来源:肿瘤资讯
【35 under 35】风采展示第二轮已经开始啦!本轮正经名叫“病例实战分析”,不正经名叫“互相伤害”,哈哈哈~100位入围选手每人提交一个有意思的病例,并就病例提出一个问题,形成一个病例库!然后100位入围选手从病例库中任意选择一个非自己提供的病例进行解读并回答问题!最后,我们将呈现病例+别人的点评+病例提供者自己的点评,同步展示!

100位小伙伴已将自己的病例提交,并提出了问题,让我们一起先阅读下精彩病例吧!
患者病史摘要
患者,男性,72岁,主因“进食哽咽感伴进行性吞咽困难半年余,加重3个月”入院。
入院评估:
病史:半年前无明显诱因出现进食哽咽感伴吞咽困难,逐渐加重,伴进食后轻微腹胀;伴嗳气;伴咳嗽咳白色黏痰。体重下降3kg。高血压史10年,最高160/90mmHg,服用氨氯地平;心肌缺血史半年余,口服辛伐他汀、阿司匹林;14年前行胆囊切除术。
体格检查:HR: 83bpm,BP: 130/66mmHg,KPS评分90分,BSA 1.7m2。营养中等,皮肤巩膜无黄染,全身浅表淋巴结未及肿大,心肺腹(-)。
入院检查:血尿便三大常规、肝肾功能、电解质、凝血功能、肿瘤标志物、血脂、血气分析等检查发现如下异常:K=3.4 mmol/L;TC=3.32mmol/L;PH=7.48,A-aDO2=57mmol/L,BEecf=3.2mmol/L,PaCO2=46mmHg。
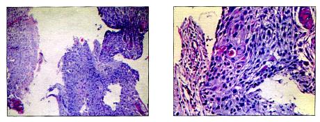
电子胃镜(图1):食管28-34cm见巨大肿物,似有亚蒂,表面溃烂,NBI示不均匀深染,细微结构欠清,取活检,粘膜光滑湿润,贲门闭合良好,胃底粘膜光滑,胃体脑回状,橘红色。胃窦粘膜欠光滑,蠕动正常,色泽白红相间。幽门可见,圆形,开闭自如,粘膜光滑,色泽淡红。十二指肠球部黏膜光滑,未见溃疡。球后未见异常。考虑:食管肿物性质待查,慢性胃炎

图1
活检病理提示:(食管)鳞状细胞癌(图2)

图2
影像学评估:
上消化道造影(双重):食管中段类圆形充盈缺损,考虑肿瘤性病变,可能来自食管黏膜下肌层;慢性胃炎;十二指肠升段憩室(图3)


图3
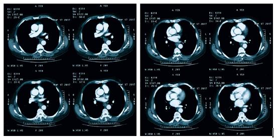
胸部CT增强:食管胸段增厚,左心房水平食道腔内结节,考虑肿瘤性病变; 纵隔内多发淋巴结,部分饱满;双侧胸膜增厚;两肺间质纹理增多,两肺气肿(图4)

图4
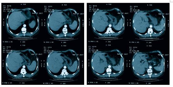
上腹部CT增强:食管胸段增厚,左心房水平食道内软组织结节,局部管腔变窄;胆囊未见显示;双侧肾上腺外侧肢稍饱满;十二指肠憩室;肝胃韧带区及腹主动脉旁多发小淋巴结,部分稍饱满(图5)

图5
超声心动:左室射血分数59.8%,左房增大,主动脉瓣退行性变,三尖瓣轻度返流,肺动脉轻度高压,左室舒张功能减低。
肺功能:肺通气及弥散功能正常
诊断:食管鳞状细胞癌
问题:该患者下一步的治疗方案及依据?危险因素评估?
此病例共有2位入围选手点评,分别为40-刘权兴、45-罗孔嘉 ;病例提供作者为:30-董尚文。详情如下:
点评医生简介:40-刘权兴

