病例介绍
地点:美国匹兹堡儿童医院消化科
患儿,女,12岁,因骶部麻木、排便后直肠出血来诊。
既往有便秘史。偶尔肠痉挛,疼痛排便,和排便不尽感(里急后重)。早产史,否认有任何容易出血、瘀伤或外伤的病史,否认口腔溃疡、胃灼热或贫血病史。家族史:食物过敏和多形性胶质母细胞瘤家族史。无家族性炎症性肠病、息肉、凝血障碍或血栓形成病史。
体格检查:心率 124次/min;呼吸 20次/min;血压 117/72mmHg;体温 98.8华氏度(37.1℃);氧饱和度 100%(在室内空气中);体重36.4 kg(15%),身高 153 cm(第40百分位),体重指数 15.1(10%)。体格检查显示腹部柔软,有任何肿块或器官肿大。肛门周围的肛门周围皮肤有明显的外周血迹,未见外裂、痔疮、皮损、波动或可触及的肿块。直肠穹窿内无明显大便。骶骨没有任何上覆的皮肤变化或可触及的肿块。没有其他出血、瘀伤或瘀斑。其余的体格检查结果是正常的。
实验室检查显示血红蛋白水平为10.5 g/dl(105 g/L)(平均红细胞体积,90mm3;红细胞分布宽度,13.8)。白细胞计数为15800/ml(15.8×10*9/L)(87%中性粒细胞和10%淋巴细胞),血小板计数为261×10*9 /L。
由于直肠出血、心动过速、轻度贫血等原因,留院观察。在接下来的24小时内,排一次无痛的黑便,血红蛋白水平下降了20 g/l至85 g/l(平均红细胞体积,89.4 mm3;红细胞分布宽度,13.7)。进一步的实验室检查显示网织红细胞计数为1.2%,国际标准化比率为1.1,部分凝血活酶时间为38.1s,血管性血友病检查阴性。患者的白蛋白、红细胞沉降率和尿分析结果均正常。随后的内镜检查和结肠镜检查显示直肠扁平。图1示结肠淋巴组织增生(箭头所示)。

图2为腹部盆腔CT扫描。骶骨前和肛管后的不均匀液体蓄积(蓝色箭头)。液气平(红色箭头)引起肠壁破裂的担忧。B=膀胱。虚线箭头表示直肠腔。

图3示骨盆磁共振成像的轴向观察直肠管腔后的肿块演变。a=前;r=右;o=卵巢。

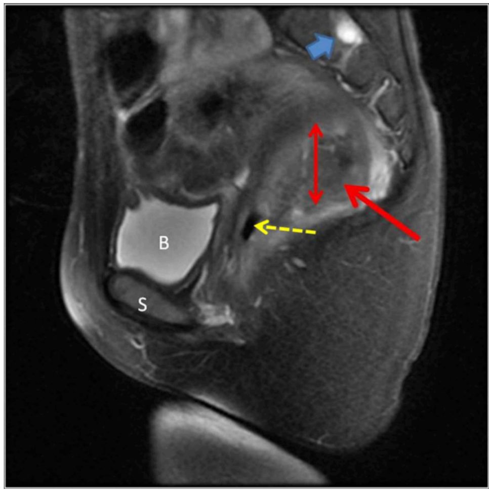
图4为骨盆磁共振成像的矢状面观。直肠管腔(虚线箭头)后的血肿(红色箭头)。偶发性tarlov囊肿(蓝色箭头)。B=膀胱,S=耻骨联合。

诊断:直肠重复畸形。
手术探查发现直肠重复囊肿由炎性组织包围,囊肿不完全切除,因为囊肿的边缘不能清楚地识别,囊肿靠近肛门括约肌。囊肿的病理检查显示结肠黏膜。
值得注意的是,患者的Tarlov囊肿未给予治疗。Tarlov囊肿是一种囊状脑脊液,位于脊椎管的骶骨区(S1-S4)。Tarlov囊肿起源不清楚,如果直径小于1.5厘米,通常无症状。
患者接受了外科手术,后来在手术部位出现脓肿,脓肿引流后接受临时乙状结肠造口术,6个月后行吻合术,目前恢复很好,排便正常。

