疝多发于腹部,以腹外疝为多见,是外科的常见病及多发病。根据发生部位,腹外疝又可分为腹股沟疝、股疝、脐疝、切口疝、腰疝、盆底疝等。临床工作中,腹股沟疝、股疝多见,脐疝、切口疝较少见,而腰疝和盆底疝更是少之又少,本文就来说一说那些罕见的疝。
腰 疝
腰疝是一种临床上比较罕见的疝,其发生在腰部,从上腰三角或下腰三角突出。
即一种经腹壁或后腹膜在 12 肋及髂嵴之间突出的疝,是发生在后外侧腹壁的组织缺损。腰疝好发于左侧,上腰三角多于下腰三角。
腰疝可以分为先天性腰疝和后天性腰疝两大类,后天性腰疝根据发病原因又可分为原发性腰疝和继发性腰疝两种类型。
1
诊断
腰疝常见于较瘦弱的老年男性,由于总体较少见,外科医生对其认识不足,经常会造成误诊或漏诊。在接诊疑似腰疝患者时要特别重视体格检查,询问腰部肿块患者是否有腰痛史,肿块在俯卧位时推挤是否可还纳,咳嗽时是否有冲击感等。

作者拍摄
2
检查
超声检查具有经济、方便、无创等优点,能够实时动态观察疝内容物随呼吸的运动情况,因此为首选的辅助检查。腰疝患者超声常提示腰背部筋膜层下可见不均质团块状低回声,边界清晰,其深面肌层回声连续性中断,与腹腔相通,可回纳于腹腔内。
CT、MRI 不仅能明确疝环的大小、周围腹壁肌群薄弱程度及与骨组织的关系,还能提示疝内容物的性质和进一步排除其他性质的病变,可指导临床选择合适的手术方式。
3
治疗
腰疝形成后,不可自愈,手术是治疗腰疝的唯一方法。目前国际上还没有关于腰疝手术治疗的指南,腰疝的手术方式多以开放为主。近年来,随着腹腔镜技术的成熟,通过腹腔镜修补腰疝的技术也推广开来。
1996 年 Burick 等人首先报道了腹腔镜创伤性腰疝修补术。

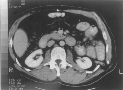
文献截图

CT 显示左侧腰疝(上述文献截图)
与开放手术相比,应用腹腔镜技术对腰疝进行修补可避免广泛肌肉分离,减少术后疼痛的发生,术后舒适度良好,可缩短平均住院时间。
对于缺损较大的腰疝,在腹腔镜下行疝修补术比较困难时应全方位评估后选择合适的手术方式。对于大部分外科医生来说,腹腔镜下行腰疝修补术具有较大的技术难度,需要专门的学习及指导。
闭孔疝
腹腔脏器经闭孔向股三角区突出的腹外疝称为闭孔疝。闭孔疝较罕见,在所有腹外疝中低于 0.07%。闭孔疝一般发生在消瘦、有多次生产史的老年女性患者中,因此在文献中又被称为「小老太太疝」。

文献截图
闭孔是盆腔通至大腿的孔道,由耻骨支与坐骨支结合而围成的一对卵圆形大孔。闭孔为闭孔膜封闭,但留有一细管,管内有神经和血管通过。
闭孔疝位于耻骨肌的深层,股三角区的下端,在闭孔肌的上方,耻骨肌和内收长肌之间。

