(声明:本文仅用于科普用途,为了保护患者隐私,以下内容里的相关信息已进行处理)
【基本信息】男,58岁
【疾病类型】右侧输尿管结石
【治疗医院】贵州医科大学第三附属医院(三甲)
【治疗方案】输尿管镜下激光碎石
【治疗周期】住院治疗5天
【治疗效果】术后患者生命体征平稳,恢复可,尿频、尿急、尿痛等不适症状消失。
一、初识患者
提起自己的患病经历,患者老李是非常的痛苦,大概1个月前,他在上厕所时发现血尿,同时伴随尿频、尿痛,于是前往当地医院就诊。当地医院完善尿常规后考虑为尿路感染所致,给予抗炎治疗一周,但尿痛、尿频、血尿等症状未见改善,治疗期间由于口服药物导致胃出血,引起了贫血,在当地医院控制了胃出血后,前往我院就诊。
简单了解了患者情况后,考虑血尿、尿频的原因可能不单纯是尿路感染引起的,因此门诊决定以“血尿”待查收住入院。

二、初识患者
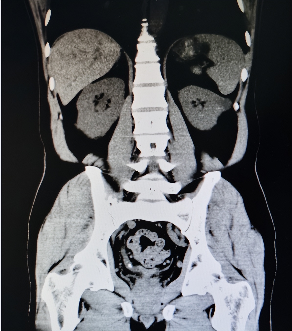
入院后,除了对患者进行专科查体外,还完善了血尿常规、CT等相关检查。其中查体提示双侧腰部未见异常隆起及包块,双侧肾区无叩痛,尿道口无红肿,无分泌物。血常规提示白细胞升高,红细胞、血红蛋白正常,尿常规提示红细胞+,CT提示右侧输尿管下段结石伴积水,结石直径为4-5cm,右肾轻度结石。

虽然患者输尿管走行区无叩痛,存在尿路感染,但结合CT等检查结果,考虑输尿管结石是引起尿路症状的主要原因,而非尿路感染。因此,最终确定诊断为右侧输尿管结石。因为患者结石较大,患病周期较长,对患者产生了严重影响,因此考虑行输尿管镜下激光碎石。
在排除手术禁忌,完成术前初步抗感染,征得患者同意后,于住院第三天进行手术,手术采取硬膜外神经阻滞麻醉,完成麻醉后,输尿管镜自尿道口进入右侧输尿管,进入约3cm后发现一大小7cm,形状不规则黄色结石一枚,置入激光光纤将结石粉碎至2mm后,留置双J管,完成手术。
术后患者安返病房,常规给予左氧氟沙星抗炎、碳酸氢钠碱化尿液以及止痛、补液等对症治疗。术后第三天,患者恢复尚可,遂在其要求下安排出院。
三、初识患者
1、妥善固定引流管,保持引流管通畅,避免挤压、弯折引流管,定时捏挤引流管,防止小血块堵塞引流管。
2、置双J管期间避免剧烈运动,以免引起双J管移位脱出。一般双J管于术后1个月在膀胱镜下拔除。
3、因治疗周期较长,患者心理情况较差,因此患者家属应配合医生做好患者的心理护理,保证患者心理健康。
4、术后密切观察自身情况,如出现剧烈疼痛、大量出血,应及时告知医生,尽早处理。
四、患者的治疗效果
入院后给予患者输尿管镜下钬激光碎石治疗,术后患者生命体征平稳,恢复可,尿频、尿急、尿痛等不适症状消失。症状缓解后,患者心理状况也较前明显好转,更加配合治疗、复查。
考虑到输尿管结石有复发可能,因此,嘱托患者回家后注意饮食,增加饮水,适量运动,以防结石再次发生。
五、患者在日常生活中的注意事项
1、每天一定保持充足的饮水和足够的尿量,尿液的自洁作用有利于减小感染的机会,输尿管的蠕动也可以促进结石的下移甚至排出。
2、利用重力的作用来促进结石的排出,经常建议患者做的运动有跳绳、跳跃运动,以及抬高脚跟反复作踮脚活动等。
3、饮食方面要控制,限制含钙、含草酸食物及动物蛋白的摄入量,如牛奶、乳酪、各种豆类、菠菜等。
4、定期复查,若再次出现不适,及时回医院就诊。

六、医生感悟
输尿管结石是一种发病率比较高的疾病,但由于很多患者对输尿管结石的症状不了解,所以没有及时地去接受治疗或者误以为是尿道感染错误治疗,最后导致了病情加重。本次就诊的患者就是如此,因为出现了尿频、尿急、尿痛等表现,所以最初判断为尿路感染,未进一步考虑到输尿管结石的可能性,导致病因未得到缓解,症状未得到改善。
对于输尿管结石,大家要明确好其症状,当出现相关表现时,就要怀疑输尿管结石可能。一般来讲,输尿管结石常见的症状有:
第一个是血尿,输尿管结石急性绞痛发作时,可发生明显的肉眼血尿,尤其在绞痛伴有结石排出者。第二个是尿路感染症状,包括尿频、尿急、尿痛、排尿困难等。除此之外,疼痛也是输尿管结石的典型症状。但是根据患者结石大小、卡顿位置,输尿管结石的表现也会有所不同。
本次就诊患者虽然有典型尿路感染症状,但考虑到患者抗炎治疗效果不佳,因为完善了CT等相关检查,检查提示右侧输尿管下段结石,最终考虑后诊断为右侧输尿管结石。通过及时手术治疗,患者结石被成功取出,症状得到缓解。
姓名:王帅
单位:贵州医科大学第三附属医院
科室:泌尿外科
职称:副主任医师