还在矫正中的小仙女一直在记录自己的矫正历程,感谢她的分享与信任,正畸之旅才刚开始,只要好好戴牙套,就能遇见更美的自己~
以下内容转自患者分享:
23岁女,工作一年,坐标杭州,某天一觉醒来突然觉得自己想正畸 (不是…
契机 其实从小就有点龅牙,所以小时候我妈带我去咨询了一个一牙医朋友,那个叔叔不建议我正畸,因为我牙齿情况不那么明显,而且是骨性的前凸,所以正畸效果也不会像别人那么好,再加上我本身后面的牙齿都挺齐的,所以就听了医生的建议没有整。但是随着年龄增长,我觉得牙齿前突的情况好像变得比以前明显了,也会一直因为在乎自己的牙拍照都笑不露齿,正畸的想法其实一直在我脑子里兜圈子。
面诊➕洗牙但是决定去做还真是一觉醒来突然觉得,我应该去正畸,然后就开始在知乎上搜集杭州正畸医生的功课,定了两个推荐比较多的医生。九月底去浙二和诊所都面诊了一次,浙二的医生给的方案是拔4颗牙加4-6颗骨钉戴传统托槽,诊所医生给的方案是拔4颗牙不用骨钉戴隐适美,其实差不太多,但是由于我比较倾向隐适美,最后决定在
赵陈皖医生这做矫正。
医生说我是 骨性加牙性,以牙性为主 的前凸,还有 深覆合 ,后牙咬合是牙尖对牙尖,所以矫正也是主要改善这几点。矫正周期在2年左右,总共66副牙套,到31副上牙矫正完毕,后面都是在调整下牙的大牙往前移。牙片和牙模后续补上~
因为我的牙周情况比较不理想,牙结石很多,黑三角很多,之前一直没意识到洗牙的重要性,然后拍的片子显示前牙牙槽骨有轻微的吸收,医生让我一定要先把牙周治好,等牙周稳定了再矫正。所以国庆回家我就洗了牙,还是小时候那个牙医叔叔给我洗的哈哈,他再次提醒我我的牙齿正畸效果可能没有那么的好,不过我心已决,不做的话我可能一辈子都会想着这件事,不想后悔嗯。
拔牙➕龈下刮治国庆后回杭州,第二天就去诊所 拔牙 了,长大后第一次拔牙其实特别紧张,还好有一位小天使专门从天津赶过来陪我 (让我泪目一下… 先拔了右边的两颗4号牙,就是第一颗磨牙,拔牙会打麻药,医生也很温柔,所以除了听到牙齿嘎嘎响外,没有其他不适。拔完之后咬着棉球,在休息区坐着跟小天使聊天,我感觉我的嘴巴不是我的,说着话口水流往外流…咬了半个小时之后吐掉了棉球,但是下牙还是流血,助手就再给我咬了一个,我咬了十分钟就吐掉了,随它去吧!然后坐地铁回家的路上,我一直嘴里叼着纸巾,因为血夹杂着口水一直往外流,还好戴着口罩……回家后躺了一下午,醒来发现自己嘴角流着血噗…吓坏了小天使哈哈。其实晚上就不怎么流了,吃了小天使做的菜和米汤(本来要做粥来着 ),然后我吃饭的姿势就跟水獭一样…

过了一周后去拔另一边,还是一样,下牙流血流了一个下午,在工位叼着纸巾吐血哈哈,到晚上就好多了,然后开始喝粥。
但是拔牙医生建议我去看一下牙周医生,牙龈有点红。于是又过了一周我去看了牙周医生,说我有龈下结石,正畸的话需要做 龈下刮治 ,说做就做,又下一周我就去做了龈下刮治,一次刮完,还是有点难受的,刮刀伸到牙龈里面会痛,不过忍忍就好了,刮完医生还教我怎么使用牙线,正确刷牙。刮完之后一天我只喝了蔬菜汁,避免塞牙,然后开始每餐使用牙线,刷牙,好好爱惜自己的牙齿。约了牙周医生一周后复诊,说要检查一下我刷牙刷得认不认真哈哈,就是明天!有种要交作业的感觉!
然后我问了下我的牙套啥时候到,助手说11.2发货,约了11.5下午初戴牙套!!!没错!就是下周四!我已经迫不及待了,准备工作做了一个月了!等我戴上牙套再继续!初戴
11.5初戴牙套,先在牙齿上固定附件,然后试戴牙套,然后医生和助手会告诉些注意事项,送了隐适美盒子,咬胶,正畸蜡,总共过程一个小时出头。注意餐后牙线刷牙刷牙套,一天至少戴够20-22小时,戴上之后要咬咬胶。先上图戴之前:

戴上后:

