


29岁女性右上腹壁脂肪瘤

7岁男性脂肪肉瘤。轴向增强T1加权MR图像和轴向FDGPET图像示肉眼可见含脂肪肿块(白色箭头)的高代谢增强型软组织成分(黑色箭头)。活检结果证实为脂肪肉瘤

45岁男性血管瘤。轴位平扫CT示长形含脂肪肿块(白色箭头),左侧外斜肌和内斜肌之间数枚钙化静脉石(黑色箭头)。这些发现是腹壁肌肉内血管瘤的特征

81岁女性接受系统抗凝治疗的直肌鞘血肿。超声(A)和轴位CT(B)图像示右直肌鞘内血肿内红细胞压迹(虚线箭头)和活动性外渗(b中实心箭头)

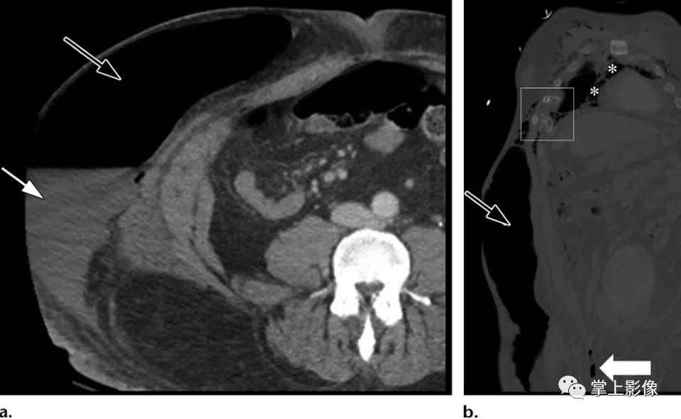
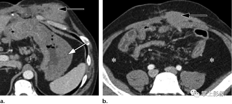
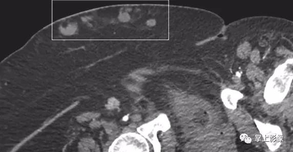
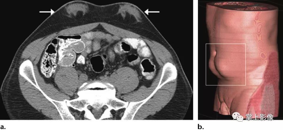
莫雷尔-拉瓦莱损伤(morell-avallee),50岁男性行人,被机动车撞到。轴位(A)和冠状位重建(B)CT图像显示闭合性脱套伤,从右下胸壁延伸至右侧髋部最尾侧,皮下积聚气体(黑色箭头)和液体(白色箭头a)集中在右侧腹壁。冠状重建图像显示了Morel-Lavallee病变的范围和两个移位的前外侧肋骨骨折(b方形轮廓)以及继发于移位的胸骨骨折(未显示)和纵隔气肿(b方形轮廓)。右腹股沟疝显示部分充气小肠环(b中白色箭头)。未见腹内脏器损伤

40岁女性腹壁切口典型的腹壁子宫内膜异位症。轴位CT图像显示中线左侧有一个肿块(白色箭头),边缘有结节状强化,来自先前低位剖宫产的切口(黑色箭头)

26岁女性非典型腹壁子宫内膜异位症,无手术史。轴位增强CT图像显示脐周强化病灶,界限不清。在超声引导下进行活检(未显示),解释为异位输卵管上皮。然而,在手术切除时,病理学家诊断为子宫内膜异位症

60岁女性转移性卵巢浆液性腺癌。轴位CT显示卵巢浆液性癌淋巴结转移(正方形轮廓)。注意钙化(箭头),它类似于此患者其他部位的转移性疾病(未显示)

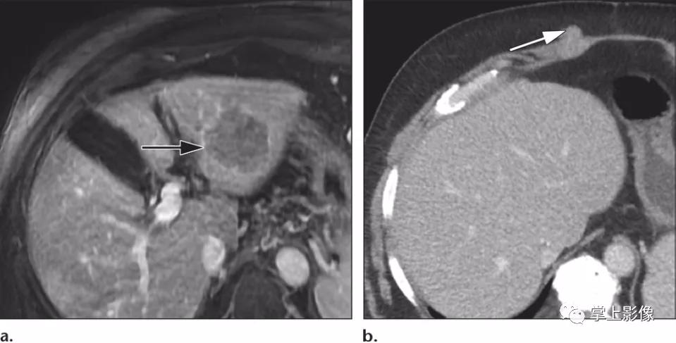
68岁男性肝硬化和肝细胞癌患者,先前活检轨迹的种植性转移性。(A)轴位增强T1加权MR图像显示左侧(箭头)边缘强化的肿块,为肝细胞癌病灶及其特征。患者接受了经皮穿刺活检,结果证实了影像诊断。(B)患者接受肝移植后获得的轴位增强CT图像显示先前经皮穿刺活检轨迹的种植性转移性(箭头)