国内的资料
结直肠重复畸形依形态分为囊性或管状,位于肠壁内或肠系膜内,与正常肠管通或不通,伴或不伴其它畸形。临床表现包括:腹痛、呕吐、腹胀、呕吐、穿孔,黑便,会阴部出现瘘口。囊性重复畸形增大后可压迫直肠和尿道出现相应症状。但症状缺乏特异性,难以诊断,且首诊常常以合并畸形或者并发症就诊。
文献报道中消化道重复畸形常有误诊史,包括:结肠重复畸形穿孔,乙状结肠重复畸形误诊为腰部脓肿,结肠重复畸形末端开口于阴道后壁且与直肠相通导致阴道漏大便20年,全结肠重复畸形并直肠阴道瘘误诊为会阴脓肿。有文献报道1例17岁患儿,曾两次因下消化道出血剖腹探查阴性,多次CT和胃肠镜检阴性,因下消化道出血再次住院时大剂量质子泵*制剂抑**可使便血停止,停药后便血再发,反复两次后再次行小肠镜和胶囊胃肠镜检查阴性,再次剖腹探查发现升结肠管状重复畸形并出血。有文献报道38岁因腹部25 cm×25 cm巨大囊肿来诊的直肠重复畸形。本组有1例先天性直肠肛管畸形术后出现盆腔囊肿,探查并引流后再发,再次手术探查发现为直肠重复畸形。有文献报道报道了1例误诊为复发性会阴部脓肿伴巨大会阴疝的42岁女性直肠重复畸形患者,有复发性会阴部脓肿25年,有多次手术及自发性引流史。部分直肠重复畸形患儿表现为“直肠黏膜脱垂”并排便困难。
回顾此组病例,初次手术确诊率低,多名患儿接受多次手术。

图1 MRI检查示盆底为三腔结构,在重复直肠和正常直肠间存在囊肿型重复畸形,1A横断位;1B矢状位
图2造影可以清晰显示重复直肠和正常直肠被推挤压迫,重复直肠与尿道形成瘘管
病例述评
直肠重复畸形是一种先天性畸形,是由结肠或肛肠黏膜构成的异常封闭的上皮内衬空腔。直肠重复与直肠连续或毗邻,并有肌层(2层平滑肌)和表皮层。大多数直肠重复是囊性的,也可以是管状、外翻或憩室,也可以是会阴或肛门的皮肤瘘(25%-40%)。直肠重复畸形通常位于直肠后。上皮通常是结肠上皮,也可以是鳞状上皮、呼吸道上皮、胃黏膜或尿路上皮细胞。
直肠重复畸形的原因尚不清楚,在白人女性中更为普遍,约1%至8%。直肠重复畸形也可以与其他后肠畸形共存,如Currarino三联症,肛门直肠畸形、骶前缺损、骶前肿物(畸胎瘤、脑膜膨出、皮样囊肿、肠囊肿)。有的直肠重复畸形直到成年才被发现。
主要临床特征包括直肠疼痛、直肠不适、梗阻、直肠肿块脱垂、出血和/或坐骨痛。然而,直肠重复畸形的临床表现取决于多种因素,如大小、部位、感染的存在、胃黏膜的存在和沟通类型(直肠管腔内部或外部)。此外,直肠重复可以压迫直肠和邻近脏器,导致直肠脱垂。异位胃黏膜的存在可导致出血、肛瘘、肛周刺激或顽固性肛周感染。直肠出血也可能由于囊肿本身的刺激或感染而发生。
直肠重复畸形的潜在并发症包括继发感染或破裂或癌变。成人癌变的发生率为12%至18%。
直肠重复畸形的鉴别诊断包括畸胎瘤、皮样囊肿、骶骨前脊膜膨出、血肿、痔疮、直肠脱垂或息肉。后3条诊断属于一般性鉴别诊断,类似青少年的下消化道出血鉴别,要除外感染性肠炎、美克尔憩室、炎症性肠病、肛裂、肛周链球菌性蜂窝织炎、肠套叠、直肠损伤、血管畸形和孤立性直肠溃疡。
直肠检查偶可触及直肠重复畸形的开口。直肠镜检查有助于直接观察开口。此外,钡灌肠、瘘管造影、超声、CT、MRI等检查有助于明确病变范围。腹盆CT对规则的椎体前脊膜膨伴缺陷的鉴别有一定的帮助。内镜超声检查也有助于诊断。即使存在胃黏膜,直肠重复也可能有假阴性Merckel扫描结果,这是由于膀胱本身的生理示踪活性所致。
直肠重复畸形的治疗取决于其部位和是否有感染。手术切除是主要的治疗方法。手术的主要风险包括直肠重复损伤引起的肛门括约肌损伤。这种损伤可能导致大便*禁失**。
总结
★直肠重复畸形是罕见的,被认为是由于胚胎发育的缺陷,并经常与其他结构异常相关。
★在直肠重复畸形中,肠内压迫和囊肿内异位胃黏膜的存在可导致直肠出血。
★诊断性检查包括直肠检查、CT、磁共振成像、超声检查和核素扫描。
★因为囊肿的恶性转化潜力,手术切除是治疗的首选。
★由于囊肿的近端位置的神经支配肛管和括约肌,手术切除可能会导致大便*禁失**。