点评内容分享:
患者目前诊断考虑为1、食管中下段鳞状细胞癌,因淋巴结状态未知,分期可考虑为cT1N1M0 IIIA期或者cT2N2M0 IIIB期。总之为局部晚期。首先可考虑行PET-CT检查评估患者全身肿瘤情况,得到更准确的临床分期。根据2017版NCCN指南,结合相关临床研究可考虑行2周期新辅助化疗或者新辅助放化疗后评估患者疗效,如有手术指针可行手术治疗。
文献证据:
目前针对中国患者特点,由中国抗癌协会食管癌专业委员会正在进行食管癌新辅助化疗临床研究。入组时间两年,新辅助化疗方案TP方案。纵观目前的临床研究结果食管癌新辅助治疗能否获益仍存在争议,但这些研究均有一定的局限性需要根据实际情况谨慎应用。
由英国医学研究协会食管癌工作组进行的MRC研究显示新辅助化疗组比单纯手术组有显著生存获益,但生存获益来源于腺癌而非鳞癌(Lancet 2002)。而JCOG9907这项随机对照研究,比较了Ⅱ或Ⅲ期胸段食管癌,新辅助化疗联合手术与术后化疗的生存差异,化疗方案选用cisplatin + 5-Fu,结果显示新辅助化疗有显著的生存优势。与之类似的有荷兰CROSS研究提示术前放化疗+手术比单纯手术有显著的生存获益(中位生存期为49.4个月对比20.0个月,P=0.003)。由澳大利亚学者进行的AGITG meta分析也显示以顺铂为基础新辅助化疗方案,显著改善了患者生存,获益倾向腺癌(Lancet 2007)。
FFCD9901对同样以胸段食管鳞癌为主的我国可能更具指导意义。法国FFCD9901研究指出术前放化疗+手术组与单纯手术组的3年生存率无显著差异(47.5%对比53.0%, P=0.94),但前者术后在院死亡率更高(11.3% 对比 3.4%, P=0.049)。但该研究也存在着一些不足,尚不足确定新辅助化疗和放化疗在食管治疗中的地位。一方面该项研究发现其纳入的70%病例为I-II期食管鳞癌患者,另一方面放疗对下段食管病变毒副作用较小,而对胸中上段肿瘤行同期放化疗则可能产生较大放射性呼吸道损伤,加之食管鳞癌淋巴结转移往往涵盖颈胸交界部至胃食管交界部较大范围,对引流区域的照射可能进一步加重放射性肺炎,导致术后死亡率大幅度升高,抵消了诱导治疗的可能生存益处。因此对局部晚期的食管癌患者的术前行新辅助化疗可能会优于新辅助放化疗。目前有两项随机对照试验美国的8891和英国的OEO2两者结果是相互矛盾的。

这两项因其时代局限性均存在着一定缺陷,化疗方案均采取CF方案。 入组时间漫长,参加中心众多,手术的一致性难以保证,该两个研究的局部复发率是日本9907 研究的两倍。因此说服力非常有限。
综合来看局部晚期食管癌患者首选新辅助治疗包括新辅助化疗和新辅助放化疗。由于化疗联合放疗可能导致更多的毒副反应并增加肿瘤组织周围瘢痕的形成,从而增加后续手术难度和术后并发症发生率。为了尽可能的增加患者获益,降低毒副反应优先考虑新辅助化疗。
--------------------------------------
点评医生简介:45-罗孔嘉

