
临床接诊过程中,不少患友对子宫肌瘤介入栓塞治疗后是如何消退、吸收仍存在困惑。相当部分患友认为介入栓塞治疗类似于腹腔镜或宫腔镜手术,将肌瘤病灶从子宫中取出。

介入栓塞治疗子宫肌瘤的机理完全不同于传统妇科手术方式,主要是通过插管至子宫动脉主干远端,应用非常微小的PVA颗粒或者微球(300~500um)选择性栓塞子宫肌瘤供血动脉,使肌瘤因缺血而坏死吸收,而其中有部分类型是会出现肌瘤萎缩、脱落到宫腔内,经阴道排出或取出的。特殊类型的子宫肌瘤还可以做介入栓塞治疗吗?

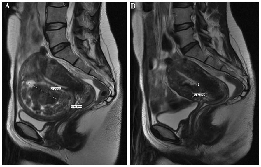
临床上大部分肌瘤在介入栓塞后,在MRI可以观察到病灶梗死,同时也观察到肌瘤位置出现多种变化,如粘膜下型肌瘤可发展为腔内肌瘤,浆膜下肌瘤可发展为肌壁间型或粘膜下型肌瘤。文献报道肌瘤向宫腔方向偏移的发生率高达37%,被称之为【肌瘤迁移】。

介入栓塞后出现子宫内膜不光滑表现与肌瘤脱落排出相关
这种变化机制容易导致介入栓塞术后出现慢性持续阴道分泌物。另外术后变化可能潜在对子宫内膜影响,继而可能对生育产生负面影响。这种情况下,对于希望怀孕的患友,妇科手术可能对生育影响会较小些,尤其是粘膜下型肌瘤可以通过宫腔镜手术切取,临床疗效确切。文献报道显示肌壁间肌瘤边缘距离子宫内膜<2.4mm,或者肌壁间肌瘤最大径>5.1cm,术后肌瘤容易移位至粘膜下或者脱落排出。因此术前需告知患友,注意术后可能出现肌瘤脱落、排出风险,及时复诊。

子宫腺肌病合并粘膜下肌瘤介入栓塞术后变化对比