对于痔疮,相信大家都不陌生。这种因为人类直立行走而带来的病痛,想要彻底解决,基本上只有手术这条途径。而人们对于手术却都有着天然的畏惧感。
近日,我院消化内镜科主任李初俊开展的将多环套扎器装载于内镜的内镜下套扎技术,可以只通过一次肠镜操作,同时完成肠道检查、套扎止血、消除内痔的治疗效果,而这种治疗痔疮的方法“术中、术后没感觉到疼痛”。

一举三得,检查、止血、消痔
56岁的陈女士,平时身体一向很好,没想到最近一个礼拜反复便血,虽然量不多,但陈女士也吓了一大跳,遂到我院消化内镜诊疗专家门诊就诊,李初俊表示,重视自己的排便情况并且可以及时就诊,这种警惕性很好,很棒。在接诊过程中,李初俊进一步了解到她最近一周排便都会排出鲜血或暗红血块,平素体健,无慢性病史,无服用抗凝药史。考虑到患者45岁以上,这种情况便血原因很可能存在内痔,同时也怀疑结直肠其他可能存在的病变,单纯指检无法排除其他病变,李初俊建议陈女士做结肠镜检查以明确便血原因,排除肿瘤性因素,并依据检查结果进一步治疗。

在陈女士在完成肠道清洁、行电子结肠镜检查后,在肠镜下果然发现内痔,并有一处活动性出血。经与患者家人沟通,知情同意后,李初俊为陈女士行内镜下套扎治疗,出血立即停止,检查其他结直肠黏膜未见异常。

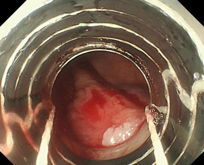
▲内痔并出血内镜下套扎治疗报告图片

▲ 内痔并出血内镜下套扎治疗

▲ 套扎治疗后出血停止
在整个治疗过程以及术后陈女士没有感觉明显疼痛,肿胀等不适,术后马上就可以下床正常活动了,在配合肛门直肠药栓治疗后回家休养。出院后,排便正常,无再发出血。复诊的时候她激动地说:“周边很多朋友都说痔疮要手术很难受,而我这个手术没感觉到疼痛,术后也没怎么感觉肛门疼痛,这让我很满意!”
内镜下套扎主要针对内痔
李初俊表示,就内痔而言,其实外科常用结扎、套扎来达到治疗目的,其原理是将隆起突出的痔结扎、套扎后,让其坏死脱落,达到祛除内痔的目的。对于出血性内痔,还可达到即时止血的效果。

传统的内痔套扎是通过有限视野的肛窥镜下,使用枪式套扎器进行。而李初俊利用将多环套扎器装载于内镜的内镜下套扎技术,是源于内痔套扎,应用于食管静脉曲张套扎的成熟技术,其具有清晰、宽广的视野和良好的操控性,可以达到更精准的套扎治疗效果,近年来越来越多地被应用于临床,造福于患者。
“内痔套扎术”的治疗过程
01
肠镜检查
首先患者需要进行全大肠(结直肠)检查,并达回肠末段,了解是否有其他出血性病变,并除外其他病变。

02
装载套扎器
03
内镜下套扎治疗


(1)定点:将装载好套扎器的内镜重新插入直肠,寻找合适的内痔套扎点进行套扎,并酌情选择顺镜方式或者反转方式进行套扎。对于出血性内痔,如果合适,直接套扎出血部位是最佳的选择。对于出血部位会议靠近齿状线者需要慎重选择。
(2)吸引:寻找目标套扎点,调整合适的角度,将透明帽紧贴内痔周围肠黏膜后持续负压吸引,必要时微调镜端以便利于吸入,直至“满天红”的满视野。
(3)套扎:确认吸引满意后,继续持续保持负压吸引,旋转套扎器旋转手柄,直至感知到套扎环释放,套扎环释放后再保持负压吸引数秒后释放吸引,必要时注气以辅助套扎物退出透明帽。
(4)冲洗观察:负压吸引过程可能会有黏膜表面的少量出血,可内镜下冲洗观察套扎效果及是否达到止血效果,另外注意有否套扎后出血,并注意套扎目标是否合适,尤其注意避免套扎齿状线以下部位。
李初俊介绍到,该技术可以应用于大部分的内痔,但是否合适采用也需要结合患者的个人情况来定。此外,该技术治疗效果非常不错,但对于大部分患者来说,做完内镜下内痔套扎后,术后护理也非常重要,要避免吃刺激性食物,保持大便软化通畅,不用力排便,避免套扎物人为过早脱落而增加术后出血并发症的发生。
本文指导专家

消化内镜科 李初俊 主任医师
学术任职:中山大学主任医师、硕士研究生导师,中山大学附属第六医院消化内镜科主任,广东省医学会消化内镜学分会常委/消化病学分会委员,广东省抗癌协会肿瘤内镜专业委员会常委,广东省医师协会消化内镜医师分会常委,广东省消化内科医疗质量控制中心专家组成员,广东省健康管理学会消化内镜MDT专业委员会副主任委员,广东省基层医药学会消化及消化内镜专业委员会副主任委员,广东省中西医结合学会消化内镜专委会副主任委员/整合肝肠病专委会副主委,广东省中医药学会消化道肿瘤专业委员会副主任委员,广东省肝脏病学会内镜诊疗专业委员会副主任委员,吴阶平医学基金会中国炎症性肠病联盟常委,中国医药教育协会炎症性肠病专业委员会常委/消化道疾病专业委员会委员,澳门胃肠肝病学会学术顾问,《中华消化内镜杂志》通讯编委,专注并擅长于各类消化内镜诊疗技术。
学术专长:一直在医科大学教学医院工作,对各种食管、胃、肠及肝、胆、胰腺等疾病的诊断和治疗有丰富的临床经验。近20年来专注于消化内镜诊断与微创治疗工作,娴熟操作胃镜、结肠镜、小肠镜、十二指肠镜、胶囊内镜和超声内镜进行内镜诊断与治疗,受检者痛苦少。曾接受香港消化内镜学会和曹世植消化内镜基金会(DR. WILLIAM CHAO DIGESTIVE ENDOSOCPY FOUNDATION LIMITED)基金资助,在引领治疗内镜潮流的香港中文大学威尔斯亲王医院内镜中心接受现代治疗内镜培训,并参与过香港微创中心关于早期消化道癌的诊断与微创治疗培训。擅长于不需开腹手术的内镜下微创手术以治疗胃肠道息肉、胃肠道黏膜下肿瘤、早期消化道癌、胆胰管病变包括胆总管结石、胰头癌、胆管癌、壶腹部癌,以及各种消化道出血性、阻塞性、狭窄性病变,包括各种扩张术和支架置入术等。
出诊时间:周三上午
#清风计划# #中山六院健康说#
责任编辑:郭松青
初审:于田
审核:简文杨
审定发布:李冠宏
图、文,中山六院