
新闻 | 人文 | 科普 | 服务
别以为胃病都是小毛病,一旦形成胃溃疡就大发了就可能要命。昨日,一位51岁的病人因呕血,大出血,差点一命呜呼,虽然最后经过镜下止血,捡回了一条命,但是也让他受了不少罪。据了解这位患者大出血的原因就是严重胃溃疡引起的,所以,千万不要对胃太过放心,它发起脾气来,可不得了。

案例
患者男性,51岁,间断黑便3天,呕血入院;
既往史:高血压10余年,最高血压230/130mmHg,痛风病史28年,慢性肾小球肾炎病史12年;
不良嗜好:饮酒史20年,每次最少300ml;

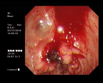
(镜下可见活动性出血)

(治疗后未见活动性出血)
胃溃疡的危害不容忽视
一、胃出血
胃溃疡出血并不少见:粘膜萎缩变薄、血管显露、粘膜糜烂出血,以黑便为主要表现,若出血量大时可能突然吐血,重者头晕,心慌、眠黑、大汗、甚至休克等情况。
二、胃穿孔
胃溃疡非常容易导致胃穿孔,而胃穿孔则会导致轻微出血或者大出血,如果大出血会导致胃溃疡患者休克甚至死亡,病情会变得危急。
三、胃痛
溃疡患者在吃饭1-2个小时后,胃病就会开始感到疼痛,也许只是隐隐作痛,但也足够让你寝食难安。严重胃溃疡患者,无法预测胃何时会痛,何时不痛,而且严重胃溃疡常常痛起来没有尽头,只能等它“累”了。
四、合并上消化道出血
是由于溃疡病变侵蚀了胃肠壁的血管所致,为溃疡病中最为常见的急性损害。约有10%左右的溃疡病例平时并没有明显的症状,而出血后才被发现有溃疡的情况。出血的表现主要取决于出血量的多少与出血速度的快慢。
五、幽门梗阻
这种情况一方面由于幽门附近的溃疡(包括胃与十二指肠溃疡) 由于幽门通过障碍,胃内容物不能顺利入肠,而在胃内大量潴留,导致胃壁肌层肥厚、胃腔扩大及胃黏膜层的炎症、水肿及糜烂。一方面是由于溃疡的反复发作导致局部瘢痕形成与收缩,导致幽门的器质性狭窄。
如果您的身体出现“上腹部疼痛,且多在餐后1小时内出现,经1~2小时后逐渐缓解”、出血等症状,千万不要掉以轻心,应尽早行内镜检查。
京东中美医院
24小时急救电话:0316-5996120
