据世界卫生组织报告,每年有900万新的癌症病例发生,630万人死于癌症,并且每年以2%的速度递增,预计到2020年,每年将有2000万人患癌,而癌症死亡人数将突破1000万人。在我国,每年新发癌症病例约350万,因癌症死亡约250万。由于肿瘤的早期症状不明显,很多患者在诊断是就已经是中晚期。
上海一著名专家主张肿瘤的治疗需要综合起来,包括转化治疗、手术、放疗、化疗、生物治疗、和中医治疗。A45肿瘤动力与特异性免疫治疗就是在这种基础上发展起来的综合治疗, 不仅可以有效的杀死肿瘤细胞,还很好地避免了副作用。A45肿瘤动力与特异性免疫治疗具有常规放化疗没有的效果,特别适合对放化疗耐药且不能或拒绝接受放化疗的患者。
A45 肿瘤动力与特异性免疫治疗原理
A45肿瘤动力与特异性免疫治疗是利用光敏药物对病变细胞的高度亲和作用(在病变细胞内浓度提高10-20倍),以及分子靶向作用(结合到关键靶位上),再用高能光子在病变细胞靶位上定点激发光敏药物,使光敏剂产生构象变化,催化含氧底物形成单线态氧(1O2)。A45使用FDA批准的医用电子加速器,除拥有传统电子直线加速器功能外,其产生的45MV的X线,拓展了光敏剂治疗肿瘤的范围。低剂量高能光子、光敏药物和催化底物均无明显毒性,但三者作用产生的产物--单线态氧(1O2)的毒性非常大,将破坏并杀死病变细胞,而且单态氧的弥散距离<20NM,对周围正常组织细胞无伤害。这一技术可以被理解为“光子导弹”,由光敏药物制导,由45MV射线引爆,能定点*伤杀**靶分子、清除癌细胞和其他病变细胞。
A45肿瘤动力与特异性免疫治疗的优点
A45治疗技术突破性的将FDA批准的医用电子加速器与光化学药物有机结合,通过光化学作用定向标记和破坏肿瘤细胞,杀灭原发和转移肿瘤,对人体正常组织细胞伤害小,几乎无毒副作用,同时激发机体产生免疫反应,大幅提升治疗效果。现行的传统手术、放疗、化疗手段,痛苦和副作用大,而且不适用晚期多发转移和终末期等7种癌症病人。A45肿瘤治疗技术不伤害正常细胞,解决了上述难题,给无数被现行治疗手段不治的病人重新带来了生的希望,A45精准杀死癌细胞、特异性免疫和正常癌细胞功能恢复综合治疗方法,打开了征服各期各种癌症病人的大门。迄今为止,A45已经治疗中晚期癌症病人一千余例,尤其对晚期转移癌症病人,取得显著效果,开启了肿瘤治疗的新篇章。
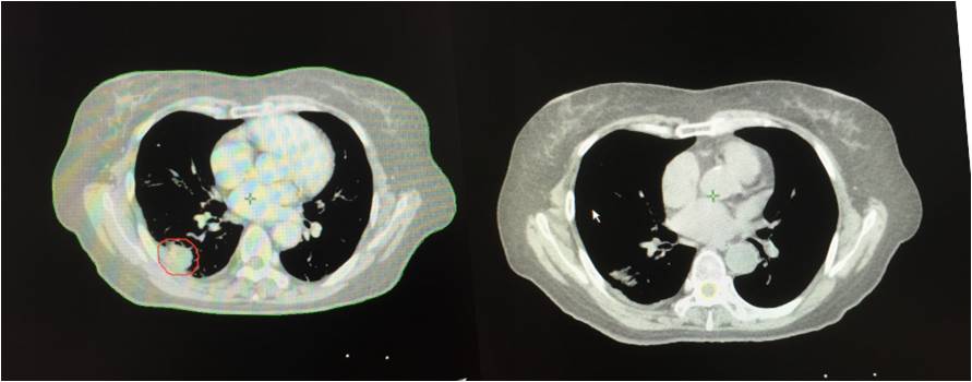
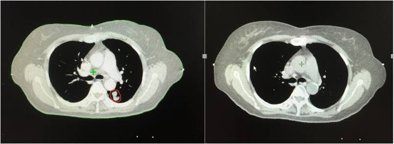
A45治疗肺腺癌患者案例
患者周女士,65岁,肺腺癌。
2013年3月初无明显诱因出现胸闷、气短,活动时加重,伴有间断左侧肩胛区疼痛,无咳嗽、咳痰,无发热、咯血,无盗汗、乏力。2013年4月胸部CT示:右肺占位。4月末在北京大学人民医院行胸部CT增强示:双肺下叶背段恶性病变,考虑肺癌可能性大。5月在*警武**北京总队第二医院行PET/CT检查提示:1.双肺下叶背段斜裂胸膜下高代谢结节,考虑恶性病变,肺癌可能大,双肺多发磨玻璃结节及微小结节,未见明显高代谢,倾向恶性病变;2.右乳外下象限小结节伴代谢,结合临床。
2013年5月入院,肺穿刺病理结果提示:左下肺腺癌。
2013年5月、6月接受四次A45肿瘤治疗治疗四次。2013年10月再次接受全身A45肿瘤治疗1次,右下肺病灶A45肿瘤治疗1次,出院后继续口服易瑞沙靶向治疗。患者肿瘤缩小,几乎消失。患者的状态稳定。

治疗前 治疗后

治疗前 治疗后
A45治疗胰腺癌患者案例
患者女性,76岁,胰腺癌。
患者因出现上腹痛伴厌食、消瘦3月余,加重半月就诊,2016年2月CT显示为胰腺头部占位性病变,进一步检查确诊为胰头癌(cT4N0MO,III期),肿瘤标志物:CA19-9 1227.8 U/ml,CEA 18.52 ng/mL。患者疼痛明显,口服止痛药(可待因及曲马多片q8h)缓解较差,且伴有纳差,无法手术及化疗。2016年4月,患者慕名前往全球肿瘤医生网寻求帮助,经过全球肿瘤医生网专家评估,推荐患者接受安全无创的A45综合治疗。
治疗后增强CT显示:胰头肿块,约4cm,中央坏死,增强扫描无强化(2016-06-21)
复查肿瘤标志物均降低。
患者接受A45治疗半个疗程疼痛明显缓解,止痛药由q8h改至q12h且改为一种,治疗后程患者止痛药剂量及口服频次进一步减少(改为qd),且疼痛基本缓解,治疗结束后3-5天疼痛消失,停用止痛药,且进食较前明显增加。
全球肿瘤医生网提醒广大癌症患者,虽然医学水平不断发展,治疗技术也在不断创新,但是至今为止,仍没有一种手段可以治愈肿瘤,A45治疗技术是一项比较新的治疗手段,虽然临床试验阶段取得了不错的效果,但像放化疗一样,也有不敏感,治疗无效的患者。肿瘤患者的治疗一定是依托于权威医院及权威专家的正规治疗,在采取常规治疗手段(手术、放疗、化疗)治疗后,根据自身的经济情况,辅助最新技术和最新药物治疗,采用多学科综合疗法,达到巩固治疗,预防复发,提高生活治疗,延长生存期的目的。我们的医学顾问会根据患者的情况,指导最适合的治疗,详情请登录或致电全球肿瘤医生网。