们称其为中等密度物质,在体内的分布是最广泛的;而肺或肠道内的空气阻挡能力最弱,我们则称其为低密度物质。皮下及其它部位的脂肪密度较一般的软组织低,但比空气的密度稍高。这些不同密度的器官组织,相互衬托,形成明显对比,就能够被显示出来。
胸部常规是被衣服遮盖的,相信没有人任性地裸着上身进来拍片的吧?按常理,似乎应该要脱掉那些衣服是吧?
其实,如果这些衣服是棉质、丝质等轻薄的衣服,是不必要脱的,因为它们阻挡X线的能力太弱,可以忽略不计。然而,如果放射科的技师们发现你穿着厚重的衣服,那就肯定会让你去脱掉的,因为这些衣服或多或少都会带有阻挡X线的东西,就有可能被误认为是病变。
所以,各位清楚了吧?到医院照X光前建议先换好轻便的衣服(住院病人只需穿好病员服),这样就不必脱衣服了,自然会加快流程,方便很多呢!如果是冬天,换好里面的衣服,外面穿着保暖易脱的羽绒服之类的就很好,可不要穿着“里三层、外三层”的紧身衣服,耽误人家的时间、误了排队的其他患者总是不好的哟!
竟然还要脱内衣?耍流氓吧?
其实还真有可能。
有的受检者穿着的内衣很特别,上面的金属饰物可能比一般人的外衣还要多!对于这样的内衣,如果不脱,势必影响器官和病灶的显示。坚持不脱,势必造成病变的漏诊或误诊,医生、技师都脱不了责任,同时也不是患者所希望看到的结果吧?
所以,不要扭捏,该脱的,就赶紧脱了吧!因为在扭捏中,时间耽误久了,外面等候的患者还会对放射科技师不满的。
还是上面的答案,建议先在家里换好轻便的衣服才来医院就诊为好。当然,如果是临时没有机会换好衣服才来看病的,倒也不必担心,因为X线检查室内是设置有更衣间的。你有权要求异性技师暂时回避(如果你认为涉及隐私,同性也可要求回避),换好衣服再接受检查吧!如果真有技师拒绝你的回避要求,并动手为异性患者更衣,那他真的就有耍流氓之嫌了!

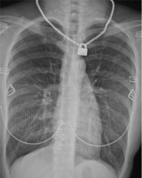
可见患者所戴的项链、吊坠、胸罩金属环、条纹状编织物和带扣影像。
耳环、项链、腰带等都要去除掉吗?
是否要去除掉这些东西,应该根据拍片的部位来定。
如果它们在拍片的范围内,那是一定要去除的。其目的就是不要让这些无关的东西阻挡X线的穿透。要知道,金属物质阻挡X线的能力比体内最强的骨头还要强上许多倍!
除了更衣、除去饰物外,还应尽量除去身体上所有可能造成伪影的无关物品。比如,身上贴有药膏,应该予以去除,当然非检查部位的除外。
还需注意钥匙、钱包等,如果与检查部位重叠,也应该预先予以去除。
有些情况下,长发发辫、发夹等也可能与检查部位相重叠而形成伪影,同样需要作好妥善处理。
为什么一定要摆成不太舒服的位置?
放射科技师在为患者照片时,有时也很为难。特别是遇到外伤骨折的患者,动一下就很痛,有时还在出血,也于心不忍。但为了清晰地显示伤情或病灶,不得已,还是要将患者摆成他并不舒服的状态。
然而,这也引起一些患者的不满,很不愿意配合。说:“X线不是能穿透人体吗?为什么就一定要这样摆位置?”
殊不知,X线虽然能够穿透人体,但内部结构却是重叠显示的!照片的标准位置已经是几代人长期实践的成果了,不按标准位置投照,不那么明显的伤情或病灶就可能被掩盖而漏诊。
而对于“胡乱照一下”都能够发现的骨折和脱位来说,按照标准位置进行准确摆位,也便于观察其移位情况并进行精确测量,以利于指导骨科医生准确复位,促进骨折的愈合。如果没有这种“标准意识”,真的都是“胡乱照一下”,骨科医生就很难准确复位。
你可以设想一下:“伤筋动骨100天”后,你又回到了熟悉的工作环境,然而,大家都发现你走路的姿势“怎么就那么不自然?”再查一下,原来是骨折的对位并不理想,有些偏曲了。这时怎么办?是一辈子这么将就算了,还是截断骨头重新接过?
