疫情期间,出门不便,很多商家选择宅家谈生意,电话拉订单。41岁的“拼命三娘”罗女士怎么也想不到,自己打了区区一通手机,竟然头晕目眩、视力衰退。专家说,她是血管内膜撕裂,这种病,专盯“低头族”!
一动不动打两个小时手机,抬头天旋地转视物重影
罗女士今年41岁,宁波人,两年前开始做个体生意,平时一年忙到头的她手机不离手,生怕漏掉哪个重要客户的来电。但两个月前的一通电话,让她至今心有余悸,“吓得我三魂掉了两魂半,还以为小命要玩完儿!”

图片来源:视觉中国
3月下旬的一天下午,罗女士在家中接到了一个重要客户的电话,当时她拿着手机,顺势就把脖子枕在床头的木靠背上和客户聊了起来。这通电话一打就是两个小时,她一直维持着这个姿势一动不动,直到脖子酸胀得受不了。
打完电话后,罗女士起身放下手机准备歇歇,突然一阵强烈的眩晕感袭来。“当时就觉得眼前冒金星,整个人天旋地转,路都走不稳”她当时赶紧又躺下,在床上恢复了好一会儿,休整之后,罗女士的症状得到了缓解。她以为是最近工作太累了,并没有当回事,外加新冠肺炎疫情,就先忍着没有上医院。
就这样罗女士忍了一个月,头部眩晕的症状一直没有减轻,反而越来越严重,她甚至看东西也开始模糊不清、出现重影,这下可把罗女士吓坏了,她赶紧到浙大一院神经外科就诊。接诊的医生建议罗女士先去查一下头颈部血管超声以确诊病情。
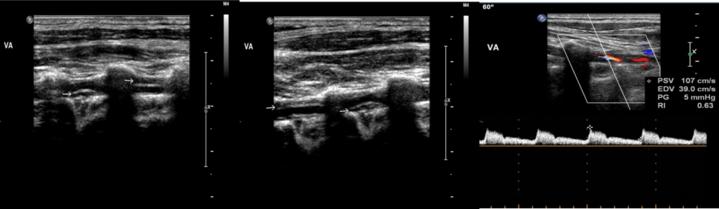
超声显示椎动脉夹层,竟是煲电话粥惹得祸
在超声科,许佳音医生接诊了罗女士,“当时我就对这个病人印象深刻,连在等候B超那一点点时间里她也一直在频繁使用手机打电话或者发微信。”回忆起罗女士的就诊过程,许佳音医生依然记忆犹新,“她当时一直说头部眩晕并视物模糊,我给她做了头颈一体血管超声检查。”

血管超声表现为椎动脉管壁增厚,管腔全程狭窄,诊断椎动脉夹层
头颈一体血管超声显示罗女士的颅外段椎动脉全程管壁不规则增厚,导致管腔全程狭窄,罗女士被诊断为颅外段椎动脉夹层。一般椎动脉夹层与外部创伤有重要关系,许佳音便询问罗女士:“最近有做颈部按摩吗?”罗女士表示自己并不喜欢按摩,只是一个月前打过一通两个小时的电话,打完电话后便开始出现头晕的症状。
“许医生,我当时以为自己是近段时间太累了,想先熬一下,看能不能好起来,结果没想到越拖越严重,现在连看东西都有些模糊了。”由于罗女士的椎动脉夹层症状属于神经内科急症,发生脑卒中的风险极高,许佳音医生建议她立即去浙大一院卒中中心进行急诊对症治疗。在浙大一院卒中中心,徐子奇副主任医师给她开具了阿司匹林和氯吡格雷两种药物对她进行了药物双抗治疗(即两种不同抗血小板聚集药物联合治疗,防止血栓形成),经过一段时间的双抗治疗后,罗女士的头晕症状得到明显改善,视力也逐渐恢复。
长时间牵拉引发椎动脉夹层,这几类人千万要小心
椎动脉位于颅底处,始于锁骨下动脉第一段上壁,连接颅腔,徐子奇表示,像罗女士这样的情况,其实是长时间保持一个姿势打电话,头颈部处于一个体位时间过长,导致椎动脉被过大牵拉,椎动脉血管壁在持续的外力牵拉作用下,引起血管壁内膜撕裂,形成血管夹层。
徐子奇提到,人的动脉血管壁一般有三层膜:内膜、中膜、外膜。外膜由弹力纤维素组成,弹性比较好,不容易破裂。罗女士就是椎动脉血管壁内膜撕裂,导致血往内膜与中膜之间流淌,血流掀起破裂的内膜,造成血管壁狭窄或者血栓堵塞血管,严重时可造成脑中风。
徐子奇表示,外伤是发生椎动脉夹层的重要原因,一般来说发生椎动脉夹层与自发性或轻度的机械性刺激相关。

图片来源:视觉中国
内因:血管壁本身发育不良,结构不良或是高血压引发的动脉硬化、动脉内壁损伤。
外因:生活中过度的屈曲、旋转颈部都有可能伤害椎动脉,如长时间低头玩手机、打游戏、颈部按摩,或从事某些体育活动,如举重、打羽毛球、高尔夫球、网球及做瑜伽,还有紧急刹车时头部惯性前倾等,都可能导致椎动脉夹层。
如何保护和预防椎动脉夹层
近年来,随着“低头族”越来越多,以及不当颈部按摩、瑜伽等,长时间不当的头部体位摆放所诱发的血管夹层越来越多,因此识别并避免这些血管夹层的诱发因素,需要引起更多人的重视、关注。一般来说,椎动脉夹层临床表现有患者脑出血,脑梗塞,如肢体麻木、无力、失语和昏迷等;还有些患者仅表现为头痛和颈痛,有时还会伴有视力模糊。专家建议,一旦发现可疑症状,应及时到医院就诊。还要做好以下预防措施:
喜欢低头看手机、电脑或是煲电话粥的人,不要长时间地保持一个姿势玩,即使从事某些运动,也一定要适量休息,避免长期保持单一姿势。
保护血管,控制好血压、血糖、血脂等,防治“三高”等慢性病,同时戒烟限酒,均衡营养,荤素搭配,平常多吃一些粗粮、蔬菜、坚果、水果,坚持每周锻炼,血管健康,人们的健康才更有保障。