关于儿童前臂骨折治疗的问与答,问倒老师系列之十八
Level of Evidence:Single Doctor’s Opinion
学生:骨科住院医生某甲老师:小儿骨科老医生某乙
学生: 这两天有两个儿童前臂骨折的病例在骨科同行中引发很大的争议,几乎是一边倒的指责“治疗不当”。一例是11岁的男孩,摔伤后前臂远端骨折,夹板固定11天后再移位,医生做了切开复位内固定。另一例是摔倒致伤的6岁孩子,医生做了微创“创新”的外固定架固定手术,您怎么看?


老师: 这两个孩子 我都会首选保守治疗 ,都可以获得很好的治疗效果。
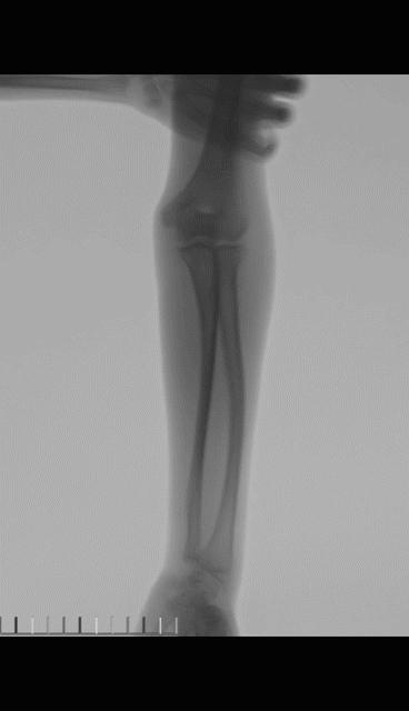
学生:您有前臂骨折保守治疗的病例吗?
老师: 下面两个病例,分别是9岁4个月男孩的前臂中段骨折,保守治疗后3个月骨折对位、愈合良好。另外一个12岁男孩,早期外院保守治疗,三周时骨折再移位,于我院再次整复后恢复满意。



学生:6岁孩子的前臂骨折,可以用外固定架固定吗?
老师: 你这个问题让我想起有一次我问AO小儿骨科代表、我们的老朋友Theddy Slongo医生的一个问题。我问他,Ganz截骨术是很好的矫正青少年和成人髋臼发育不良的手术方法,那对于髋臼Y型软骨没有闭合的大龄儿童髋臼发育不良,究竟可不可以做Ganz截骨术呢?
Slongo的回答是:Good question, but also a wrong question,关键在于“does it make sense”?从技术角度来说,6岁的前臂骨折当然可以做到“外固定架固定”,关键在于, “如果不手术能获得挺好的结果,即便手术效果挺好,为什么要手术呢?”
学生: 可是, 片子看起来骨折对位非常好,家长很开心啊 ?我们的治疗目标不就是希望病人开心吗?
老师: 让病人和家长开心当然很重要,不过,医生有责任和义务让家长理解, 什么是推荐的治疗选择。
像这两个病例,医生都应该努力让家长明白,孩子和成人区别很大,骨折后有非常强大的塑形潜力,年龄越小这种塑形潜力越巨大,不需要像成人那样追求“解剖复位”。可以给家长看以前治疗过(或者经典教科书上)的典型病例,让家长理解什么是儿童骨折后的塑形。很多时候,在治疗方式选择上,病人和家长的认识会存在局限性,医生应该解释各种治疗的利与弊,就像这两个病例一样,如果保守或者手术治疗,治疗过程、周期、风险、花费、近期远期结果会怎么样,做好充分的知情告知。

学生:如何做好前臂骨折的保守治疗?
老师: 骨折保守治疗其实没有想象的那么简单。骨骼受到肌肉包绕所形成的拮抗/协同作用中,骨骼完整时处于良好的平衡之中。而一旦发生骨折,由于所附着肌肉抵止点的不同,原本的平衡状态相应被打破。由于会受到肌肉力量的牵拉,骨段会在“优势”肌群作用下发生移位。因此,不同部位骨折,由于受到不同肌肉牵拉会出现不同的移位模式。我们需要理解受伤时为什么骨折会发生这样的移位,不固定会进一步怎么移位,如何逆损伤机制进行骨折复位,如何固定才能对抗这种移位的“趋势”,等等。同时,还需要考虑不同骨折类型时骨膜软组织“合叶”在哪一侧,如何利用好这种“合叶”。
前臂远端骨折相对表浅,肌肉附着也少,外固定相对容易维持,临床用中医传统前臂夹板或者西医推荐的塑形良好的前臂石膏管型,都比较容易维持住骨折对位。而前臂近1/3骨折,附于骨折近端的肱二头肌与旋后肌均为跨肘关节肌肉,一般的前臂夹板就不能很好维持放松肌肉的屈肘、前臂旋后的位置,所以就不太适合。



