
心脏介入治疗是一种新型诊断与治疗心血管疾病的技术,无需开胸,而是在影像引导下穿刺体表血管,将导管送到病变部位,通过特定的心脏导管操作技术对心脏病进行确诊和治疗。在第二十八届长城国际心脏病学会议上,大连医科大学附属第一医院夏云龙教授详细讲述了血管穿刺并发症的预防及处理。
从上世纪90年代的数据统计可以看出,心脏介入的并发症主要含有血管穿刺部位并发症、心律失常、造影剂肾病等,见图1。其中血管穿刺部位的并发症最为常见,主要有血肿、假性动脉瘤、动脉血栓栓塞、动静脉瘘、出血等,如图2所示。

图1. 心脏介入常见并发症发生率。

图2. 血管穿刺常见并发症发生率。
常用的血管穿刺主要有股静脉、股动脉、锁骨下静脉及颈内静脉途径,不同的途径具有相应的穿刺部位,而血管穿刺部位的选择和进针的方向可能引发不同并发症。血管穿刺过程中要求医生操作规范、细致温柔,优先选择股静脉途径。血管并发症在介入并发症中发生率较高,及时发现、处理血管并发症具有重要意义。下面简要介绍血管穿刺过程中常见的几种并发症。
1. 皮下血肿
皮下血肿是由于操作过程中反复多次穿刺、鞘管过粗、使用扩张器等导致血管壁严重损伤,或者术后压迫止血手法不当、时间过短造成的。另一方面,患者术中使用抗凝剂或过度肥胖、凝血机制差、患有高血压、动脉粥样硬化等全身性疾病,也可引发血肿。

图3. 血肿。
2. 腹膜后血肿
腹膜后血肿是由于穿刺点过高而穿入髂外动脉,术后因无坚硬的耻骨梳为压迫支撑点而引起盆腔血肿或腹膜后血肿。腹膜后血肿的失血量往往过大,又不易被识别,若不能及时诊断和治疗,可因失血性休克而死亡。
患者常表现出低血压、腹股沟上方压痛、背部及下腹部疼痛、恶心呕吐等症状,腹部CT和超声检查有助于确诊。80%以上的腹膜后血肿患者采用内科方法可以治愈,内科治疗无效时应及时外科修补止血、介入治疗。
3. 股动脉夹层
股动脉夹层一般发生在患者具有动脉粥样硬化以及血管弯曲等情况时,手术过程中送入钢丝、鞘管或导管遇到阻力后强行送入导致,严重者可以合并血管周围大出血。
股动脉夹层为逆行而上,不久将自动闭合。

图4. 股动脉夹层。
4. 假性动脉瘤
经皮穿刺以后动脉局部出血、血液通过动脉壁裂口进入血管周围组织,形成一个或多个腔隙(瘤腔)。病理表现为收缩期动脉血液经过载瘤动脉与瘤腔之间的通道(瘤颈部)流入瘤腔内,舒张期血流回流到动脉内。
影响假性动脉瘤的形成主要有5种因素,列举如下。
(1)穿刺部位偏低,位置越低越容易形成假性动脉瘤;
(2)动脉导管或鞘管的型号过大,尤其是导管(鞘)口径≥8 F者;
(3)技术不熟练及压迫不当;
(4)术中及术后使用抗凝、 抗血小板或溶栓药物;
(5)术后过早活动。
处理假性动脉瘤的方法有超声引导下注射凝血酶、超声引导下局部压迫、置入弹簧圈、外科手术修补。假性动脉瘤发现得越早,采用局部压迫的处理方法越好。

图5. 假性动脉瘤影像。
5. 动静脉瘘
动静脉瘘一般在术后一周内发生,局部可见包块,触摸可及震颤,听诊可闻及血管杂音。当动静脉瘘小于3 mm时,与假性动脉瘤的处理相似,可以自然闭合;动静脉瘘大于3 mm时,则需要外科修补。

图6. 动静脉瘘分型。
6. 血栓形成
血栓可分为股动脉血栓和深静脉血栓,形成血栓的因素有很多,主要包括以下四个方面。
(1)同一部位反复穿刺或者多次更换导管等损伤动脉内膜的操作;
(2)导管表面不光滑或导管置入时间过长,在导管表面形成血凝块,拔管时血凝块脱落引起栓塞;
(3)血液处于高凝状态或循环不良;
(4)局部麻醉不良、血管痉挛、止血压力过大或止血不良形成巨大血肿。
为避免血栓的形成,通常需要在介入过程中造影,了解栓塞的位置。
7. 迷走反射
迷走反射多为良性过程,可以迅速恢复,如果发现不及时可能造成不良后果。迷走反射多发生在股动脉术后拔除鞘管或压迫时,发生率为3%~5%。患者表现为低血压、心率缓慢、面色苍白、大汗、恶心、呕吐等。
迷走反射与心包填塞的症状相似,容易混淆。谨记迷走反射与心包填塞的最大区别是,心包填塞患者通常是交感神经兴奋,心动过速;迷走反射患者则表现为心率缓慢。
患者出现迷走反射时,应快速补液,静脉注射阿托品(每次1 mg)、多巴胺(3~5 mg静脉注射,5~10 μg/kg/min静脉滴注),对症处理后短时间内可恢复正常。

图7. 迷走反射时的心电图。
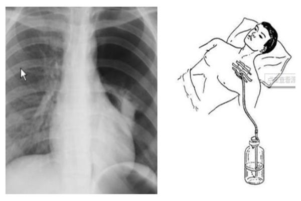
8. 气胸
气胸是锁骨下静脉穿刺中最常见的并发症之一,通常是由于穿刺时针头刺入过深,即针头与胸壁表面成角太大,误入胸腔而引起。最早的临床表现是咳嗽,一旦怀疑患者有气胸,必要时需要拍摄直立位的X线片确诊。
小量气胸不需特殊处理,少数严重的张力性气胸,通常采用闭式引流进行处理。

图8. 气胸。
总之,血管穿刺作为介入诊疗中的基本功,并发症较为常见,一定要引起重视,穿刺中有很多细节问题需要处理,成熟术者的监督指导很重要,团队协作可以减少并发症。
更多精彩讲座视频,登录心在线网站"线上长城会"栏目,随时随地免费学习!
心在线 专业平台专家打造
编辑 刘明玉┆美编 柴明霞┆制版 刘明玉