夏天到了,泌尿系统结石患者到门诊就医的人数也在明显上升。 因为夏季随着人们出汗带来的体液大量流失,再加上不重视饮水,随之带来的就是尿液浓缩形成泌尿系统结石。 从这段时间科普作品的读者评论中不难看出,很多人对于 结石是否需要接受手术是存在非常大的困惑的! 其中不乏有很多读者认为做 手术是医生为了“增加效益”!

今天我们从这三个病人的治疗经过来看看,为什么这三个病人需要手术?
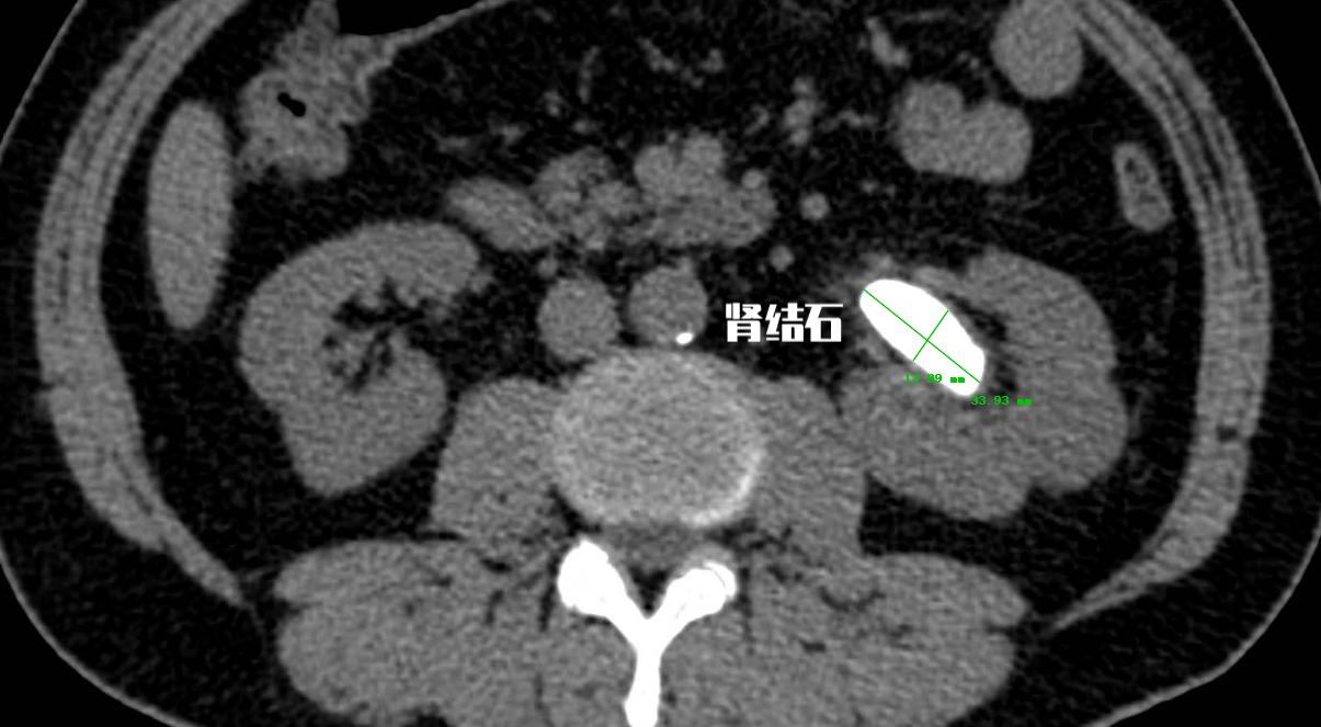
病例一:这个大小的结石为啥要做手术?
老王今年65岁,1周前因输尿管结石到门诊就诊, 做了CT检查提示结石位于输尿管末端,结石大小5mm。 根据他的结石大小和部位, 选择口服药物保守治疗,并嘱咐患者多饮水和加强活动。 但是1周时间过去了, 老王复诊时的CT提示他的结石仍然没有排出 。于是老王在昨天接受了输尿管镜下钬激光碎石术的治疗。