点评内容分享:
1940年,吴英恺教授在北京协和医院首次成功切除胸下段食管癌并行食管胃弓下吻合术,开创了中国食管癌外科治疗的先河。此后,随着手术技巧、麻醉技术的提高以及围手术期管理的不断完善,我国食管癌外科治疗在近30年来取得长足进步。目前,经胸/上腹/颈“三切口”食管次全切除及扩大淋巴结清扫术逐步成为食管癌的标准术式。然而,通过大范围切除而达到根治性疗效,围手术期并发症以及远期生活质量,一直以来是业内关注的争议所在。因此,对于食管癌患者的术前评估,既需要准确评价其临床分期,并根据分期进行相应的综合治疗;又需要明确患者基础身体状况及治疗风险,依此进行治疗方案的个体化调整。
依据本例提供的术前评估资料,大致可将该患者诊断为胸中段食管鳞癌(cT2NxM0)。遗憾的是,患者未行超声内镜检查,也没有提供上纵隔CT扫描层面,无法了解双侧喉返神经旁淋巴结(食管癌最为重要的淋巴结引流区)的转移状态。在仅有的CT层面,观察到患者的隆突下、胸中段食管旁、胸下段食管旁、贲门旁以及胃左动脉旁等淋巴结未见明显转移征象。根据CROSS临床研究的经验,该患者属于局部晚期食管癌(Local Advanced Esophageal Cancer, LAEC)。既往经验表明,单纯手术治疗LAEC效果不尽如人意[1-4](图1 单纯手术治疗整体食管癌与LAEC的五年生存率比较)。

为此,以日本学者为代表,进行了一系列术后辅助化疗模式的探讨,如JCOG 8703、JCOG 8806、JCOG 9204等,仅发现有无病生存期延长的优势,只在伴有淋巴结转移亚组存在一定生存获益。而以欧美学者为代表,则热衷于新辅助(放)化疗+手术模式的探讨,如CALGB 9781、FFCD 9901、CROSS等,在LAEC患者中发现有一定的生存获益。当然,来自澳洲的研究组Gebski和Sjoquist分别在不同时期将食管综合治疗进行系统性荟萃分析,均认为新辅助放化疗+手术的治疗模式最为令人满意[5, 6]。
然而,具体结合这位患者的情况,进行新辅助治疗并非为最佳方案。患者男性,72岁,为老年食管癌患者。高血压病史10年,合并心肌缺血病史,长期服用阿司匹林治疗。另外,患者曾行腹腔手术(胆囊切除术),对二次开腹手术有一定影响。根据ACCP指南,该患者为高风险开胸手术病例,需在围术期中密切监测凝血功能的情况下,进行积极抗凝治疗[7]。近期,陈海泉教授公布一项不同进胸路径手术治疗胸中下段食管癌的随机对照研究,其发现标准的经右胸手术可以获得更长的总生存与无疾病生存期,但是在亚组分析中,这种优势仅限于伴发淋巴结转移与残端阳性的患者[8]。因此,传统的“经左胸食管次全切除术”仍然在特定患者群体中具有一定的治疗价值。无独有偶,笔者课题组在近期也发表一篇关于不同手术入路治疗高龄食管癌患者的疗效比较[9]。虽然经右胸手术能够获得更长的无病生存与总体生存获益,但经左胸手术较低的围术期并发症发生率,值得在某些高危老年患者中尝试。当然,对于此例患者,还需进一步完善检查(EUS或者PET/CT),排除纵隔淋巴结(双侧喉返神经旁淋巴结)转移的情况下,再考虑是否进行经左胸手术治疗。
------------------------------------
病例提供作者简介:30-董尚文

