
【栏目简介】
《心动在线》栏目是由天津医科大学总医院心内科杨清教授团队与心在线合作推出的精品超声心动图专栏,由超声心动图室杜鑫、黄灿亮主任负责,以典型或少见的超声心动图检查结果为切入点,结合病例进行分析,串联相关知识点,将超声心动图的诊断要点、标准及注意事项与广大读者分享,提高临床医生的超声诊断能力和水平。
案例
患者男性,29岁,因"入职体检发现心电图(图1)和胸片异常"来我院心内科门诊就诊。患者无胸闷、胸痛及心悸等不适症状,平素体健,无高血压、糖尿病和冠心病史,无吸烟、饮酒等不良嗜好。
接诊医生对患者进行仔细的体格检查后发现心界向左扩大,建议行超声心动图检查(图2~图5)。首诊的超声医生发现该患者并非左心扩大,而是右心室增大,但不能用右心扩大的常见病因解释,且伴有心脏整体活动的异常(局部运动亢进),遂请超声心动图室杜鑫主任会诊。
杜鑫主任仔细阅图后考虑该患者患有罕见的先天性心包缺如,建议行胸部CT检查。最终CT检查结果(图6、图7)证实了超声诊断。

图1. 心电图示窦性心律,电轴右偏

图2. 胸骨旁左心室长轴切面显示右心室扩大,左心室后壁运动幅度显著增大,室间隔运动幅度减低

图3. 彩色M型超声显示右心室扩大,室间隔运动幅度减低并呈混合向运动,左心室后壁运动幅度显著增大

图4. 胸骨旁左心室短轴切面显示右心室位于左心室正前方,左心室后壁运动幅度显著增大,室间隔运动幅度减低

图5. 心尖四腔心切面显示心尖向左侧移位,左心室侧壁运动幅度显著增大,室间隔运动异常

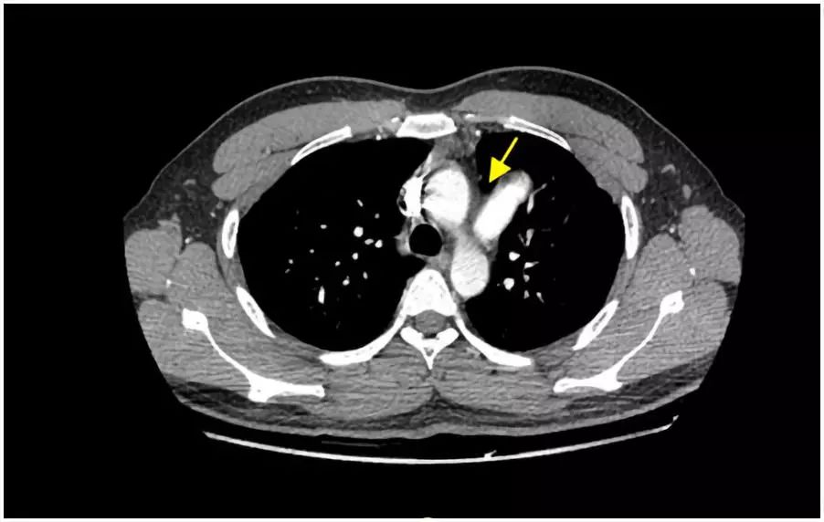
图6. CT检查示主动脉和肺动脉之间有异常肺组织楔入,提示该处心包缺如

图7. CT检查示右侧心包清晰可见,左侧未见心包组织
解析
先天性心包缺如在临床上非常罕见,常规尸检发现其发生率约为 1/10万,男性多于女性(约3:1)。心包缺如可发生在任何部位的心包,其中以左侧心包缺如最为多见,约占80%。
心包如同心脏的外衣,其正常生理功能包括:(1)束缚心脏,固定其在纵膈内的位置,防止过度摆动;(2)减少心脏运动时与周围组织的摩擦;(3)协调左右心室功能的交互作用;(4)维持心室正常的顺应性,防止心脏过度扩张;(5)屏蔽邻近器官的感染;(6)心室射血产生心包腔内负压有利于心房充盈。对于心包正常生理功能的了解有助于对心包缺如患者心脏影像学改变和临床表现的正确解读。
超声心动图是心包缺如的首选影像学检查方法,其征象除心脏轮廓有局限性膨出和心包回声衰落外,还包括以下特点:(1)不正常的超声窗,(2)心脏高变动性,(3)异常的室间隔运动,(4)心脏摇摆运动。当超声心动图表现非特异且临床怀疑程度较高时,通过改变体位的操作可能有助于诊断心包缺如。在患者移至右侧卧位时可以解决左侧卧位心脏后方移位的问题。
左侧心包缺如时,心脏因失去束缚和支持而呈左旋转位,且呈游离状态,使得右心室位于左心室正前方,收缩期整个心脏向前运动幅度增大。正常人左心室后壁运动幅度为8~12 mm,当运动幅度明显增大超过15 mm时,要高度警惕心包缺如的可能性。二维超声探查时左心室长轴切面声束正是经右心室正中扫描,故显示右心室增大的假象。在短轴切面中可见左右心室腔的方位,收缩期整个心脏向前运动,其运动幅度明显大于正常人,而室间隔运动减低呈混合向运动,显示右心室容量负荷过重的假性特征。
M型超声可见右心室增大及室间隔的异常运动,在左心室后壁后方看不到心包膜的回声,左心室后壁呈一条线状回声曲线,减少回声强度时显示不出心包膜的回声,能提示心包缺如的依据。这种因心脏左旋而造成的假性右心室增大可在心尖四腔切面中对左右心室径进行测量,来判断右心室的真实大小。
左侧心包缺如还可见到心包缺如部位的左心室室壁舒张期向外膨隆,这一膨隆的部位与周围相连的室壁运动是同步的,这种局限性的运动是左心室心包缺如的特征。在心尖四腔切面及左心室短轴切面可以显示这种特异的现象,心尖、下壁及侧壁明显,这不同于心室室壁瘤和心室憩室。没有其他心脏病变可以解释这种异常的心脏轮廓。
专家简介

关欣,主管技师,2007.09~2012.07就读于天津医科大学医学影像学专业,并于2018年获取天津医科大学内科学(心内科)硕士学位,2012.07至今工作于天津医科大学总医院心内科。

杜鑫,医学博士,现任天津医科大学总医院心血管病中心超声心动图室主任。主要从事心血管内科疾病及心脏超声的临床与教学工作。曾赴英国牛津大学及帝国理工大学工作学习4年。曾任中华医学会心血管病学分会结构心脏病学组委员,现任中国超声医学工程学会超声心动图委员会常务委员、中国医师协会心血管内科医师分会超声心动图专业委员会委员、天津市心脏学会心脏影像专业组副主任委员、卫生部海峡两岸医药卫生交流协会超声医学专家委员会青年委员、天津市心脏学会理事、天津市超声医学工程学会理事、天津市医师协会超声科医师分会委员、天津市卫生局超声质量控制中心专家、中国医疗保健国际交流促进会超声医学分会青年委员、天津市中西医结合医学影像学会青年主任委员、滨海浆细胞疾病多学科协作联盟影像学组组长。兼任EHJ中文版和JACC中文版青年编委,《国际心脏病学杂志》和《天津医药》特邀审稿人。发表多篇SCI及中文核心期刊论著,主译一部著作《超声心动图诊断的解剖学基础与临床》,并参编多部著作。
心在线 专业平台专家打造
编辑 王雪萍┆美编 柴明霞┆制版 刘明玉