大家都知道,发际线后移会秃头,但你知道吗,牙龈线后移会掉牙!
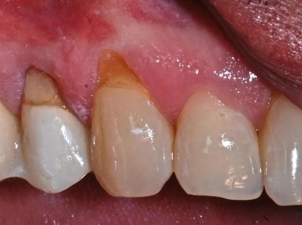
牙龈线后移,就是牙龈萎缩,简单地说,就是牙龈缘向根尖方向逐渐退缩,像海水退潮一样,暴露出牙根、牙缝,一笑起来,丑得很。

也许有人说,牙龈萎缩就萎缩吧,我不笑不就行吗,又不痛不痒的。木主任提醒大家,牙龈萎缩除了会影响颜值,还会造成牙齿敏感、龋坏牙根,最终造成牙齿脱落。有句话说:雪崩的时候没有一片雪花是无辜的,放在这里同样适用,导致你牙齿脱落的原因就是你认为不重要的原因。
为什么牙龈会萎缩?
1、牙周炎
牙周炎是造成牙龈萎缩最常见的原因,而且这是一个无法逆转的过程,也就是说,一旦因为牙周炎发生牙龈萎缩,就不可能会好,甚至有时候,牙龈萎缩的“丑状”会在牙周炎治疗后更加明显,更加惨不忍睹。

2、刷牙不当、错误使用牙线
使用硬毛牙刷或者长期大力横着刷牙不仅导致牙龈萎缩,而且还会造成牙齿损伤,这种损伤叫楔状缺损。

还要提醒大家一下,虽然牙线是个好东西,但是使用不当“直来直往”的方式也会造成牙龈萎缩。
3、正畸过程中的菌斑堆积
正畸,换而言之,就是让牙齿逐渐移动到“好看”的位置,摆正“正主”的位置。而在这个过程中,如果不注意口腔卫生,菌斑堆积过多,在正畸移动的力量和细菌的双重作用下,牙龈退缩一定会找上你的。

牙龈萎缩了怎么办呢?
上面说了,牙周炎导致的牙龈萎缩是无法治疗的,只能预防或者早发现早控制,而有一部分牙龈萎缩是可以通过 膜龈手术 进行治疗的,例如上面列举的第二和第三种情况。


膜龈手术堪称牙龈美容术,根据不同程度、不同类型的牙龈萎缩,采用相应的膜龈手术可以改善牙龈萎缩导致的根面暴露和牙齿敏感症状。
牙龈萎缩很常见,所有人都有可能发生,要记得,发际线可以补,但这宽度仅仅几毫米的粉色黏膜一旦失去就几乎无法恢复。为了预防牙龈萎缩,除了勤漱口、勤刷牙、正确用牙线等日常生活习惯之外,木主任还建议大家,每6~12月洗一次牙,是预防牙龈萎缩的重要措施。

最后提醒大家,一旦发现自己牙龈红肿、刷牙出血、牙齿松动、咀嚼无力,应及时就医,记住,早治疗比什么都强,千万不要自欺欺人强忍,最后的结果可能会很“难看”。