大家应该听过一些网瘾少年猝死的案例,去年深圳龙岗区1位小伙子,因为迷恋网络游戏,在连夜通宵后发生猝死,等到网吧老板发现的时候身体已经僵硬了……
人类的身体是有健康底线的,过度透支会导致早衰,让身体从年轻时就开始走下坡路。最近有一个18岁的网瘾少年,就因为长期熬夜免疫力下降,引发一种严重的细菌感染,肺叶差点被细菌熔化掉:

这个绿色的细菌叫铜绿假单胞菌,它不侵犯健康人,多见于身体虚弱长期住院的病人,比如中性粒细胞缺乏、恶性肿瘤放化疗、长期服用激素、慢阻肺或支气管扩张症的病人,治疗起来很复杂,也很贵!
这个细菌是个皇亲国戚,跟造物主关系不浅
宇宙大爆炸创造了地球,交给上帝来管理,几十亿年了,先后换过好多次食物链顶端的所谓地球霸主,很荣幸,在几万年前轮到了灵长类猴子。
上帝通晓万法,她管理地球主要用了4个字:平衡、有序!
草木枯荣,盛极而衰,万物各有分工。那些生病或者自然衰老的动植物尸体,会被地球的清洁工降解成肥料,反哺地球。这个清洁工,主要就是霉菌和腐生菌。其中分解油脂类废物和某些低分子量有机物,主要由铜绿假单胞菌(PA)负责,这是腐生菌中最重要的一种,受到上帝的格外宠爱!

黛玉葬花,腐叶化土,生生不息,所以这些腐生菌最常见的地方是土壤中,在各类植物根系周围,分解肥料供植物生长,同时消除掉地球上的动植物尸体。比如我们把某些死掉的家禽埋在果树下,被腐生菌和真菌分解成肥料,果子会格外香甜。
这是上帝给腐生菌安排的工作范围,也是铜绿假单胞菌(PA)最喜爱的工作。这种细菌除了喜欢呆在植物根系周围,脏水、潮湿的空气里也会见到它的身影,负责把一些腐朽的动植物尸首分解掉。
所以,自然界离不开环卫工人,离不开铜绿假单胞菌(PA),否则地球表面会被各类动植物尸首堆满。
现在回归正题,为什么医院里也常常发生铜绿假单胞菌感染病人?
医院里都是生病的病人,有些病情还很重,尤其是重症监护室(ICU)里的病人,铜绿假单胞菌会出现在医院下水道、淋浴喷头、潮湿的呼吸机表面、牙科设备等处,并且黏附上这些设备之后,会形成生物膜,摸起来有点粘滑,等候某些*体器人官**生机枯萎,然后就会钻进体内行使它们分解油脂和低分子量有机物的职责。

铜绿假单胞菌像环卫工人一样勤劳和坚守职责,但它们不懂医学,看不懂心电监护仪,也不会使用听诊器,所以有些时候病人其实还活着,只是器官变得虚弱不堪,它们就误以为这些器官失去生机,该分解转化为肥料了,这个时候,病人就继发了铜绿假单胞菌的院内感染,在原来疾病的基础上雪上加霜,导致生命危险!
开头那个痴迷网游的小伙子,就是因为长期上网、营养不良也缺乏运动、缺乏阳光,肺脏变得很虚弱,被铜绿假单胞菌误以为没活力了,该分解掉了,结果发生了铜绿假单胞菌肺炎,花了好几万才救回来……
铜绿假单胞菌是重要的院内感染条件致病菌,约占世界范围内院内感染细菌的10~15%。我国13家大型教学医院医院获得性肺炎的调查结果显示,铜绿假单胞菌的分离率为20.9%,占据第2位,需要高度重视。

为什么铜绿假单胞菌不侵犯健康人?
这还要从上帝说起,她管理地球,不能由着铜绿假单胞菌胡来,这个腐生菌能溶万物,不限制一下会乱套的。所以上帝给这个小儿子铜绿,设置了2条家规:
1.最适宜生长温度是25-30℃。人体的温度是36-37℃左右,这个温度的铜绿不是最强悍的。只有当重病之人死亡后,体温下降至25-30℃范围时,铜绿才会激活,快速繁殖并分解油脂和有机物。
而且铜绿在低于4℃时就会休眠,所以无名尸首可以放在太平间冷库里保存(其它腐败菌在低温状态下也会休眠、活性降低)。

2.上帝还派了监工,监督这些铜绿假单胞菌,监工的名字叫多形核中性粒细胞。
多形核中性粒细胞是对抗铜绿假单胞菌感染最重要的防御力量,正常健康人血清中含有调理素及补体,可以协助中性粒细胞和单核细胞-巨噬细胞吞噬及杀灭铜绿假单胞菌!这些免疫细胞会不定时巡逻人体,一旦有绿脓杆菌从生物膜中偷偷跑出来准备开工,就会被吞噬灭杀,所以正常人不会感染。
就是说,只有各种原因导致低体温或者免疫力低下后,比如烧伤后低体温、皮肤粘膜破损、留置导尿管、气管切开插管或免疫机制缺损时才会感染铜绿假单胞菌,这是一种有死亡气息的腐生菌。

