概述
矽肺又称硅肺,是尘肺中最为常见的一种类型,是由于长期吸入大量游离二氧化硅粉尘所引起,以肺部广泛的结节性纤维化为主的疾病。
病理
病理上矽肺的表现为层状结缔组织构成的小叶中心型、支气管血管周围结节,结节直径约1~10mm,散在性弥漫分布于全肺,但以上叶和肺门旁区数量最多。结节周围常见局灶性肺气肿。
临床表现
主要症状:咳嗽、咯痰、胸闷、气短、心悸、胸痛、并随着病情的进展,上述症状加重。
体征:早期矽肺患者无特殊体征,随着病情的进展,可逐步出现干性罗音、喘鸣音,如合并感染还可出现湿性罗音。肺气肿 — 桶状胸,呼吸音减弱,如并发肺心病,则出现相应的体征。
影像表现
X线
单纯矽肺边缘清楚的小结节,直径常为2~5mm,但其范围常为1~10mm,主要累及上肺部和后肺。
复杂性矽肺可见大阴影,常发生在上肺部的中外带,并向肺门移动,在融合性肿块与胸膜间留下气肿的间隙。肿块可发生坏死形成空洞。
肺纹理改变:早期肺纹理增多、增粗,分支交叉,形成网状,晚期肺气肿加剧,肺纹理减少。
矽结节及其融合:矽结节表现为直径约3mm,边界清晰,致密孤立的结节,进展后融合成均匀致密团块,即大结节。常见于两肺上野外带。
肺门改变:肺门增大,密度增高。肺门淋巴结蛋壳样钙化。
肺气肿:弥漫性或局限性
胸膜改变:肋膈角变钝,胸膜增厚。
矽肺合并结核:肺尖或锁骨上下区
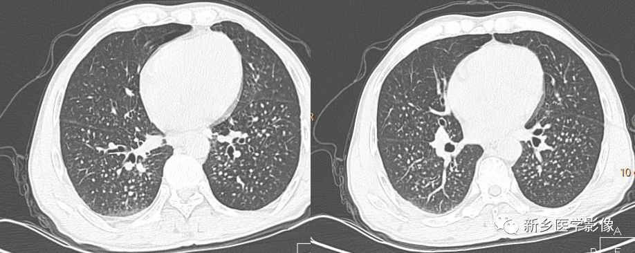
CT
小结节,直径2-5mm,边缘清楚或不清楚,小叶中心性和胸膜下
网状影不明显
弥漫分布,以上叶和后部为主
融合团块,形态不规则,含坏死区
局灶性小叶中心性肺气肿
不规则型或瘢痕型肺气肿
淋巴结肿大和钙化


《尘肺病诊断标准》(GBZ70—2002)
根据小阴影的密集度和累及范围、大阴影占肺野的面积进行诊断。
(1)无尘肺(O)
O:X射线胸片无尘肺表现。
O+:胸片表现尚不够诊断为I者。
(2)一期尘肺(Ⅰ)
Ⅰ:有总体密集度1级的小阴影,分布范围至少达到两个肺区。
Ⅰ+:有总体密集度1级的小阴影,分布范围超过4个肺区或有总体密集度2级的小阴影,分布范围达到4个肺区。
(3)二期尘肺(Ⅱ)
Ⅱ:有总体密集度2级的小阴影,分布范围超过4个肺区;或有总体密集度3级的小阴影,分布范围达到4个肺区。
Ⅱ+:有密集度3级的小阴影,分布范围超过4个肺区;或有小阴影聚集;或有大阴影,但尚不够诊断为Ⅲ者。
(4)三期尘肺(Ⅲ)
Ⅲ:有大阴影出现,其长径不小于20mm,短径不小于10mm。
Ⅲ+:单个大阴影的面积或多个大阴影面积的总和超过右上肺区面积者。
并发症
1.肺结核
是矽肺常见的严重并发症,高达20%~50%,并且随着矽肺病期的进展而增加,I-II期并发肺结核为10%~30%,III期达50%~90%以上。矽肺直接死因中肺结核占45%。矽肺并发肺结核时,会相互促进,加速恶化。常出现发热等毒性症状,咯血是症状之一。痰中可找到结核菌。
2.肺部感染
是矽肺最常见的并发症,可促进矽肺发展,诱发呼吸衰竭和死亡。因此,应积极预防和治疗呼吸道感染,尤其对晚期矽肺具有重要意义。
3.慢性支气管炎及阻塞性肺气肿
长期吸入粉尘使支气管纤毛上皮受到损伤。肺弥散性结节纤维化,使支气管狭窄、引流不畅、易发生感染,并发慢支和肺心病,严重感染时可诱发呼吸衰竭和右心衰竭。
4.自发性气胸
多见于并发肺气肿和肺大疱的患者,尤其是晚期矽肺患者。肺部感染、剧咳、用力为常见诱因。常见的症状为突然呼吸困难加重伴胸痛,也可以无症状。矽肺并发气胸复发率高,局限性气胸多见,体征不典型。因肺组织和胸膜纤维化。破口较难愈合,气体吸收缓慢。