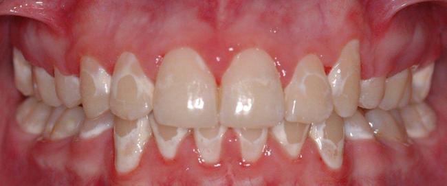
生活中,有些人在照镜子的时候,会突然发现牙齿上多了些白色斑点或者是斑块,就像岩石或墙体被风化了样子,尤其是生长在门牙上的白斑,十分影响美观!

那么这些牙齿上出现的白斑是什么问题呢?其实这就牙齿脱矿的表现!结构上由内到外,我们的牙齿分为牙髓、髓腔、牙骨质、牙本质、牙釉质,牙釉质是包裹在整个牙冠的外部,它的主要成分是羟基磷灰石,是咱们牙齿最重要的保护层。

当我们长期口腔卫生条件差时,口内牙菌斑就会堆积滋生,牙菌斑内的细菌产生酸性物质,会侵蚀牙冠表层的牙釉质,破坏掉牙釉质上的“钙、磷”等无机盐成分,使牙冠表层的矿化程度进一步降低,表现牙面变色出现白色斑块,也被称为“龋白斑”,是最早期的一种龋齿表现。如果不加以控制的话,当牙齿脱矿程度不断加重,牙釉质层会慢慢的脱落,最终导致牙齿缺损。

牙釉质脱矿最主要常见于做固定托槽矫正的正畸患者,这是由于牙面粘结了托槽和结扎了钢丝,在一定程度上不便于清洁,容易导致牙菌斑堆积、食物残留,两者结合产生酸性物质侵蚀牙釉质,导致托槽周围产生牙齿脱矿。

牙釉质脱矿的最主要原因还是口腔清洁不到位,首先第一要位保持口腔卫生,认真刷牙,合理搭配使用牙线、牙缝刷、冲牙器等辅助清洁工具,掌握正确的刷牙手法,推荐大家使用巴氏刷牙法(具体操作方式参考往期文章),同时饭后及时漱口。第二个改善饮食结构,少喝碳酸饮料、含糖量高的饮料,这类饮料的爱好者也是牙釉质脱矿的高危人群。

那么如果牙釉质不幸脱矿了,我们该怎么办呢?轻微的牙齿脱矿,只是要是表面色泽的改变,这种情况是可逆的,我们可以通过一些措施,让牙釉质再矿化,一是可以口服补钙,同是唾液中含有钙、磷等矿物质也有助于轻微脱矿的再矿化,二是通过专业的涂氟措施,通过氟化物来促进牙齿再矿化。对于脱矿比较严重的患者,可以采用树脂渗透修复、牙贴面修复等方式。

最后提醒大家,牙齿脱矿的问题是可以提前预防避免的,要做好口腔清洁工作,平时在牙医的指导下,可以正确的使用含氟牙膏、漱口水等产品。