病例提供作者自评:
根据该患者进食哽噎感,进行性吞咽困难的典型症状;结合影像学检查上消化道造影提示食管中段类圆形充盈缺损、环形征、钡剂通过不畅,胸部增强CT可见食管胸段增厚、左心房水平食道腔内结节、增强后病灶不均匀强化,胃镜进镜28-34cm见巨大肿物,取活检病理回报鳞状细胞癌,“中段食管癌(鳞癌)”诊断明确。目前,食管鳞癌的治疗仍采取以手术切除为主要手段,辅以放化疗等综合治疗的模式,应积极早期给予患者行食管癌根治切除术。对于有明显外侵或淋巴结转移而无法根治性切除者,可先行术前新辅助放疗或同步放化疗,若病变降期,可考虑行手术治疗。
关于可切除性,该病例瘤体位于胸中段,胸部强化CT显示病变局部无明显外侵,与周围血管、气管存在间隙,肝胃韧带区无明显淋巴结肿大,可以切除;胃体较大,适宜胃代食管。应行EUS评价癌肿食管侵及层次以判断临床T分期;由于淋巴结清扫程度影响生存,应行颈部超声评价有无淋巴结肿大以评价临床N分期,并关系到淋巴结清扫范围;该患者有咳嗽、咳痰的症状,应行气管镜确定有无气管侵犯。2016美国NCCN指南中对于临床分期为T1bN+、T2~T4aN0~N+期的食管鳞癌患者,推荐术前同步放化疗;我国食管癌规范化诊治指南对T3N0、T1~T2N+、T3~T4N0~N+期的可切除胸段食管癌患者,推荐术前同步放化疗。结合患者老年、合并症多、心肺功能情况,对于显示为食管黏膜上皮内癌或未侵及黏膜下层且不伴有淋巴结转移者可评价有无内镜下切除可能,但从胸外科角度更主张选择“胸腹腔镜联合食管癌切除、胃代食管、胃食管颈部吻合、二野或三野淋巴结清扫(颈部超声显示有淋巴结肿大者)。胸腔镜手术创伤小、视野佳、对肺功能的保护明显优于常规开胸手术,在淋巴结清除率及清扫范围和术后生存方面与常规开胸手术疗效相当。该患者胸膜增厚,有胆囊切除史,要注意在操作时可能遇到胸腔、腹腔粘连的问题;为术后早期肠内营养应行空肠造瘘术。术后根据病理分期决定是否辅助化疗,NCCN指南中,对于R0切除的食管鳞癌患者,无论淋巴结是否转移,均不推荐行术后辅助治疗;R1、R2切除者均推荐术后放化疗。我国食管癌规范化诊治指南对 R0切除且无淋巴结转移的食管癌患者不推荐预防性放疗,而对于淋巴结转移或肿瘤局部外侵者,认为术后放疗可能使患者的生存获益。
危险因素方面,术前检查评估并未发现绝对手术禁忌症,心肺功能、肝肾功能、凝血功能未发现明显异常,但患者高龄、心肺功能减低、体重短期有明显下降、合并有高血压和心肌缺血,亦应加强管理以平稳度过围手术期。患者术前“NRS2002营养风险筛查表”评估存在营养不良风险,需给予营养支持治疗;其术前血压控制尚可,围手术期建议停用原有长效改用短效降压药物控制血压在合理范围;患者近半年有心肌缺血病史,服用阿司匹林,术前需停用阿司匹林1周,同时序贯低分子肝素抗凝治疗,直至术前24小时停药,监测凝血功能。心功能方面,应补充BNP、TnI等心功能及心肌损伤等指标,完善心电图、24小时Holter检查。UCG检查见EF偏低,左房增大,主动脉瓣退行性变,左室舒张功能减低,提示患者常年高血压、心肌缺血损害已经存在,建议加用硝酸酯类药物联合扩冠,β受体阻滞剂减轻心肌耗氧,同时做运动负荷试验,明确心功能储备,纠正低钾血症。肺功能检查虽提示通气弥散功能正常,但A-aDO2的增高,UCG呈现肺动脉高压、三尖瓣返流表现,胸CT见两肺间质纹理增多、两肺气肿,血气分析程代碱呼酸,均提示患者肺功能代偿能力已然下降,可通过吸氧后血气评价机体氧合储备能力。根据“2016年多学科围手术期气道管理专家共识”,应给予患者肺功能全面评估及术前预康复治疗,如术前给予雾化吸入、卧床锻炼咳嗽排痰锻炼等,减少术后并发症。
-------------------------------------
以上为【35 under 35】的观点,您怎么看?欢迎广大肿瘤医生在下方留言发表您的观点!
参考文献
以上所有点评参考文献略。
版权声明版权属肿瘤资讯所有。欢迎个人转发分享,其他任何媒体、网站如需转载或引用本网版权所有内容,须获得授权,且在醒目位置处注明“转自:良医汇-肿瘤医生APP”。