如果中老年人的牙齿残缺不堪,我们可以通过种植牙烤瓷冠来修复;
假若是处于青少年时期的你,难道要早早步入其行列吗?
很幸运你看到了这篇,新鲜出炉的正畸临床案例!

16岁小静(化名),主诉“牙不齐,有坏牙”前来就诊;
通过一系列检查包括X光片及牙模,牙齿实际现状为:上下牙列轻度拥挤不齐,右上中切牙扭转外翻,前牙对刃咬合,上颌中线右偏1mm,右侧上颌第一磨牙残根,左侧下颌第一磨牙残根、慢性根尖炎。
家长一方面想让闺女的“门面”变整齐,一方面又极度担心孩子那么小,就要戴上“假牙”。

针对家长的诉求,制定了完整的牙齿矫正计划;
首先拔除右侧上颌第一磨牙残根,左侧下颌第一磨牙残根;经过固定矫治27个月,上下牙列排列整齐,覆合覆盖正常,
然后,类似“移花接木”的概念,牵引右侧上颌第二磨牙至右侧第一磨牙处,及左侧下颌第二磨牙至左下第一磨牙处,等待第三磨牙(智齿)自然萌出至第二磨牙位置。
还好,家长赶上了正畸末班车,如果孩子再大些,智齿萌出位置不正,顶坏了邻牙,还如何是好……


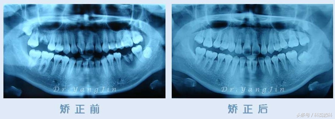
整个正畸疗程顺利完成,小静保存了全口28颗牙齿,咬合关系良好,免去了种植修复两颗第一磨牙!这组是矫正X光片前后对比图,效果非常明显直观!

正面侧面前后对比组图如下,可以看到原本扭转的大门牙已排齐,笑容也变得更加自信!家长悬着的心也就此放下了~

看到这里,不少网友会有疑问,一位16岁小朋友,第一磨牙怎么会蛀成残根?
第一磨牙就是六龄齿,它是最早萌出的恒牙,矿化程度差,合面窝沟深,较易患龋,龋病进展快;当六龄齿萌出、龋齿尚未发生时,可到医院采取预防性措施,常用方法为窝沟封闭法。
因其超强的咀嚼功能和咬合力陪伴我们一生,家长们从小就要有护齿概念,教会孩子正确的刷牙方法,每天至少两次,每次至少3分钟;为了防范于未然,务必保持良好的口腔卫生,并定期每半年口腔检查一次。