研究证实,正常人的下呼吸道(肺脏和支气管各级小分支)并不是无菌状态,存在着细菌定植,它们和谐共处。国内学者对2660例正常人下呼吸道的痰标本进行了检测,447例检出条件致病菌,检出率为16.8%,其中铜绿假单胞菌占2.1%,金黄色葡萄球菌占1.7%。就是说,正常人身体里也有铜绿假单胞菌,和谐共处,它们在生物膜下以低代谢状态沉睡。我们只要体温正常,白细胞正常(免疫力正常),它们就不会醒来。而当人体死亡后体温降低,或者发生慢阻肺,支气管扩张,囊性肺纤维化,慢性肺脓肿,肺结核等肺正常结构遭到破坏的病人,局部免疫监控功能减退,这两个触发机制出现任意1条,铜绿就会苏醒,分解油脂和有机物,从而造成病人发生铜绿假单胞菌肺炎。
发生铜绿假单胞菌肺炎后,肺部CT会呈现什么表现?
有些病人病史和症状不典型,而这种感染需要做专业的针对性治疗,否则会有生命危险,所以CT征象很重要!
1.铜绿假单胞菌肺炎早期影像学表现与支气管肺炎相同,为双肺多发的实变影,可以按小叶、亚段或段分布,斑片状或融合灶,其病理特征是血管侵袭和坏死,可见微脓肿、出血和局灶性坏死,所有肺叶均可受累,但其所致社区获得性肺炎以右肺上叶受累为主。
2.某些不常见的影像学表现,可以呈现大叶性实变,多发结节状阴影或网格状表现,需要密切结合病史。

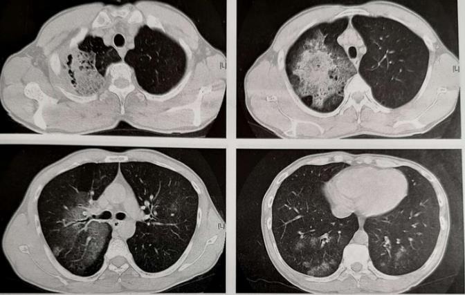
就像这位老爷子,有多年的支气管炎肺气肿,肺部免疫力减退,感染铜绿后发生右上肺为主的病灶,已经融合为大片实变,边缘有模糊的磨玻璃影,内部有坏死和小空洞提示为化脓性炎。后来确诊为铜绿假单胞菌肺炎,因为诊断及时,用药合理,抢救成功了!
这类病人在临床表现常为突然发病,伴有寒战,发热和严重的呼吸困难,咳黄色或黄绿色脓性痰,原有肺部慢性疾病的病人,平时常伴有慢性咳嗽咳痰,当出现黄绿色脓痰,呼吸困难加重及肺功能进行性减退时,应考虑铜绿假单胞菌感染的可能,要及时正确诊治!

铜绿假单胞菌肺炎的治疗
本文一直强调,铜绿好比上帝的小儿子,受到很多宠爱,这是为什么呢?
铜绿假单胞菌对多种药物天然耐药,比如氨苄西林,阿莫西林,头孢曲松、头孢噻肟、厄他培南、四环素,以及复方磺胺甲噁唑等抗生素天然耐药,就是说,这些抗生素对铜绿感染都是无效的!而且使用其它抗菌药物后还容易发生获得性耐药。
上帝还赋予了铜绿假单胞菌5567个基因编码,相比之下流感嗜血杆菌只有1714个基因编码,而细菌只需要1500个基因,即可保证生长与繁殖。如此庞大的基因库,使得铜绿假单胞菌获得很强的耐药能力。上帝对它确实有点偏心,也许是对它常年呆在腐臭的油脂堆里的奖赏吧,毕竟没有铜绿为代表的腐生菌,就没有地球表面的肥沃养料,万物繁衍。

所以对于医生而言,一定要选用正确的抗生素,不要滥用,避免其发生耐药,变成“超级细菌”!
2014年铜绿假单胞菌下呼吸道感染诊治专家共识指出其治疗应遵循以下原则:
1.选择有抗铜绿假单胞菌活性的抗菌药物,通常需要联合治疗;
2.根据药动学/药效学理论,选择正确的给药剂量和用药方式;
3.充分的疗程;
4.消除危险因素(导致免疫力下降的因素和感染途径等);
5.重视抗感染外的综合治疗。
所以,铜绿假单胞菌的生活史告诉地球人,合理用药,合理使用抗生素,很重要!
最后补充一个小知识点:铜绿假单胞菌,就是我们通常说的绿脓杆菌,因为能产铜绿色的绿脓素和青脓素,属于假单胞菌属,后来就正式命名为铜绿假单胞菌。
#湖南医聊超能团# #健康科普排位赛# #她健康计划#