“屁屁”发痒
无论是对孩子还是对大人,
都是一件很尴尬的事情。
但最近尴尬的事情就发生在,
浙江省杭州市4岁的琪琪身上
有了新的烦恼,
一天之中有好几次“屁屁”痒得不行,
老是管不住用自己的手去挠。

一开始妈妈爸爸都没当回事,斥责琪琪这种行为不讲卫生。发展到后来,基本每天晚上琪琪都会因“屁屁”痒醒来哭闹一会儿,这时候爸妈才开始引起重视。一检查才发现,发现琪琪的肛门里出现了好几颗会挪动的“小米虫”!

可吓坏了爸爸妈妈,孩子是不是在学校染了什么病?带着种种疑问,爸爸妈妈连夜带着琪琪来到杭州师范大学附属医院急诊儿科就诊。
急诊儿科医生一看,当即判断琪琪可能是寄生虫感染。而为什么琪琪总在夜晚“发病”,医生解释道,可能是感染的寄生虫习惯夜间出行,并叮嘱琪琪父母尽量取一点粪便到化验室进行镜检。
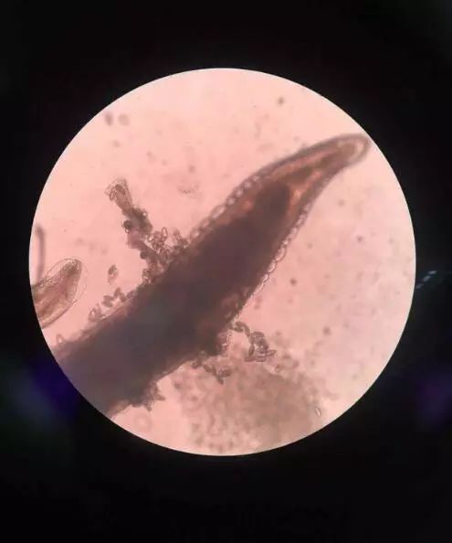
果不其然,检验科的值班人员在高清显微镜下找到了蛲虫成虫以及大量虫卵。短短半小时就把罪魁祸首抓到了,这下子琪琪终于可以安心睡个好觉了。儿科医生解释道,小儿蛲虫感染在 夏季高发 ,很多小朋友日常都有“抠屁屁”的习惯,有些父母不在意,须不知,这可能是寄生虫感染,蛲虫不及时处理会蔓延整个肛门,女生甚至会爬进阴道,造成腹痛!
大家对寄生虫的概念可能还停留在十几年前,那个年代每个小朋友都要去医务所领“小糖丸”,就是所谓的打虫药。那个时候基础卫生条件差可以理解寄生虫的存在,而现在吃的也好了,蔬菜也处理干净才下肚子,怎么还会有寄生虫感染呢?这里着重给大家科普一下我们这个案例里的寄生虫它的生活史以及感染途径。

蛲虫是肠道常见蠕虫的一种,属于土源性线虫。蛲虫生活史简单,其主要传播途径为肛门-手-口直接传播,不需要中间宿主。蛲虫雌虫于夜间爬行于肛门口,在其周围皮肤上产卵,引起奇痒,小儿用手指搔痒而沾染虫卵,在进食或吮吸手指时吞入虫卵。

若虫卵在肛门口孵化,幼虫也可爬进肛门,侵入大肠,可引起逆行感染;所以在肛门周围检查虫卵,其检出率远较粪便检查为高。儿童通过直接接触附在玩具、污染物及衣被上的蛲虫卵,将虫卵带入口中,造成交叉感染和患者反复感染,这是幼儿园(集体机构)传播蛲虫的重要方式。
所以蛲虫病是儿童常见的寄生虫病。蛲虫病若反复感染迁延不愈,使儿童产生夜惊、夜间磨牙遗尿等症状,将影响儿童身心健康,严重者可引起多种并发症,如蛲虫性泌尿生殖道炎、蛲虫性阑尾炎及过敏性皮肤病等。

蛲虫虫卵

蛲虫幼虫
如何预防感染蛲虫?
蛲虫的传播是依靠肛门-手-口途径进行的,
说明平时注意保持肛周清洁,
每日换洗*裤内**,
饭前饭后一定要勤洗手。
而这个洗手也很有讲究,必须用香皂洗手保持手部卫生,同时讲究公共卫生和家庭卫生(包括纠正儿童吮吸手指习惯、勤剪指甲、不穿开裆裤睡觉的好习惯)。
定期烫洗被褥和清洗玩具的预防措施(用0.5%碘液涂擦5分钟以上或0.05%碘液浸泡玩具1个小时以上,可杀死蛲虫卵),是防止再感染的关键。

所以,
假如宝宝因为“屁屁痒”哭闹不止,
可能是“蛲虫”在作祟,
家长要尽快送医就诊哦!
除了“蛲虫”病外,
病从口入,还小心这些寄生虫

来源:西湖之声、威海大众网