【基本信息】 女,16岁
【疾病类型】 黄体破裂
【治疗医院】 南方医科大学珠江医院(三甲)
【治疗方案】 保守治疗,服用消炎止血药,如头孢他啶胶囊和三七止血胶囊等搭配中医药调理。卧床休息,避免剧烈运动
【治疗周期】 半个月
【治疗效果】 治疗后一周左右腹痛、积液消失,半个月后进行复查
一、初识患者
“医生,快看看我女儿,她肚子疼得厉害,是怎么回事啊?月经还提前了半个月。”一位母亲焦急的带着她的女儿走进了问诊室。

“别着急,让我看看。”我先安抚了病人和家属的情绪,看的出来小姑娘很紧张,面色苍白还很害羞。“姑娘有哪里不舒服或者哪儿痛的吗?出血多吗?”
小姑娘有点胆怯的看了看她妈妈,“医生问你,你就说呀。看我做什么?”听她妈妈发话后,这才扭捏的回答起问题。“不是很多,但是下腹这里痛的厉害,一阵一阵的。”
“平常月经来的时间准吗?”我问道。“准的,我是30天一个周期。”小姑娘说。
“腹部有没有受到剧烈撞击,或者痛之前有没有剧烈运动什么的?”
“有,上体育课的时候被飞来的足球给撞到肚子了。”
“这样吧,你们先去做个B超和腹腔镜检查。我推测应该是黄体破裂,不过目前来看出血状况不是很严重,具体情况等检查结果出来我再和你们细说。”
二、治疗过程
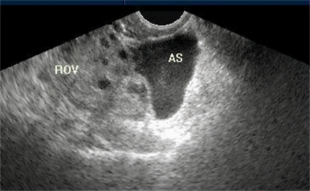
安排小姑娘做完B超和腹腔镜检查等一系列检查后,过了几个小时结果出来了,果然是 黄体破裂。

不过还好,不是很严重。 患者子宫附件有可触边界不清的包块,有轻微压痛,出血比较少,红细胞和血红蛋白值降低而且腹部积液少 ,只需要保守治疗即可。将病情同母女两讲清楚后,我建议住院治疗一周,好随时观察情况,以免后期突然病情恶化,不能及时治疗。办理完住院手续后,我让小姑娘这几天最好都 卧床休息,避免剧烈运动,多喝水,保持大便通畅 。

并开了 头孢他啶胶囊和三七止血胶囊 等消炎止血药让她先服用。服用消炎药和止血药后,观察出血情况。除了消炎止血药,还需要搭配促进病灶积血吸收的药物来治疗。这几天要注意一定要平躺和合理饮食,并且如果有不对劲的地方要随时告知医生身体情况,进行监测治疗。

如此,2~3天后,小姑娘已经不再出血,偶有腹痛的症状出现,相较之前的疼痛轻了些。一个星期后,通过血常规和腹腔镜检查,腹部积液基本消失,原先较低的红细胞和血红蛋白值也恢复正常,可以出院在家治疗。根据她现在的身体情况,给患者开了适合的中医药配合消炎止血药调理身体使用。出院一周后再回医院复查一次,根据患者情况,即可确认是否已经痊愈。
三、治疗效果
半个月后,小姑娘回医院复查。同半个月前就诊时相比,腹痛、腹部积液、出血情况已经消失,包块也消失了。血常规检查各项数值也表现正常。各项情况良好,黄体破裂的病症已经消失。患者已经痊愈,只需要平时小心些不要再剧烈运动就好。
四、患者日常生活中的注意事项
1.保持饮食清淡。 因为消炎止血药和中药等在服用时,都不能吃生冷辛辣刺激的食物,否则会影响药效吸收。适当地多吃一些新鲜水果蔬菜,补充身体维生素和纤维,保持通便顺畅,有利于身体健康。

2.注意休息。 不要过度劳累,保持一个愉悦的心情,有一个良好的生活作息,早睡早起。
3.注意阴道卫生,避免感染。
五、医生感悟
黄体破裂在妇科中是比较常见的急腹症,常出现在 14-30岁 之间的女性。 黄体破裂的原因一般有自动破裂、或者因为外力作用破裂。 比如因为 下腹受到撞击 ,像本文的患者就是因为飞来足球的剧烈撞击引发的黄体破裂。还有 剧烈运动,大跳、奔跑、用力咳嗽或便秘 时,使得腹腔内压力突然升高都有可能引发。此外,*生活性**时,男方动作太过粗鲁也有可能会导致黄体破裂。

当出现黄体破裂时不要惊慌,一定要及时就医,不要耽搁。医生询问病情时,也不要因为觉得是*体下**出血感到害羞而有所隐瞒。因为很多患者是因为*生活性**动作剧烈而发病的,所以当医生问诊时常常吞吞吐吐,隐瞒病情,这种行为是不利于医生确诊病例和开展后续治疗的。所以,一定要和医生说实话,讲细节。