牙套装备:添加泡腾片,牙套刷,牙线,牙周益生菌啫喱,取牙套的工具

我刚戴上的时候,感觉不是很明显,甚至还感觉太温和了。助手说这是我所有牙套里最舒服的一副了,我还嫌不够酸痛。但是到了晚上回家的时候,突然,就开始疼了,不过还能忍受。真正的地狱是睡觉前第一次摘下来再戴上去的时候,那个酸爽!我眼泪差点就掉下来了!在厕所里站着靠着扶墙各种缓了好几分钟,才去床上躺尸…不过第二天摘戴就没那么痛了,后面越来越适应了。
第一天戴我没吃晚饭,结果掉秤一斤,第二天我就吃了肯德基,那时候还是能啃的动鸡翅鸡腿的,但是三四天后,我只能喝粥惹,X﹏X,虽然戴着的时候已经没什么感觉了,但是一咬合就痛,不能完全咬上,前牙咬到就很疼,还会咬到附件,所以东西都是随便咬咬就吞了,再也不是吃嘛嘛香的我了,我会瘦吗我会瘦吗!等我换下一副牙套再回来康康!
正畸第7副 目前复诊两次,第一次因为用牙线把一个附件崩掉了 ,第二次是去领新牙套。每次领5副,每副两周,现在正在戴第七副。
前5副都在移动拔牙位置旁边的牙齿,戴到后面咬咬胶都不痛了,第6副开始移动前牙,尤其是现在的第7副,我感觉到前牙明显的酸痛,仿佛回到第一天戴牙套的时候。
咬胶真的是消耗品,最开始咬咬胶没有那么勤快,就是戴上后咬几分钟,觉得咬胶还挺耐用。但是自从我开始每天咬半小时到一小时的咬胶,一周不到就咬烂一个。然后就去网上买了实心的咬胶,感觉比空心的耐用很多。
现在其实吃东西基本上想吃啥吃啥,吃完用牙线刷牙,已经习惯了这样的流程。就是吃东西的次数要控制一下,不然时间戴不够,我一般一天两餐。其他的好像也没什么,还是很庆幸自己选了隐适美,清洁起来比较方便,也能随时观察到牙齿和牙周的情况。
下次复诊是3月底,我生日的前一天哈哈,医生说下次就要挂皮筋了,等挂皮筋了再来分享~
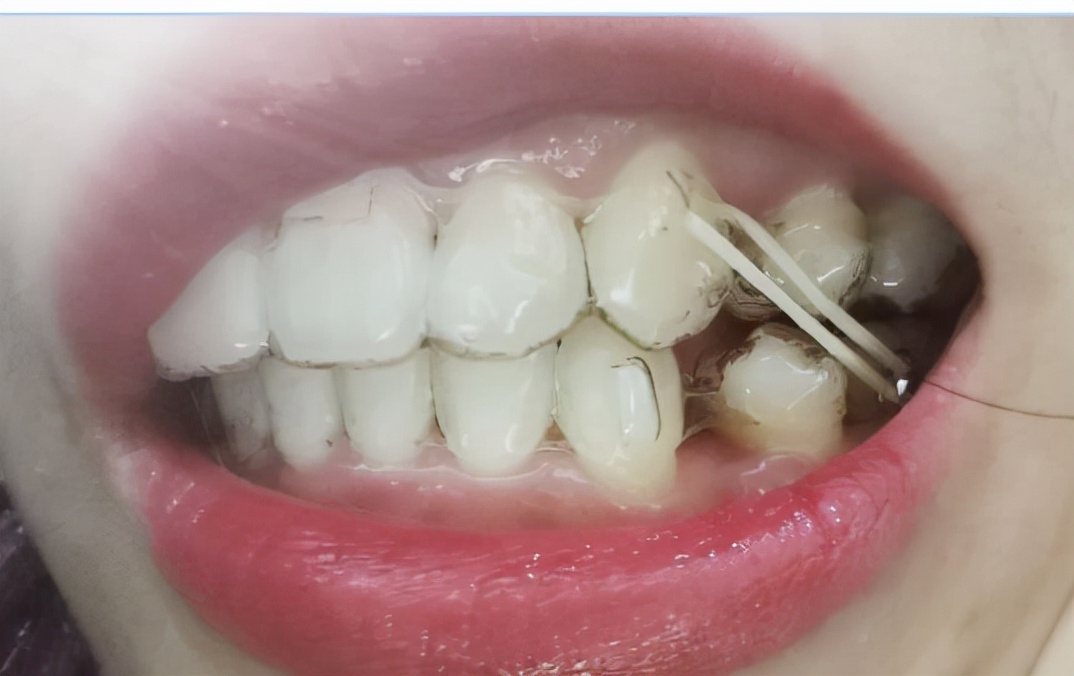
正畸第10副 3.18,因为赵医生下周要去讲课,所以提前复诊挂皮筋啦!医生说我牙套很贴合,牙齿移动得也挺好的,牙周医生也说我牙周保持得不错~有种考试拿了满分的感觉,嘿嘿为了挂皮筋,额外在下牙大牙上粘了2个金属附件,一边一个,上面挂在上牙牙套预留的位置,如下图。

金属附件比之前的更容易脱落,张大嘴和咀嚼都要更加小心⬇️

皮筋一天换一对,咬完咬胶之后戴上就行。我觉得还是很方便的,先用皮筋勾住金属附件,再拉上去勾住牙套就可以了,两秒钟~皮筋加力了三天,觉得牙齿咬东西比之前更痛了,不过依然不影响我吃嘛嘛香
这次医生又给了我5副牙套,下次复诊就是在6月份啦~
不知不觉戴牙套五个月了,唠点心得体会,目前最明显的现象就是,一摘牙套就像解除封印一样开始吃 ,要不就饿死,要不就吃个够,不存在只吃一点或者少量多餐的情况。又同时在进行减肥,所以每天就是早饭酸奶或者八宝粥,午饭沙拉,下午喝点酸奶或者不吃(省一道牙线的功夫),晚上去挥洒汗水,洗完澡躺尸修仙,饿了就看吃播以毒攻毒,逐渐进入了早睡早起的健康作息。感觉一切都在有条不紊地进行中,牙套其实存在感很低,也很庆幸是做的隐适美,选择了靠谱的医生 ,那等我回来鸭~
以上就是患者的分享内容啦~
任何牙齿矫正方面的问题,欢迎大家私信联系我。