我们在矫正的时候,都会遇到拔牙的问题,拔牙可能会导致面部过于凹陷,但是不拔牙又可能会使牙齿内收不明显
一个负责的正畸医生,是会丛美观的角度来考虑拔牙后对患者面型的影响
牙齿的排列是跟脸颊和唇部的软组织和息肉息息相关的,牙齿的变化当然也会引起脸型的变化

如果患者的面中部丰满度不足,或者鼻唇沟(鼻唇沟纹也称法令纹)较深,那么牙齿不是重度拥挤,会考虑不拔牙进行矫正,可能采取磨牙远移的方式来获得足够间隙排齐牙齿。因为若是拔牙,则可能导致凹面型,不美观容易显老。

这两位美女,哪个感觉更年轻一点?
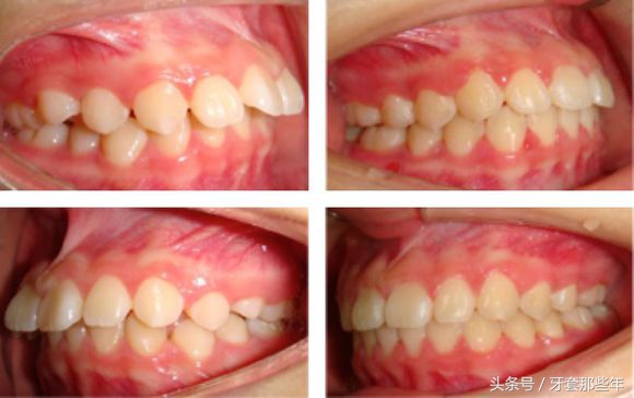
治疗前
这名女孩是典型的龅牙案例,面中部丰满度不够,鼻唇角过小、颏唇沟过深。

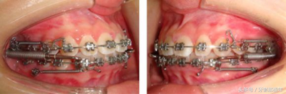
打了骨钉,用金属托槽进行矫正

治疗后,面形不再显得凸起,唇部形态得到了极大的改善


各位小伙伴,你们矫正是否拔牙了呢,现在面部恢复的怎么样,大家都来交流一下~
本文素材为作者网络搜集,如有侵权,请联系作者删除