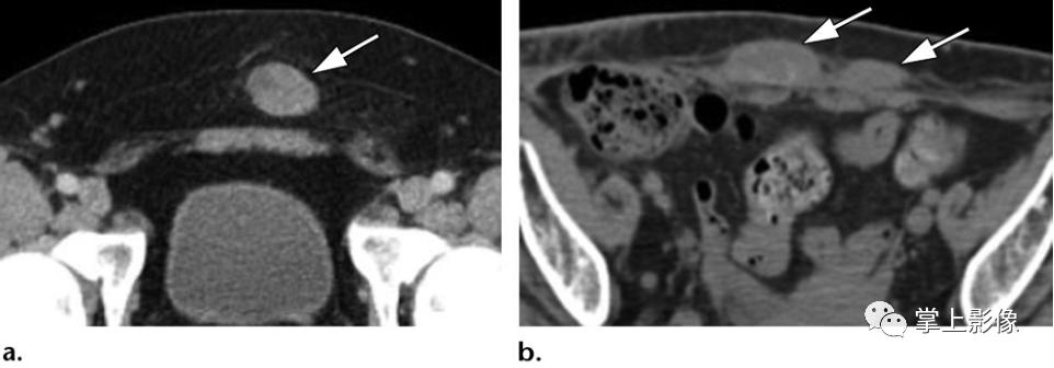
35岁女性腹壁硬纤维样瘤,经皮穿刺活检证实。(A)轴位CT显示以左直肌鞘为中心的高强化腹壁肿块(箭头)。(b-d)轴位平扫T1WI显示低信号肿块。注射钆对比剂后,在动脉期(C)、门静脉期(未显示)和延迟期(D)图像上可见肿块(b-d箭头)渐进性均匀强化。(E)超声图像显示低血流低回声肿块(箭头)

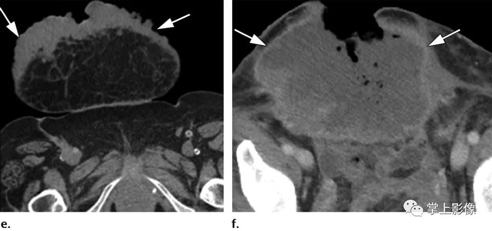
34岁加德纳综合征合并多发性腹部肿块的硬纤维样肿瘤。轴位增强CT图像显示肿块(黑色箭头)集中在腹直肌下方,外观与韧带样肿瘤最为一致。胃肿块(a中的白色箭头)后来被诊断为腺癌,注意到与以前的结肠切除术相比的变化(b中的*)



6例不同患者腹壁肉瘤的不同表现。比较可触及的腹壁肿块(a-c)和浅表溃疡性肿块(d-f)的表现。(A)一名38岁男性的轴位CT影像显示,皮下脂肪(经检查认为是腹股沟疝)有一边界清楚的小上皮样肉瘤(箭头)。(B)一名33岁男子的轴位CT影像显示,腹部下方肌肉深处平滑肌肉瘤(箭头)(病人右大腿亦有肿瘤[未显示])。(C)21岁男性轴位CT影像显示横纹肌肉瘤(箭头),患者的左大腿也有肿瘤(未显示)。(D)一名24岁男性的轴位CT影像显示一浅表性隆起性皮肤纤维肉瘤(箭头),影像上并无严重溃疡,但体格检查显示皮肤水肿及出血。(E)71岁女性的轴位CT影像显示浅表上皮样血管肉瘤(箭头),表现为溃疡性伤口。(F)一位62岁女性的轴位CT影像显示一深部浸润性滑膜肉瘤(箭头),表现为溃疡性伤口。所有诊断均经手术切除或活检证实

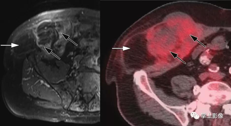
原发性皮肤淋巴瘤,55岁男性,无相关病史,前腹壁有明显肿块。(A)轴位CT图像显示强化肿块(箭头)。(B)轴位融合PET/CT图像显示FDG亲和力高(箭头)。病理结果为B细胞淋巴瘤

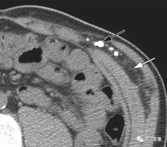
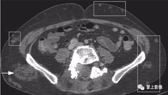
注射肉芽肿,46岁卧床不起妇女,每天皮下注射依诺肝素。CT显示多发注射肉芽肿(轮廓区)

42岁男性胰岛素依赖型糖尿病患者胰腺移植后胰岛素注射部位的脂肪肥厚。脐下轴位CT(A)和斜矢状位最大密度投影CT(B)显示两侧对称的脐下肿块状突起(a为箭头,b为方形)。这些胰岛素注射部位双侧皮下脂肪肥大,并伴有中央浸润性软组织衰减。这些是胰岛素注射部位腹壁脂肪肥大的表现

41岁女性硅胶注射臀部增大术。轴位增强CT图像显示两侧臀部皮下脂肪周围弥漫性软组织密度降低和亚厘米结节

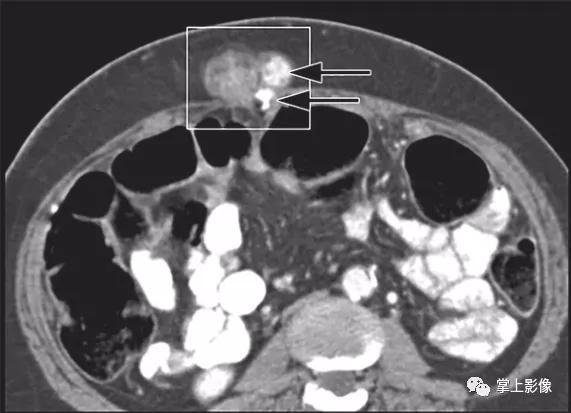
54岁男性肾移植后的移植后淋巴组织增生性疾病。轴位CT显示多个脐上腹壁结节(箭头)

胰腺脂膜炎患者,46岁男性,既往有胰腺炎病史。轴位CT图像显示腹壁多个区域的皮下小结节和脂肪坏死区域(箭头)。超声引导活检(未显示)对这些结节中的一个结节进行取样,诊断为胰腺脂膜炎
参考文献:
David H. Ballard, Parisa Mazaheri,Daniel C. Oppenheimer,Meghan G. Lubner,Christine O. Menias, Perry J. Pickhardt,William D. Middleton, Vincent M. Mellnick . Imaging of Abdominal Wall Masses, Masslike Lesions, and Diffuse Processes . RadioGraphics684-703(2020).