关于输尿管结石的非手术治疗
的确并不是所有的输尿管结石都需要立即接受手术治疗,对于很大一部分的患者而言,其实是可以通过非手术治疗的方式来处理的。但是一定要注意以下情况!
非手术治疗适用于直径<5mm的输尿管结石,是可作为首选的治疗方式 ,对于直径5~10mm的结石,也可以在密切监测下选用非手术治疗方式。我们可以自行比对一下自己以往的报告看看自己的结石体积究竟有多大。

非手术治疗措施主要包括大量饮水,每天2500~3000ml;适度运动;应用口服药物来辅助排石。常用的药物是α受体阻滞剂也就是坦索罗辛,可以松弛输尿管下段平滑肌,有助于促进结石排出。
但是非手术治疗并不是万能的, 如果出现持续的输尿管梗阻、感染、排石过程无明显的进展,或出现无法缓解的肾绞痛发作,则需要进行外科干预治疗!
病例二:这个输尿管结石我又不疼,为啥要做手术?
老李今年47岁,昨天体检发现 输尿管上端结石 ,但是他很奇怪的是基本不疼不痒,也没有任何症状。但是既然发现问题了,就到门诊做了CT检查提示: 右侧输尿管上端结石,长度约1.4cm,同时肾脏已经出现重度积水情况。

他的问题在于, 为什么别人结石都是疼得死去活来,但是他一点症状都没有,那这种情况要做手术吗?
当然是需要手术的!
虽然老李没有任何症状,但是从CT片子上反映出老李的结石肯定已经堵塞了很长时间了,不光是出现了重度肾积水, 肾功能的指标中也已经出现了肾功能的损伤 ,所以当天急诊就做了输尿管结石手术。

为什么上段输尿管结石不选择体外冲击波碎石?
体外碎石已经应用于临床治疗上段输尿管结石接近20年了,已证实体外碎石治疗输尿管结石效果满意,也被很多患者理解和接受。但是为什么老李不能接受体外碎石?

体外碎石的适应症主要是针对直径<10mm的上段输尿管结石,也是首选的治疗方式。 但是 对于>15mm、结石停留时间长(>2个月)的结石,由于该类输尿管结石嵌顿时间长、肾积水严重或合并输尿管狭窄及其他病变,体外碎石往往治疗效果很差!
病例三:我这么大肾结石,选择哪种手术方式合适?
老张今年56岁,由于是自由工作,所以并没有规律的体检。上周因为有尿血的情况,于是到当地医院就诊, 查了CT提示左侧肾脏内有一长度约3cm结石。 那我应该选择用哪种手术方式来处理呢?

目前针对较大肾结石的处理方式主要分为两种, 一种是输尿管软镜碎石,一种是经皮肾镜碎石。 这两种手术方式各有优缺点,有的时候病人在选择手术方式的时候会犯迷糊。
输尿管软镜治疗肾结石具有创伤小和恢复快的优点 ,近年来在我国得到了广泛应用,大部分软镜的患者在术后第二天都可以出院了。但是不可否认的是,输尿管软镜也受到较多限制, 最主要的是取决于患者的输尿管条件和肾内的解剖因素,当然输尿管软镜最大的限制在于将结石钬激光击碎以后是需要患者术后排石的。
经皮肾镜相对于软镜来讲最大的优点就是清石效率的问题 ,一般对于较大或者较硬的结石,经皮肾镜的优势就非常明显了。但是缺点就是手术风险更大,有肾脏需要DSA下栓塞甚至切除肾脏的风险。

总结一下,对于泌尿系统结石而言,根据结石的不同部位、成分等都有不同的治疗方法。非手术治疗和体外碎石方式作为较多人选择和信赖的治疗方案,的确对于大部分患者而言是非常有效的,但是也有自身的限制条件,并不能涵盖所有。必要时候还是需要接受手术治疗的方式。
我是泌尿外科韶云鹏,一个专注泌尿外科科普的医生,如果文章对您或身边人有用,感谢点赞关注转发,谢谢!#健康解密#
(此处已添加医疗卡片,请到*今条头日**客户端查看)