奚先生健康体检时发现自己的肝功能不正常,进行了相关的肝脏全面检查,如抽血、腹部CT、甲乙丙肝炎病毒血清抗原抗体等等,都不能确定肝功能异常的原因,服用保肝药物也未见恢复正常。半年了,时间就这样一天天过去,奚先生越来越担心,这样下去会不会就肝硬化了,怎么办呢?奚先生带着满脑子的疑问来到苏州高新区人民医院消化科庄剑波教授的专家门诊,庄主任仔细了解并分析病情,建议做肝穿刺活检病理检查。
奚先生:这一穿刺会不会把我的肝脏捅破了,是不是很危险?
庄主任:肝穿刺活检一般相当安全。经皮的肝穿刺活检已有100余年的历史,近年来,由于穿刺器械和操作方法的改进,并制定了严格的适应症和禁忌症,是在B超引导下可以看到穿刺针进针、到了哪里、穿刺后肝脏的情况(也就是在超声的全程监视及引导下进行)。取到的肝脏组织类似1条红色线虫样(2cm红色线状),对肝脏基本没有什么不良影响。
奚先生:肝脏穿刺很疼吧,别看我人高马大的,其实我可怕疼了!
庄主任:不疼!做个局部麻醉再穿刺,就像平时打针一样,真正穿刺只需要几秒钟,加上皮肤消毒、超声引导,整个过程也就10来分钟吧。
奚先生:非得要做这个肝穿刺吗?别的检查不行吗?
庄主任:别的检查都替代不了肝穿刺病理检查。肝穿刺病理检查是直接反映肝脏情况是金标准,而其它检查均是间接反映肝脏情况。
奚先生:已经做了那么多检查也不知道肝功不正常的原因,肝穿刺能确定吗?
庄主任:首先肝穿刺面对药物、酒精、病毒……等导致的肝功能异常,它们的病理表现都不相同,也就是说有可能查出是什么病引起的肝功能异常,不同的疾病治疗方法不同,对今后选择治疗方案有意义。
奚先生:肝穿刺能知道我肝脏病变严不严重?
庄主任:平时经常会遇到这样的情况,有些人没什么症状,抽血化验肝功能轻微异常甚至正常,肝穿刺病理才发现肝损害相当严重已经肝硬化了,也就是说肝穿刺能准确判断肝脏疾病严重程度。所以也可以判断肝脏疾病的治疗效果,以便调整指导治疗方案。
奚先生:肝穿刺前后我有什么准备的?我能吃东西吗?我需要躺多久?需要家人照顾多久?
庄主任:手术前后可以正常饮食,只是别吃太多、太咸、太油腻。手术后你也是个四肢自由的人,你需要卧床休息24小时就回归正常状态了,近日不要进行剧烈活动,我们医生护士一直都在观察您的情况,不需要紧张。
虽然是初次见面,但是经过一系列沟通和交流,奚先生已经充分信任庄主任了,并决定把他的肝脏交给庄主任。一切准备就绪,4月27日下午在超声引导下,庄主任亲自操作,整个操作过程大概10分钟,顺利、安全。

再听听奚先生亲身经历后的体会:
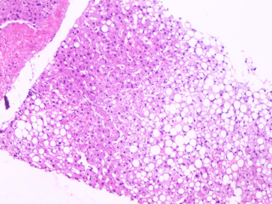
奚先生:这个其实还好啦(会心一笑),没想象那么恐怖,整个过程一点也不疼的,只是操作完第二天打针那个点有点痒,像小蚂蚁爬的。现在我的肝脏情况也搞清楚了,虽然肝功能曾严重异常,其实病理查看我的肝脏只是轻度炎症,没有纤维化,更没有肝硬化,这下我就放心了,医生已经为我制定了专门的治疗方案,我会配合治疗的。

庄主任提醒大家:肝穿刺活检病理检查术远没有字面上看上去这么恐怖,相对安全、无痛苦,是肝脏疾病诊断的金标准,可以评估病情严重程度及预后,也是观察治疗效果最准确的标准。所以肝穿刺检查对肝功能异常的病人来说太有必要了!早检查,早确诊,早治疗,阻止肝脏疾病进一步发展!(陆雯雯)