学生:成人前臂骨折治疗时要求“按关节内骨折”处理,对儿童前臂骨折治疗有什么指导意义吗? 老师: 近些年来,随着患者对伤后功能要求的提高以及医生认识的不断深入,目前认为尺桡骨参与肱尺、肱桡、上尺桡、下尺桡、桡腕关节等上肢多个关节等活动,前臂在旋前、旋后时桡骨围绕尺骨旋转。成人前臂骨折治疗时应特别注意桡骨弓的重建或维持以及骨间膜的完整性。桡骨弓如未能恢复到对侧前臂的5%以内,前臂旋转功能损失将超过20%。残余成角畸形同样会造成旋转活动受限。由于这些独特的解剖关系,手术是成人前臂骨折的基本治疗方法。



治疗儿童前臂骨折时,也并非都只能保守治疗这一条路,对于骨折不稳定、保守治疗难以维持的病例,同样应该手术治疗。
学生:儿童前臂骨折中,哪些是不稳定、保守治疗效果不好的? 老师: P. Schmittenbecher等回顾分析了1143例儿童前臂骨折,97.8%接受保守治疗,随访3-13.5年。结果中或差的比例为13.9与6.9%,有57%需接受二次骨折整复。提出骨折保守治疗疗效不佳与骨折类型密切相关:前臂近1/3骨折、同平面双骨折以及骨折线斜行合并背向成角。对这些儿童前臂骨折,治疗选择时需要警惕。
治疗儿童骨折时,虽然大家经常说“儿童不是成人的缩影”,强调骨折有一定的塑形潜力。不过,在骨折治疗时,同样需要遵循 (成人)骨折治疗原则,例如:重视软组织保护、关节内骨折需要解剖复位、开放骨折的处理、中心性固定vs偏心性固定、简单骨折要加压固定、粉碎骨折选桥式固定、应用锁定钢板时要长跨度低密度、合理选择置于张力侧或压力侧,等等。骨折治疗选择时也需要权衡考虑付出、收益、花费、结果以及并发症风险。
对于大龄儿童、不稳定型前臂骨折,目前首选骨折闭合复位弹性髓内钉固定。


学生:具体就这两个孩子,都已经做了手术,您有什么建议吗?
老师: 儿童和成人不一样,骨质弹性大,特别是小年龄儿童,经常很难做到“坚强固定”,另外,孩子都比较好动,“不痛则动”,手术后一段时间的外固定不会引起像成人那样的关节僵硬,所以,不需要像成人骨折治疗那样“坚强固定、早期活动”。过早活动反而影响骨折愈合,两个孩子建议都需要佩戴三角巾辅助固定。
学生:会出啥问题啊? 老师: 对于11岁的孩子来说,切开复位钢板固定,损伤太大,对骨折端愈合微环境影响很大。如果术后管理不当的话,会大大增加骨折不愈合的风险。就像下面例子中的5岁孩子,前后经历了5次手术,反而问题越来越严重……

学生:……,but why?
老师: 关于儿童骨折治疗,小儿骨科医生都知道Mercer Rang说过一句话:Children Are Not Just Small Adults。意思是儿童不是成人的缩影/缩小版,有很多儿童自身的特点,不能简单套用成人治疗方法来处理儿童骨折。由于生长潜力,儿童自然修复和塑形能力强,残余畸形依靠骺板生长可自我调整;愈合后常存在局部过度生长,但随生长可自我矫正,多数情况下不强求解剖复位;骨折累及骺板或治疗不当损伤骺板,导致生长紊乱。
像下面这个10岁孩子,前臂远端骨折手术后8年,桡骨远端骺板早闭出现严重腕部畸形。所以,需要警惕,儿童“骺板”其实是把双刃剑,保护好了才能利于治疗,一定不能损伤它。



学生:儿童骨折方面,您有什么推荐的学习资料吗? 老师: 关于儿童骨折的参考书,经典的Rockwood & Wilkins’ Fracture in Children内容非常丰富,是治疗儿童骨折的百科全书,已经更新到第八版了,并且已由西安红会医院的颉强主任主持翻译成了中文。Mercer Rang和Dennis Wenger合著的Rang's Children's Fractures图文并茂,也非常适合于年轻医生阅读。另外,我个人非常喜欢Kaye Wilkins的互动式教学模式的儿童骨折的系列讲座,老爷子2017年连续更新推出了18个系列讲座,amazing,都可以从Globe-help上找到。

#写在最后#
这些年来,在大家的共同努力下,小儿骨科医生整体不管是从规模上、诊治数量上都有了指数级的增长,诊治规范方面也有了相当的提高,在同其它专业的交流方面也做了大量工作。但是,在小儿骨科的规范化培训和教育方面,我们仍然有很多的路要走。


对于主任们:让人称道的是治疗好了多少病人,而不是计算您做了多少手术,把不应该手术的做了手术,手术选择不当,真的不值得炫耀。请心存敬畏,用好手中的手术刀。
对于年轻医生:要多翻书,多和同行交流,让老师带领着做一些积累经验,很多手术绝对不是单纯的看看书就可以照猫画虎做好的,不要一腔热血,自己给自己打气,一拍大腿“干就是了”,稍有不慎都可能造成大型车祸现场。也要勇于质疑你的主任、老师。
无他,一切为了孩子。