长沙晚报掌上长沙6月29日讯(全媒体记者 朱炎皇 通讯员 肖晓霞)“我以为是空调吹多了感冒,没想到竟是凶险的心梗!”今日,回想起发病时的情形,47岁的刘先生仍后怕不已。
刘先生是北方人,好重口味饮食,他平日里应酬多,烟不离手、酒不少有。身高1.73米的他体重达100公斤。
近年来,刘先生被查出高血脂,他并不在意。这周,刘先生来长沙出差。盛夏的高温让他好不适应,忙完一天工作的他已是大汗淋漓。回到酒店后,他迫不及待地打开空调,吹着冷风休息。
躺下还不到半小时,刘先生突然感觉胸闷、后背胀痛,并伴有恶心、心悸、出汗等不适。
“估计是吹多了空调、感冒了,到医院开点药算了。”于是,刘先生来到了酒店附近的医院。
完善相关检查后,结果显示刘先生存在急性下壁心肌梗死的可能。由于这家医院没有收治心梗的条件,于是刘先生被迅速转送至长沙市第三医院。
该院心血管内科四病室主治医师刘佩动态监测其血清肌钙蛋白,其中一次结果竟高达11微克/毫升,比正常值高出800多倍(正常值上限为0.013微克/毫升)。
结合症状与心电图结果,刘佩判断心肌梗死诊断明确,如果不能马上疏通堵死的心脏血管,患者随时有可能猝死。
可是患者出差在外独身一人,随身没带证件及财物不说,连家属都没有,如何签字手术呢?“事不宜迟,先手术救命再说!”科室主任王勇果断决策,立即开通绿色通道,第一时间将刘先生送入介入治疗室。

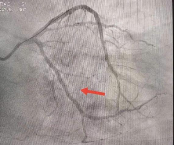
王勇带领介入团队争分夺秒,从血管穿刺到冠脉造影完成仅用时10分钟左右。造影结果显示,刘先生回旋支急性闭塞病变,前降支重度狭窄病变。
团队密切合作,导丝通过、球囊扩张、支架置入,大约5分钟左右,闭塞的血管得以开通,刘先生胸闷胸痛的症状消失,生命危机得以解除。
“我怎么会突发急性心梗这么凶险的疾病呢?”刘先生纳闷。王勇解释,刘先生突发心梗,与他长期吸烟、饮酒、重口味饮食,少动、肥胖有关,而在高温下劳累工作也容易诱发心梗。
“抽烟、不运动、不合理饮食等不良的生活习惯是造成目前心梗患者增多、并呈年轻化发展的重要原因。”王勇表示,急性心肌梗死随时可能出现心律失常、心衰、心脏穿孔、心脏破裂等并发症,有非常高的猝死率。
因此,患有高血压、高血脂等疾病,有着吸烟、喝酒、肥胖等高危因素的人群不可大意,一旦出现不明原因的胸痛、胸闷、心悸等症状,应立即呼叫120就诊,开通堵塞的冠状动脉越快、越早、预后越好。