主要症状及体征
性别:女性。
年龄:2岁3个月。2009年7月20日就诊。
【主诉】发现四肢结节、肿块3个月。
【现病史】患儿3个月前右肘后出现一皮下结节,鹌鹑蛋大,无不适;1周后左侧肘后、左膝前出现1-3个丘疹,无瘙痒;2个月后右下肢出现一皮下结节,1个月内缓慢增大至核桃大;且双足背、足趾亦出现一二个小丘疹,均无痛痒。患者1周前于外院肿瘤科住院,实验室检查:血、尿、粪常规,肝、肾功能,血电解质,抗核抗体、类风湿因子、血沉及C反应蛋白等检查均在正常范围;结核菌纯蛋白衍生物(PPD)试验阴性;右肘后肿块全切后组织病理检査提示慢性结节性肉芽肿性炎症。为明确诊断遂来我院就诊。
【个人史】患儿系足月顺产,发病期饮食睡眠差,否认家族成员中有类似疾病。
【查体】系统检査无异常。
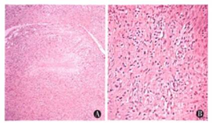
【皮肤专科检查】右肘后可见一长约5cm手术瘢痕,左肘关节、左膝关节伸侧、双足背及左小趾外侧缘散在分布1-3个、皮色或淡黄色、直径4-8mm丘疹(图1),质地软,部分丘疹附细薄鱗屑,中央微凹,周边隆起;右胫前中部有一良径4.5cm隆起性肿块,边界不清,质韧,无压痛,与表皮粘连,活动度差。复读右肘后肿块组织病理切片:表皮无异常,病变累及真皮和皮下脂肪组织,以组织细胞增生为主,真皮网状层及皮下组织见境界清楚的渐进性坏死团块,周边围绕组织细胞及淋巴细胞,可见少量多核巨细胞及嗜酸性粒细胞浸润 (图A、B);

治疗经过
【诊断】皮下型环状肉芽肿。
结合临床诊断为皮下型及丘疹型环状肉芽肿。
治疗:右胫前肿块局部注射复方倍他米松(得宝松),余皮损外用糠酸莫米松乳裔(艾洛松)。
2个月后电话随访,皮损全部消退。
最后诊断
皮下型环状肉芽肿
病例讨论
环状肉芽肿(GA)由Fox在1895年首先描述,Ziegler于1941年报告首例皮下型环状肉芽肿(皮下型假风湿病样结节)。本病病因不明,良性病程,临床上较少见。曾有人认为其可能是一种结核疹,或由链球菌、EB (Epstein-Barr)病毒、水痘-带状疱疹病毒感染所致,亦有部分患者有外伤史或甲状腺疾病等,但均无足够证据加以肯定。其发病机制目前认为是免疫复合物性血管病和细胞介导的迟发性过敏反应。
临床上环状肉芽肿分6型:局限型、泛发型、穿通型、皮下型、丘疹型及线状型。SGA可出现在婴儿及成年人中,尤其以2-5岁健康儿童多发皮损表现为体积较大、非对称性柔软的肿块,肿块可缓慢增大,亦可迅速长大。皮损单发,也可多发,表面呈皮色或粉红色。病变可在发病初期就表现为皮下型,也可以发生在丘疼型的基础上,皮损常累及下肢(较多出现于胫前,占65%),也可发生在上肢、臀部、头部等,甚至累及骨膜。丘疹型表现为肉色或浅色丘疼,直径1-3mm,偶有皮损呈脐凹状或泛发,可出现于任何年龄。 SGA若与其他型别的环状肉芽肿同时发病,可根据其皮损表现予以判断。SGA单发时易误诊,往往被作为皮下包块或肿瘤予以手术切除。
本病临床上应与以皮下结节为表现的其他疾病鉴别:皮样囊肿、创伤性肉芽肿、血管瘤、骨肿瘤、皮下组织感染及系统性疾病如类风湿结节和结节病等,这需要根据组织病理检杳、CT、磁共振成像(MR)等协助诊断,本病血液系统检査如类风湿因子、血沉等检查均在正常范围。组织病理检杳是GA的主要诊断依据,其特征是栅栏状肉芽肿,肉芽肿的中央为变性的胶原纤维(渐进性坏死),周围常有放射状排列的淋巴细胞、组织细胞和成纤维细胞。病灶中弹性纤维消失,肉芽肿周围可见吞噬丫弹性纤维的巨噬细胞。SGA在此基础上浸润达真皮全层及皮下组织,由多个结节构成,可见大量的渐进性坏死和丰富的黏液物质,有时可见脂滴,经常可见多核巨细胞和嗜酸性粒细胞,且周围组织纤维化明显。
本病的组织病理表现与类脂质渐进性坏死、类风湿结节、光化性肉芽肿和多型性肉芽肿相似,结合临床及实验室检査可以鉴别。 GA属自限性疾病,部分皮损可持续存在10余年。有近50% SGA患者可在2年内自行吸收,也有19%-75%的患者可在原部位或远端复发IMA。成人出现类风湿结节时,在组织病理上难与SGA区分,多年后易转为类风湿关节炎或其他结缔组织病。有学者收集54例儿童SGA患者,跟踪随访1-14年,未发现1例出现结缔组织疾親亦有较多小样本资料调查显示儿童SGA预后良好,无结缔组织疾病出现,手术扩大切除似无必要。
病例来源--- 《临床皮肤科杂志》