因此,我想,“长痛不如短痛”,拍片时还是争取配合一下为好。当然,骨科医生应该在照片前对骨折处进行一些必要的固定,放射科技师也应该利用一些器具协助,或者结合调整机器的投照角度等,以将患者的痛苦降到最低。
X线摄片时,站着、坐着或躺着照不一样吗?
一般说来,能够躺着拍摄的,肯定是躺着照为好,因为这时患者比较舒适和放松,又不容易因患者的晃动造成影像模糊,医患“双赢”的事,技师们一定会干的,用不着担心。如果有谁偏偏不这么干,岂不是“犯傻”?
然而,有些情况下却又必须“干傻事”,即一定要求站着照。哪怕是自己站着有困难的,也得要求亲友帮助;即便是极力搀扶着,还得坚持站着照。个别情况下,也有可能做个妥协——坐着照。
例如,怀疑胃肠道穿孔时,就应该站着摄片。这是因为胃肠道穿孔后,空气就会从这个破裂的“孔”中“跑”出胃肠道;站着摄片时,由于气体轻,会向腹部的最上方跑,从而积聚在胸腹部交界处的膈肌下;医生们就可以根据在膈下看到“新月状”气体影(见下图)做出诊断,而如果是躺着照的卧位腹部平片就发现不了。

膈下新月状气体影(白箭)提示胃肠道穿孔。如果是躺着照,是显不出来的
再比如,怀疑气胸或胸腔积液,也应该拍摄站立位胸部片。因为气体轻而向上,液体重而向下,站立位才可以比较容易看出气胸或胸腔积液的有无及其量的多少,而躺着照就难以进行评估。当然,一般而言,胸部摄片都应该争取站着照,因为躺着照时,膈肌会上抬,肺部展不开,心脏形态位置也会有变,不利于胸部病变的显示。
其实还有更多的情况,如怀疑肠梗阻、判断脊柱侧弯、了解关节负重状态等等,都需要“站着照”。要明白,医生技师们如果请您“受点累”,肯定不是想难为您,也不是“犯傻”,而是真的需要。
还有哪些需要注意配合的事项?
有些检查需要遵照医嘱,做好检查前的准备。例如,胃肠道“钡餐”检查前,应在前一天晚上开始禁食、禁水,第二天上午空腹进行检查;“钡灌肠”检查应提前至少6小时以上口服缓泻剂,尽量排空肠道内容物,并禁食。
拍腹部平片诊断结石时,最好也提前做好肠道准备,以免干扰结石的显示。子宫输卵管造影检查,则需要安排在月经干净后3~7天内进行,而且应事先做好妇检、白带检查,并做好阴道灌洗消毒才行,以免发生感染。
检查过程中,应听从医技人员的安排或指令,配合做一些姿势或动作,如深吸气下屏气、反叉腰、高举手、翻转身体、立卧姿转换、负重站立等,以达成不同的检查目的。
此外,做好非照射部位的辐射防护也很重要。如果是妊娠、备孕及哺乳期患者,应提前告知医生,以便医生合理选择检查方法,尽量避免有辐射的检查,并做好必要的防护。
还有一点也非常重要,那就是注意安全。特别是造影检查,含碘对比剂有发生过敏等不良反应的可能,对医技人员的询问应据实回答,不要隐瞒。
配合照好了X光,诊断就一定会明确吗?
如果各位能够按照我上面说的这些配合好,自然有利于获得诊断依据,甚至有可能获得了诊断的“金标准”呢!比如说,看到骨折、关节脱位等等。
然而,并不是每一次X线检查都能确诊病变,有些情况下还会出现误诊和漏诊。为什么会这样?请看下一节介绍吧!