近日,哈医大一院泌尿外科任明华教授团队为一名输尿管内留置支架管在体内长达7年的患者,成功摘除滞留的支架管。
63岁的孙女士带着困扰她多年的问题找到任明华教授求诊。原来孙女士因为无痛性肉眼血尿,做彩超发现了滞留在体内7年之久的输尿管支架管。孙女士回忆,7年前自己因为直肠癌术后肿瘤复发需放化疗治疗行右侧输尿管支架管置入术,由于种种原因,小小的输尿管支架管至今都未曾取出。当地医院试行给孙女士取出输尿管支架管,术中发现问题远比想象中要困难复杂的多,最后以失败告终。

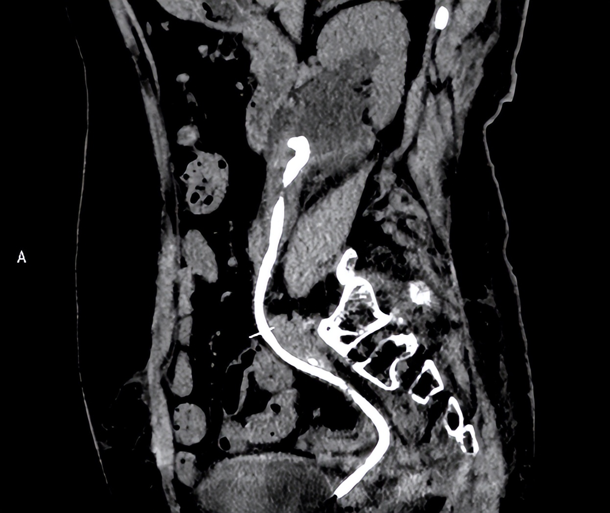
患者的三维CT重建图
凭借丰富的临床经验,任明华教授指出正常输尿管支架管直径不会这么宽,推断患者体内的输尿管支架管表面覆盖一层结石,结石可能嵌顿在输尿管内。
“正常的输尿管留置时间最长为1年,而在人体内“生存”7年之久的输尿管支架管难免质地会极其脆弱,拔除时容易断裂。”任明华教授表示,取管难度极为复杂。
为了制定周全的解决方案,减少术中对患者输尿管的损伤,任明华教授展开组内讨论,决定给孙女士行输尿管镜联合经皮肾镜处理输尿管支架管表面的石头,再行膀胱镜取出输尿管支架管。
在制定周全的手术计划和充分的术前准备后,手术如期进行。术中正如预想那样,支架管尾端附着大结石,尾端融合成球,钬激光击碎膀胱内支架管表面覆盖的结石和输尿管下段部分的支架管表面结石,上段输尿管狭窄,细输尿管镜无法通过,留置斑马导丝至肾内,改用经皮肾镜钬激光于肾盂输尿管交界部处理融合成球形的支架管上段表面的结石,进而钬激光击碎输尿管上段支架管表面结石,从膀胱内完整取出孙女士体内滞留7年之久的支架管。

从术后复查的腹部平片来看,手术非常成功,输尿管及周围未见渗出和损伤,孙女士尿色也完全恢复正常,很快便下地活动并康复出院。
任明华教授提醒,输尿管支架管是常用的器械,它的主要作用是扩张梗阻或狭窄的输尿管,将尿液因流入膀胱,减少肾或输尿管瘘的同时,促进输尿管吻合口的愈合,输尿管支架材料为非生物降解材料,带管期间可能会出现膀胱刺激症状或输尿管移位、膀胱输尿管尿液返流和支架管表面的结石等并发症,所以要听从临床医生的诊疗意见,及时到正规医院取出输尿管支架管,避免类似事件的再次发生。
张路 王锦锋