老大爷八十岁了,最近几天胸闷不适,加重一天,没办法来到医院。十六年前老大爷得过肺结核,这次以为疾病复发,做了个胸部CT扫描。
双肺多发的病灶,有的已经钙化,陈旧的结核灶。但是,左肺上叶一个哑铃形状的病变,引起重视。



左肺上叶病变可见分叶,尖后段支气管欠通畅。影像上考虑有肺癌的可能,但是鉴于有肺结核病史,还需要慎重考虑。
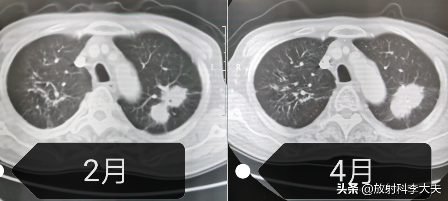
病人回家吃了两个月的抗痨药,四月份回来复查。


哑铃长大了,分叶征更明显了。两个月的时间,病变增大,说明抗结核无效,基本上排除结核,肺癌可以考虑了。

随后病人进行了穿刺活检,病理结果是:低分化腺癌。
因为结核病灶的多灶性,多形态,多钙化,所以有时候会掩盖肿瘤的病变,但是要记住结核形成肿块比较少,可以有多个结节,一般都不大,并且不易聚集。
当结核病人,遇到肿块时,一定要做好鉴别,提高警惕。实在不好区分,可以适当随访抗结核治疗,或者穿刺活检。
有的研究认为肺结核病人再患肺癌的风险较无肺结核者约高11倍。
肺结核病人更容易发生肺癌的主要原因概括以下几点:
- 结核杆菌长期的刺激,导致了病灶本身及邻近部位上皮组织化生,刺激细胞增殖和扩散,进而衍变成原位癌甚至癌变;
- 细胞免疫功能异常导致DNA变异,细胞出现不可控性增殖,从而形成肿瘤;
- 结核修复后,遗留的瘢痕,阻碍淋巴系统回流,导致致癌物质的增多和聚集,容易诱发瘢痕癌变;
- 长时间口服抗结核药物,促进癌变过程。
参考资料来自整理

#健康科普挑战赛# #清风计划# #湖南医聊超能团#