“2017年4月28日,中央电视台财经频道《经济半小时》栏目对最新的肿瘤无创治疗技术——A45肿瘤治疗技术进行了专题报道。
据报道,A45肿瘤治疗技术在国际上称作RDT,也叫放射动力治疗,是一种药械联合的治疗方式。
肿瘤细胞为了生存会大量摄取一种特殊氨基酸,这种氨基酸存在于一种光敏剂药物中,当肿瘤细胞摄取这种光敏剂后,就可以通过光敏剂很好地定位肿瘤。光敏剂就像埋伏在肿瘤细胞内部的*弹炸**,需要医生通过特殊的设备在体外引爆它。
A45的研发团队经过多年基础研究和临床试验,发现A45加速器可以用能量为45mv的X射线引爆光敏剂。治疗前病人会先服用一种光敏药物,然后用这种射线深入到人体组织,通过照射肿瘤细胞内的光敏剂化合物,产生对细胞有毒的单线态氧,诱发肿瘤细胞的死亡。
据A45专家介绍,A45肿瘤治疗技术适用于实体肿瘤治疗,具有精准的靶向性,在消灭肿瘤细胞的同时,可以很好的保护了正常组织,副作用轻微,从而降低肿瘤复发和转移的概率。A45技术为恶性肿瘤患者,尤其是中晚期患者提供了一种全新的治疗方式。

那么A45肿瘤治疗技术对肺癌的治疗效果如何?
据大基医疗公司报道:A45设备已经累积治疗了2000多位患者。相关科研人员对比一组非小细胞肺癌晚期患者使用传统化疗方法和A45肿瘤治疗的对比数据,两年存活率一项,传统化疗治疗是零,A45的治疗达到了35.7%。(该数据可靠性未经全球肿瘤医生网证实)
由于该数据出自一家机构,尚待进一步临床实验数据验证。目前,A45综合解决方案的项目正在申请科技部的“国家重点研发项目”,针对目前A45临床实验数据的短板,计划联合10家医疗机构,开展多中心临床研究验证A45技术的可行性和有效性。以下是部分临床治疗成功案例:
非小细胞肺癌
1、63岁的冯女士2013年5月确诊为肺腺癌双肺转移,当时北京的肿瘤医院告诉冯女士的家人她已经没有手术机会了,只能放化疗,考虑到对身体损伤较大,患者家属拒绝放化疗,四处寻求更好的治疗方案。经过评估,认为可以尝试接受无创的A45肿瘤治疗,患者和家属决定尝试这种最新的疗法。
经过治疗后,2015年复查,右肺病灶明显缩小,稳定,无复发迹象。左肺病灶完全消失,患者至今状态良好。
右肺病灶

2013年治疗前 治疗后
左肺病灶

2013年 2015年完全消失
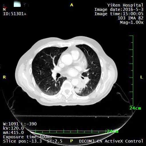
2、张女士,50岁体检时发现发现肺部结节,2016年5月,PET-CT诊断:右肺癌治疗后,双肺复发、右侧肾上腺多发转移灶,接受A45肿瘤治疗复查结果显示肺上三个病灶消退。

左图红色圈内是A45治疗前三个肺癌病灶,右图为治疗后病灶消失
小细胞肺癌
1、患者男性,80岁,小细胞肺癌
13年7月20日被诊断为小细胞肺癌,并伴纵膈淋巴结多处转移,胸水。经A45治疗,患者原发病灶和转移病灶基本消失。左两图为肿瘤治疗前的CT、 PET-CT图像,右两图为治疗后图像,原发病灶和淋巴结转移病灶基本消失,胸水消退,目前患者生活质量良好。

左两图为肿瘤治疗前的CT、 PET-CT图像,右两图为治疗后图像,原发病灶和淋巴结转移病灶基本消失,胸水消退,目前患者生活质量良好。
2、患者男性,64岁,小细胞肺癌
2016年3月,王先生因咳嗽加重就诊于当地医院,支气管镜病理检查提示:考虑小细胞癌的可能性大。
化疗一周期,病情无改善症状加重。
2016年4月,王先生接受了A45治疗,一个月后复查,病灶明显缩小,2016年7月复查,病灶进一步缩小,由于A45治疗具有明显的远观效应,能够激发自身的免疫系统,长期有效的消灭体内肿瘤,2016年12月,王先生肺部病灶几乎全部消失。

治疗前

治疗后

治疗后两个月

治疗后7个月
目前王先生状态良好,没有任何复发迹象。
A45治疗技术是一项比较新的治疗手段,虽然临床试验阶段取得了一定的效果,而且具备副作用小的优势。但从目前的实际治疗案例看,A45治疗像放化疗一样,不会对所有的患者有效。由于A45的治疗费用较高,有一定经济条件的患者可以尝试。癌症治疗需要符合治疗指南和规范,不是所有的患者都适合A45治疗,决定治疗前需要先请权威的专家进行评估和会诊,选择最佳治疗方案。
患者应首先接受治疗指南和规范确认的化疗、放疗、靶向治疗、免疫治疗等标准治疗方案。对于拒绝放化疗的患者,或者以上治疗手段无效的患者,可以考虑A45治疗技术是否适用。
患者可以致电4006667998或登陆全球肿瘤医生网,A45首席肿瘤专家可以为国内患者提供远程会诊和专家在线交流。咨询最新抗癌技术及权威癌症专家,请致电或登录全球肿瘤医生网。
全球肿瘤医生网是由医生组建的专业抗癌技术服务平台,与国内外医院保持密切的会诊和转诊合作关系,可以帮助患者在全球范围内选择最适合的医院、技术、药物、临床实验进行治疗,可以为患者提供终身的抗癌追踪和治疗服务。国内患者可以通过全球肿瘤医生网接受权威癌症专家的会诊,通过平台直接预约前往美国医院治疗,也可以通过平台接受最新抗癌技术评估和治疗。