作者自己画的
1
诊断
患者表现为大腿内侧疼痛,屈曲位可缓解,过伸、内收或内旋时疼痛加重。由于难以触及疝肿块,缺乏像其他腹壁疝(例如腹股沟疝)一样的特异性症状和典型包块,且大多数外科医生接诊此类患者经验较少,因此,闭孔疝的术前确诊往往比较困难,多为术中确诊。
Howship-Romberg 征(HR)是闭孔疝早期且最具特征性的征象,亦是术前做出确诊的主要依据,尤其年老体弱妇女有肠梗阻表现和 HR 征时,应考虑本病。但 HR 特异性不高,患者出现 HR 征时并不意味着一定都是闭孔疝,确诊闭孔疝的患者也并不一定都出现 HR 征。
2
治疗
传统做法是开放手术,并发症及死亡率较高。近年来,随着腹腔镜技术的发展,应用腹腔镜进行闭孔疝手术可达到较满意的效果。但在急性肠梗阻患者中,推荐开放手术。因此闭孔疝的患者还需个体化治疗。
坐骨孔疝
腹腔内容物经大、小坐骨孔突出而形成的疝称为坐骨孔疝,坐骨孔疝在男女患者中的发病率较平均。 坐骨孔疝因较少见,外科医生经验较少,因此术前误诊率高,极易合并嵌顿、绞窄,甚至发生肠坏死。 坐骨孔疝可引起盆腔疼痛,因此针对坐骨孔疝的治疗可有效解决患者盆腔疼痛的问题。
解剖图见上文闭孔疝,根据疝出部位不同,坐骨孔疝可分为 3 种类型:
(1)梨状肌上坐骨孔疝:
此类最常见,疝囊通常在梨状肌的上缘经坐骨孔突出,大多位于臀上动脉及神经的外侧方;
(2)梨状肌下坐骨孔疝:
此类少见,疝囊通常是从梨状肌的下缘经坐骨孔突出,多位于臀下动脉及坐骨神经的内侧方;
(3)棘下坐骨孔疝:
这一类比较罕见,通常疝囊经过骶棘韧带外侧,后方是骶结节韧带,外下方则是髋骨弓,疝囊多位于阴部内血管及相应神经内侧。
1
诊断
直肠指检或经阴道检查扪及坐骨区域包块,嘱患者咳嗽有冲击感,有助于诊断。通常可以借助经阴道/直肠超声、排粪造影、CT、MRI 等影像学检查。
2
治疗
坐骨孔疝一经确诊,唯一的治愈方式同样是手术,包括经腹入路手术、经臀部入路手术及联合手术。一般采用开放手术,文献中也有进行腹腔镜坐骨孔疝修补的报告。具体术式还需根据患者的情况进行个体化选择。
会阴疝
会阴疝是指器官或组织通过骨盆底进入会阴区域异常突出形成的疝,盆内筋膜、肌肉组织如小肠、结肠及膀胱等由薄弱位置突出。 人群中女性发病率较男性高,这可能与怀孕或分娩导致骨盆底功能减弱有关。
根据疝与会阴肌肉的相对关系,可将其分为前会阴疝和后会阴疝。前会阴疝指疝囊位于尿道与阴道之间,后会阴疝指疝囊位于阴道与直肠远端及肛管之间。

作者自己画的
1
诊断
会阴疝患者临床常表现为会阴部包块、排尿排便困难、尿*禁失**、会阴部疼痛、坠胀等。可结合超声、CT、MRI 等辅助检查进行诊断。
2
治疗
会阴疝有多种手术方式,每种手术方式各有优缺点。包括经腹开放入路手术、经会阴入路手术、腹腔镜会阴疝修补术以及联合手术等。尽管手术方式多种多样,但均遵守基本原则:分离疝囊,回纳疝内容物,切除疝囊和修补缺损。
盆底腹膜疝
盆底腹膜疝是由于盆底的肌肉及筋膜等支持结构的退化、盆底腹膜的损伤或过度松弛,在腹内压增高等作用下,Douglas 陷窝逐渐加深,盆底腹膜腔通过直肠前凹陷向下进展而形成。
病因大多是盆底肌肉损伤或先天盆底肌肉发育不良、肌肉及相应结缔组织的退变、过度肥胖或多次妊娠等。盆腔内压力增高的因素包括长期便秘、排便用力、妊娠、分娩等。
近些年作为低位直肠癌标准术式的 Miles 术逐渐增多,因其术中清扫盆底范围较大,包括广泛切除盆底肌肉筋膜及其相应脂肪组织,导致盆腔组织的正常支持结构遭到破坏,因此临床上此病多见的类型为经腹会阴联合直肠癌根治术后的盆底腹膜疝。
盆底腹膜疝的内容物大多为肠管,少数情况下可为大网膜或部分子宫。盆底腹膜疝可分为 3 类:直肠型、隔型及阴道隔型。

盆底腹膜疝-直肠型(作者自己画的)
1
诊断
盆底腹膜疝环口一般很大,临床上很少会引起肠梗阻症状,常表现为便秘、直肠前突或直肠内脱垂等。临床上接诊此类患者可借助辅助检查,例如超声、CT、MRI、排粪造影。此外,还有腹腔造影、盆底腹膜造影等。

坐骨孔疝
2
治疗
盆底腹膜疝的手术主要分为开放经腹手术和腹腔镜疝修补术。开放经腹正中切口能够直视下充分解剖盆底结构,关闭盆底腹膜缺损后,针对具体情况采用相应的盆底缺损修补术。
首发:普外时间
【版权声明】本平台属公益学习平台,转载系出于传递更多学习信息之目的,且已标明作者和出处,如不希望被传播的老师可与我们联系删除