牙齿问题几乎是每个人都遇到的!
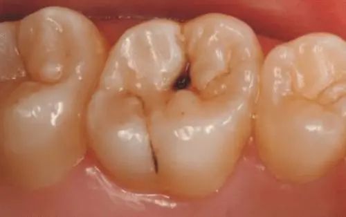
牙齿蛀了一个洞,时不时“作妖”疼几下;
嘴里老有味儿,不敢跟人面对面交流;
牙龈经常莫名其妙的出血红肿,吃个苹果还有一道血印;
吃肉就塞牙,牙签都挑不干净!
……

如果做一个身体上“看起来干净,实际上脏到不行”的黑榜排名,牙齿绝对是榜上有名,并且名列前茅。

明明每天早晚都刷牙,甚至还买了上百元的进口牙膏,为什么牙齿问题还是一大堆?
其实,这是你对牙齿的清洁不够彻底!

问了医生才知道,日常刷牙其实根本不能完全清洁牙齿,用牙刷刷牙,清洁的只能是牙齿表面的污渍,但牙缝、牙内侧、牙龈下仍然淤积了不少残渣。

长期清理不干净的食物残渣,会像剩酸奶一样发酵,慢慢就会产生牙菌斑,它们就是牙齿、口腔问题的根源。

如果长期不根除,除了会引发牙龈红肿出血,加重口腔溃疡和口臭,还会诱发牙龈萎缩等各种牙周疾病,腐蚀我们的牙齿。

去牙科治疗一次牙齿的费用可是不低啊!辛辛苦苦一个月,牙坏了治一次就要白忙小半月

要想清洁干净他们最有效的方式那就是洗牙,可洗牙不仅价格不菲,而且还不能经常洗,牙医建议洗牙最好是根据牙齿状况一年一次或两年一次。

那这些脏东西难道要在我们的嘴里待一年两年才能离开吗?不!我不!

洗过牙的小伙伴都知道,洗牙时,牙医是拿着一支会喷水的“枪”帮你把牙缝中那些脏东西冲出来!而那些脏东西,就是已经钙化了的牙菌斑,俗称牙结石。

既然我们已经知道这些顽固的牙结石是可以一次性清除的,那么我们直接按照医生的方法对付它不就好了吗?
所以我会推荐你使用一款“水牙线”除了日常刷牙,平时只要拿它冲一冲,比去牙科洗牙还干净,还不伤牙!

对于冲牙器可能大家还不是很熟悉,可是在国外,很多人都会在家里备上这么一个洗牙神器。对于牙刷清理不到地方的残渣污垢,它都能哗哗哗一下子全都冲出来!

据美国有关机构研究,冲牙器的压力水柱能冲进牙龈沟,冲洗深度高达50%-90%。

有了它,你可以随时给牙齿提供媲美专业牙科水平的护理,方便地全面清洗牙缝、牙龈下、牙窝沟和蛀牙中的食物残渣,从根本上预防口腔疾病。

长期坚持使用,可洗去多年的牙渍,还原牙齿洁白自然色!每天轻轻一喷,有效减少牙菌斑形成,留住自信笑容!

相比较市面上其他的大型冲牙器,素士便携式冲牙器的体型显得格外较小。不管是居家还是外出携带使用都非常的方便。

虽然体型较小,可是它却同时拥有230ml大容量的水箱,加满水可以充分满足的使用,相比较其他小容量水箱的洗牙器,完全不用担心使用到一半还要停下来加水的尴尬。

而且为了实现快狠准,一冲即净,全方位无死角清洗,经过数千次试验,素士便携式冲牙器最终采用专业医学级1300次/分钟高频脉冲水流技术。
0.66mm细小脉冲水柱,20-140pal强劲水压!让它不仅可以渗透到牙刷无法清洁的缝隙中,保证冲力有效冲走脏东西,还可以按摩牙龈,促进牙龈血液循环,呵护牙龈的健康。
为了照顾到不同群体需要,这款冲牙器还贴心设置了根据牙齿承受度的3档模式设计。

轻柔模式:这种模式比较适合第一次使用洗牙器,让你的牙齿有一个水流冲击清洗的过渡期,并慢慢适应冲牙器的清洗模式。
正常模式:这种模式比较适合日常清洁,像我们一般人的口腔敏感度都能用。饭后使用冲刷一分钟,即刻还原口腔洁净;面客/会议前使用,摆脱尴尬,随时恢复自信笑容。
按摩模式:这种模式对于那些经常抽烟喝酒,或者忽视口腔护理的人来说是个福音!。
从轻柔到洁净可任意切换,还有四种不同喷嘴可以根据不同需求来选择!只为给牙齿最合适的呵护。

不管是上了年纪导致牙缝变大的中老年,牙齿脆弱的准妈妈,处于矫正期、戴固定矫形器,口腔健康较差的人群,有了它,可以轻轻松松把藏匿在牙缝里的细菌和脏东西全都揪出来。

使用时也非常简单,只需轻轻含住喷嘴,在离牙缝2~3mm的距离开始清洗,然后将嘴里的水吐出来。就算是小孩或者老人都能轻松驾驭,每天冲一冲,让牙齿更健康!

为了让大家都能放心使用,无任何安全隐患。素士便携式冲牙器的水箱和喷嘴都采用了高透明食品级材质,内部水流情况清晰可见,还通过了美国FDA食品药品安全检测,FDA检测报告编号:CANE C1 1820505602

还设有双重安全保护功能,(堵转断电保护+两分钟关机保护)一旦使用过程中出现异常,立马就会断电保护停止工作,多方位避免安全隐患,让安全随时相伴!


牙齿的健康,治疗不如预防。与其说牙疼的时候,把大笔大笔钱砸进医院,还不如早早开始预防,保护牙齿健康。只要一两百的洗牙器,帮你省掉几万块钱的看牙费!一口健康的牙齿,可能是今年你zui划算的一个投资啦

素士电动冲牙器便携式水牙线
¥229
购买